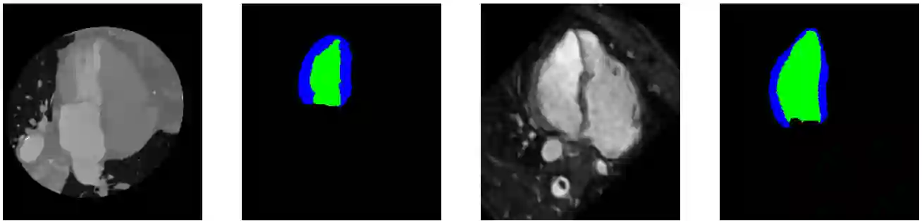
The presence of domain shift in medical imaging is a common issue, which can greatly impact the performance of segmentation models when dealing with unseen image domains. Adversarial-based deep learning models, such as Cycle-GAN, have become a common model for approaching unsupervised domain adaptation of medical images. These models however, have no ability to enforce the preservation of structures of interest when translating medical scans, which can lead to potentially poor results for unsupervised domain adaptation within the context of segmentation. This work introduces the Structure Preserving Cycle-GAN (SP Cycle-GAN), which promotes medical structure preservation during image translation through the enforcement of a segmentation loss term in the overall Cycle-GAN training process. We demonstrate the structure preserving capability of the SP Cycle-GAN both visually and through comparison of Dice score segmentation performance for the unsupervised domain adaptation models. The SP Cycle-GAN is able to outperform baseline approaches and standard Cycle-GAN domain adaptation for binary blood vessel segmentation in the STARE and DRIVE datasets, and multi-class Left Ventricle and Myocardium segmentation in the multi-modal MM-WHS dataset. SP Cycle-GAN achieved a state of the art Myocardium segmentation Dice score (DSC) of 0.7435 for the MR to CT MM-WHS domain adaptation problem, and excelled in nearly all categories for the MM-WHS dataset. SP Cycle-GAN also demonstrated a strong ability to preserve blood vessel structure in the DRIVE to STARE domain adaptation problem, achieving a 4% DSC increase over a default Cycle-GAN implementation.


翻译:医学成像中的域偏移是一个普遍存在的问题,它会严重影响分割模型在处理未知图像域时的性能。如Cycle-GAN之类的对抗性深度学习模型已成为处理医学图像无监督域适应的常用模型。然而,这些模型在转换医学扫描时没有保留感兴趣的结构的能力,这可能导致分割上下文中未监督域适应的潜在差结果。本文介绍了结构保持的Cycle-GAN (SP Cycle-GAN),它通过在整个Cycle-GAN训练过程中实施分割损失项来促进医学结构的保持。我们通过可视化和与无监督域适应模型的Dice分数分割性能比较,证明了SP Cycle-GAN的结构保持能力。 SP Cycle-GAN能够在STARE和DRIVE数据集的二元血管分割和多模式MM-WHS数据集的多类左心室和心肌分割方面优于基准方法和标准Cycle-GAN域适应。在MR到CT MM-WHS域适应问题上,SP Cycle-GAN实现了最先进的心肌分割Dice分数(DSC)为0.7435,并在MM-WHS数据集的几乎所有类别中表现出色。 SP Cycle-GAN还展示了在DRIVE到STARE域适应问题中保持血管结构的强大能力,比默认的Cycle-GAN实现增加了4% DSC。

0
下载
关闭预览

相关内容

AI可解释性文献列表
专知
43+阅读 · 2019年10月7日
Hierarchically Structured Meta-learning
CreateAMind
27+阅读 · 2019年5月22日
Transferring Knowledge across Learning Processes
CreateAMind
29+阅读 · 2019年5月18日
强化学习的Unsupervised Meta-Learning
CreateAMind
18+阅读 · 2019年1月7日
Unsupervised Learning via Meta-Learning
CreateAMind
43+阅读 · 2019年1月3日
A Technical Overview of AI & ML in 2018 & Trends for 2019
待字闺中
18+阅读 · 2018年12月24日
国家自然科学基金
1+阅读 · 2013年12月31日
国家自然科学基金
0+阅读 · 2013年12月31日
国家自然科学基金
0+阅读 · 2013年12月31日
国家自然科学基金
0+阅读 · 2011年12月31日
国家自然科学基金
0+阅读 · 2009年12月31日
国家自然科学基金
1+阅读 · 2009年12月31日
Arxiv
0+阅读 · 2023年6月1日
Multi-Domain Multi-Task Rehearsal for Lifelong Learning
Arxiv
12+阅读 · 2020年12月14日
VIP会员
相关VIP内容
相关基金
国家自然科学基金
1+阅读 · 2013年12月31日
国家自然科学基金
0+阅读 · 2013年12月31日
国家自然科学基金
0+阅读 · 2013年12月31日
国家自然科学基金
0+阅读 · 2011年12月31日
国家自然科学基金
0+阅读 · 2009年12月31日
国家自然科学基金
1+阅读 · 2009年12月31日
Top
微信扫码咨询专知VIP会员