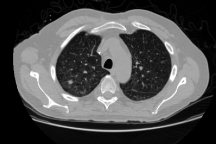
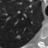
Applying artificial intelligence techniques in medical imaging is one of the most promising areas in medicine. However, most of the recent success in this area highly relies on large amounts of carefully annotated data, whereas annotating medical images is a costly process. In this paper, we propose a novel method, called FocalMix, which, to the best of our knowledge, is the first to leverage recent advances in semi-supervised learning (SSL) for 3D medical image detection. We conducted extensive experiments on two widely used datasets for lung nodule detection, LUNA16 and NLST. Results show that our proposed SSL methods can achieve a substantial improvement of up to 17.3% over state-of-the-art supervised learning approaches with 400 unlabeled CT scans.


翻译:在医学成像中应用人工智能技术是医学领域最有希望的领域之一,然而,该领域最近取得的大部分成功高度依赖于大量经过仔细注解的数据,而医疗图象的注解是一个昂贵的过程。 在本文中,我们提出了一个名为CouncleMix的新方法,据我们所知,这是利用半监督学习(SSL)的最新进展进行3D医学成像检测的第一个新方法。 我们对两种广泛使用的用于肺结核检测的数据集(LUNA16和NLST)进行了广泛的实验。 结果显示,我们提议的SSL方法可以大大改进,比最先进的监控学习方法高出17.3%,有400个未贴标签的CT扫描。

10
下载
关闭预览

相关内容

iOS 8 提供的应用间和应用跟系统的功能交互特性。
  • Today (iOS and OS X): widgets for the Today view of Notification Center
  • Share (iOS and OS X): post content to web services or share content with others
  • Actions (iOS and OS X): app extensions to view or manipulate inside another app
  • Photo Editing (iOS): edit a photo or video in Apple's Photos app with extensions from a third-party apps
  • Finder Sync (OS X): remote file storage in the Finder with support for Finder content annotation
  • Storage Provider (iOS): an interface between files inside an app and other apps on a user's device
  • Custom Keyboard (iOS): system-wide alternative keyboards

Source: iOS 8 Extensions: Apple’s Plan for a Powerful App Ecosystem
深度学习搜索,Exploring Deep Learning for Search
专知会员服务
61+阅读 · 2020年5月9日
100+篇《自监督学习(Self-Supervised Learning)》论文最新合集
专知会员服务
167+阅读 · 2020年3月18日
[综述]深度学习下的场景文本检测与识别
专知会员服务
78+阅读 · 2019年10月10日
Transferring Knowledge across Learning Processes
CreateAMind
29+阅读 · 2019年5月18日
强化学习的Unsupervised Meta-Learning
CreateAMind
18+阅读 · 2019年1月7日
无监督元学习表示学习
CreateAMind
27+阅读 · 2019年1月4日
Unsupervised Learning via Meta-Learning
CreateAMind
43+阅读 · 2019年1月3日
Hierarchical Imitation - Reinforcement Learning
CreateAMind
19+阅读 · 2018年5月25日
深度学习医学图像分析文献集
机器学习研究会
19+阅读 · 2017年10月13日
【推荐】深度学习目标检测概览
机器学习研究会
10+阅读 · 2017年9月1日
Deep Co-Training for Semi-Supervised Image Segmentation
Revisiting CycleGAN for semi-supervised segmentation
Arxiv
3+阅读 · 2019年8月30日
VIP会员
Top
微信扫码咨询专知VIP会员