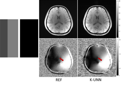
Recently, untrained neural networks (UNNs) have shown satisfactory performances for MR image reconstruction on random sampling trajectories without using additional full-sampled training data. However, the existing UNN-based approach does not fully use the MR image physical priors, resulting in poor performance in some common scenarios (e.g., partial Fourier, regular sampling, etc.) and the lack of theoretical guarantees for reconstruction accuracy. To bridge this gap, we propose a safeguarded k-space interpolation method for MRI using a specially designed UNN with a tripled architecture driven by three physical priors of the MR images (or k-space data), including sparsity, coil sensitivity smoothness, and phase smoothness. We also prove that the proposed method guarantees tight bounds for interpolated k-space data accuracy. Finally, ablation experiments show that the proposed method can more accurately characterize the physical priors of MR images than existing traditional methods. Additionally, under a series of commonly used sampling trajectories, experiments also show that the proposed method consistently outperforms traditional parallel imaging methods and existing UNNs, and even outperforms the state-of-the-art supervised-trained k-space deep learning methods in some cases.


翻译:最近,未经过培训的神经网络(UNNs)显示,在不使用其他完整培训数据的情况下,随机抽样轨迹的随机取样轨迹图像重建的MR图像重建工作表现令人满意;然而,基于UNN的现有方法没有充分利用MR图像物理前科,导致某些常见情景(如部分Fourier、定期取样等)的性能不佳,且缺乏重建准确性的理论保障;为弥合这一差距,我们提议对MRI采用一种有保障的K-空间间间插法,使用一个专门设计的UNN,由MR图像(或K-空间数据)的三个物理前科驱动的建筑结构增加了三倍,包括宽度、灵敏度平滑和阶段平滑。我们还证明,拟议的方法保证了内插K-空间数据的准确性。最后,通缩实验表明,拟议的方法比现有传统方法更准确地描述MR图像的物理前科。此外,在一系列常用的取样轨迹下,实验还表明,拟议的方法始终比传统的平行成像法和现有的联合国深空系统学习案例。

0
下载
关闭预览

相关内容

磁流变(Magnetorheological,简称MR)材料是一种流变性能可由磁场控制的新型智能材料。由于其响应快(ms量级)、可逆性好(撤去磁场后,又恢复初始状态)、以及通过调节磁场大小来控制材料的力学性能连续变化,因而近年来在汽车、建筑、振动控制等领域得到广泛应用。
不可错过!《机器学习100讲》课程,UBC Mark Schmidt讲授
专知会员服务
76+阅读 · 2022年6月28日
专知会员服务
45+阅读 · 2020年10月31日
100+篇《自监督学习(Self-Supervised Learning)》论文最新合集
专知会员服务
167+阅读 · 2020年3月18日
Keras François Chollet 《Deep Learning with Python 》, 386页pdf
专知会员服务
163+阅读 · 2019年10月12日
[综述]深度学习下的场景文本检测与识别
专知会员服务
78+阅读 · 2019年10月10日
【SIGGRAPH2019】TensorFlow 2.0深度学习计算机图形学应用
专知会员服务
41+阅读 · 2019年10月9日
ACM MM 2022 Call for Papers
CCF多媒体专委会
5+阅读 · 2022年3月29日
AIART 2022 Call for Papers
CCF多媒体专委会
1+阅读 · 2022年2月13日
【ICIG2021】Check out the hot new trailer of ICIG2021 Symposium8
中国图象图形学学会CSIG
0+阅读 · 2021年11月16日
Hierarchically Structured Meta-learning
CreateAMind
27+阅读 · 2019年5月22日
Transferring Knowledge across Learning Processes
CreateAMind
29+阅读 · 2019年5月18日
深度自进化聚类:Deep Self-Evolution Clustering
我爱读PAMI
15+阅读 · 2019年4月13日
无监督元学习表示学习
CreateAMind
27+阅读 · 2019年1月4日
Unsupervised Learning via Meta-Learning
CreateAMind
43+阅读 · 2019年1月3日
国家自然科学基金
0+阅读 · 2016年12月31日
国家自然科学基金
0+阅读 · 2014年12月31日
国家自然科学基金
0+阅读 · 2013年12月31日
国家自然科学基金
0+阅读 · 2012年12月31日
国家自然科学基金
0+阅读 · 2011年12月31日
国家自然科学基金
0+阅读 · 2008年12月31日
W-net: Bridged U-net for 2D Medical Image Segmentation
Arxiv
20+阅读 · 2018年7月12日
VIP会员
相关VIP内容
相关资讯
ACM MM 2022 Call for Papers
CCF多媒体专委会
5+阅读 · 2022年3月29日
AIART 2022 Call for Papers
CCF多媒体专委会
1+阅读 · 2022年2月13日
【ICIG2021】Check out the hot new trailer of ICIG2021 Symposium8
中国图象图形学学会CSIG
0+阅读 · 2021年11月16日
Hierarchically Structured Meta-learning
CreateAMind
27+阅读 · 2019年5月22日
Transferring Knowledge across Learning Processes
CreateAMind
29+阅读 · 2019年5月18日
深度自进化聚类:Deep Self-Evolution Clustering
我爱读PAMI
15+阅读 · 2019年4月13日
无监督元学习表示学习
CreateAMind
27+阅读 · 2019年1月4日
Unsupervised Learning via Meta-Learning
CreateAMind
43+阅读 · 2019年1月3日
相关基金
国家自然科学基金
0+阅读 · 2016年12月31日
国家自然科学基金
0+阅读 · 2014年12月31日
国家自然科学基金
0+阅读 · 2013年12月31日
国家自然科学基金
0+阅读 · 2012年12月31日
国家自然科学基金
0+阅读 · 2011年12月31日
国家自然科学基金
0+阅读 · 2008年12月31日
Top
微信扫码咨询专知VIP会员