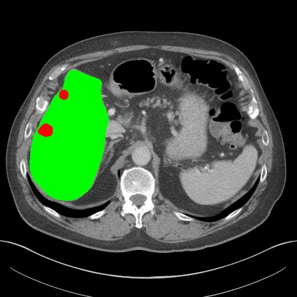
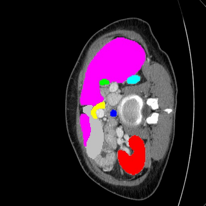
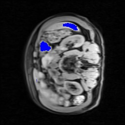
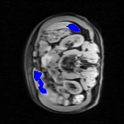
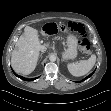
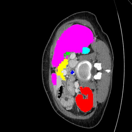
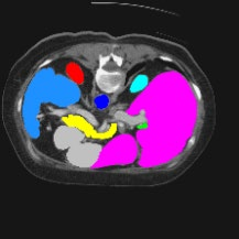
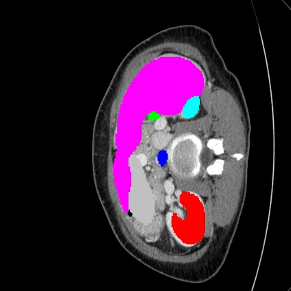
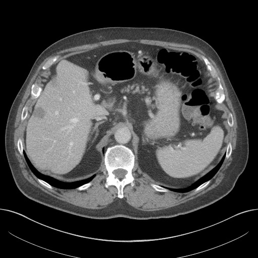
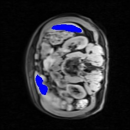
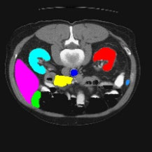
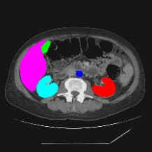
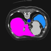
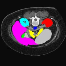
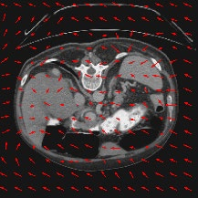
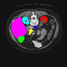
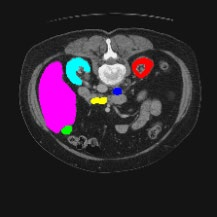
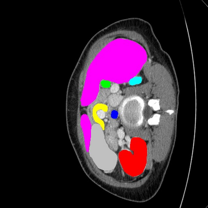
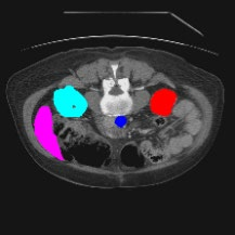
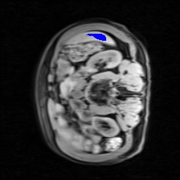
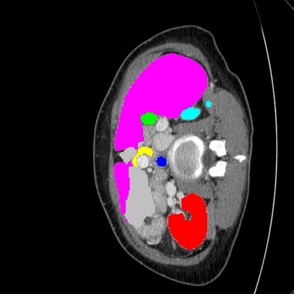
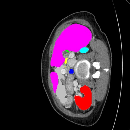
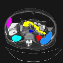
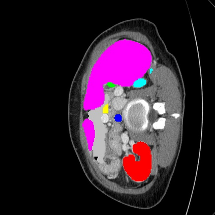
Transformers have made remarkable progress towards modeling long-range dependencies within the medical image analysis domain. However, current transformer-based models suffer from several disadvantages: (1) existing methods fail to capture the important features of the images due to the naive tokenization scheme; (2) the models suffer from information loss because they only consider single-scale feature representations; and (3) the segmentation label maps generated by the models are not accurate enough without considering rich semantic contexts and anatomical textures. In this work, we present CASTformer, a novel type of generative adversarial transformers, for 2D medical image segmentation. First, we take advantage of the pyramid structure to construct multi-scale representations and handle multi-scale variations. We then design a novel class-aware transformer module to better learn the discriminative regions of objects with semantic structures. Lastly, we utilize an adversarial training strategy that boosts segmentation accuracy and correspondingly allows a transformer-based discriminator to capture high-level semantically correlated contents and low-level anatomical features. Our experiments demonstrate that CASTformer dramatically outperforms previous state-of-the-art transformer-based approaches on three benchmarks, obtaining 2.54%-5.88% absolute improvements in Dice over previous models. Further qualitative experiments provide a more detailed picture of the model's inner workings, shed light on the challenges in improved transparency, and demonstrate that transfer learning can greatly improve performance and reduce the size of medical image datasets in training, making CASTformer a strong starting point for downstream medical image analysis tasks.


翻译:在医学图像分析领域,变异器在模拟长期依赖性方面取得了显著进展,然而,目前的变异器模型存在若干不利之处:(1) 现有方法由于天真象征性化方案,未能捕捉图像的重要特征;(2) 模型因信息丢失,因为它们只考虑单一尺度特征显示;(3) 模型产生的分解标签图不够准确,不考虑丰富的语义背景和解剖质。在这项工作中,我们介绍了CASText,一种新型的变异式对称变异变异器,用于2D医学图像分割。首先,我们利用金字塔结构来构建多尺度表达和处理多尺度变异。然后,我们设计了一个新的类变异变异器模块,以更好地了解带有语义结构结构的物体的受歧视区域。最后,我们使用一种对抗性培训策略,提高分解的准确度,并相应允许基于变异体的制分析器捕捉高层次的定义相关内容和低层次的解剖特性。我们进行的实验表明,CAST-54 快速结构结构结构结构结构结构模型大大超越了多级表示的多级表达式显示多级表示图象表示, 甚级变变变变变变变变异模型中前的精确模型,在前的精确模型中更精确的模型中, 改进了先前的模型中,更精确的变异性化模型在了前的变异性化模型中更模型中,进一步的变式模型提供了更精确式模型,在二进式模型中,更精确式分析。

0
下载
关闭预览

相关内容

Explanation:医学图像分析。 Publisher:Elsevier。 SIT: http://dblp.uni-trier.de/db/journals/mia/
专知会员服务
32+阅读 · 2021年6月12日
专知会员服务
61+阅读 · 2020年3月19日
100+篇《自监督学习(Self-Supervised Learning)》论文最新合集
专知会员服务
167+阅读 · 2020年3月18日
强化学习最新教程,17页pdf
专知会员服务
182+阅读 · 2019年10月11日
ACM MM 2022 Call for Papers
CCF多媒体专委会
5+阅读 · 2022年3月29日
AIART 2022 Call for Papers
CCF多媒体专委会
1+阅读 · 2022年2月13日
Call for Nominations: 2022 Multimedia Prize Paper Award
CCF多媒体专委会
0+阅读 · 2022年2月12日
【ICIG2021】Latest News & Announcements of the Tutorial
中国图象图形学学会CSIG
3+阅读 · 2021年12月20日
Hierarchically Structured Meta-learning
CreateAMind
27+阅读 · 2019年5月22日
Transferring Knowledge across Learning Processes
CreateAMind
29+阅读 · 2019年5月18日
Unsupervised Learning via Meta-Learning
CreateAMind
43+阅读 · 2019年1月3日
disentangled-representation-papers
CreateAMind
26+阅读 · 2018年9月12日
Generative Adversarial Text to Image Synthesis论文解读
统计学习与视觉计算组
13+阅读 · 2017年6月9日
国家自然科学基金
2+阅读 · 2014年12月31日
国家自然科学基金
0+阅读 · 2013年12月31日
国家自然科学基金
0+阅读 · 2013年12月31日
国家自然科学基金
0+阅读 · 2013年12月31日
国家自然科学基金
0+阅读 · 2012年12月31日
国家自然科学基金
0+阅读 · 2012年12月31日
国家自然科学基金
0+阅读 · 2012年12月31日
Generative Adversarial Networks: A Survey and Taxonomy
VIP会员
相关资讯
ACM MM 2022 Call for Papers
CCF多媒体专委会
5+阅读 · 2022年3月29日
AIART 2022 Call for Papers
CCF多媒体专委会
1+阅读 · 2022年2月13日
Call for Nominations: 2022 Multimedia Prize Paper Award
CCF多媒体专委会
0+阅读 · 2022年2月12日
【ICIG2021】Latest News & Announcements of the Tutorial
中国图象图形学学会CSIG
3+阅读 · 2021年12月20日
Hierarchically Structured Meta-learning
CreateAMind
27+阅读 · 2019年5月22日
Transferring Knowledge across Learning Processes
CreateAMind
29+阅读 · 2019年5月18日
Unsupervised Learning via Meta-Learning
CreateAMind
43+阅读 · 2019年1月3日
disentangled-representation-papers
CreateAMind
26+阅读 · 2018年9月12日
Generative Adversarial Text to Image Synthesis论文解读
统计学习与视觉计算组
13+阅读 · 2017年6月9日
相关基金
国家自然科学基金
2+阅读 · 2014年12月31日
国家自然科学基金
0+阅读 · 2013年12月31日
国家自然科学基金
0+阅读 · 2013年12月31日
国家自然科学基金
0+阅读 · 2013年12月31日
国家自然科学基金
0+阅读 · 2012年12月31日
国家自然科学基金
0+阅读 · 2012年12月31日
国家自然科学基金
0+阅读 · 2012年12月31日
Top
微信扫码咨询专知VIP会员