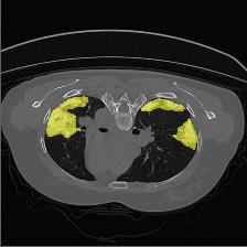
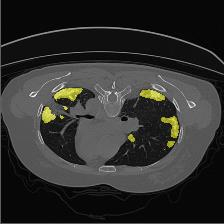
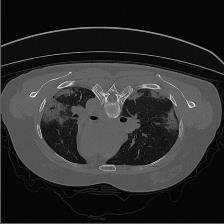
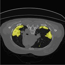
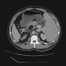
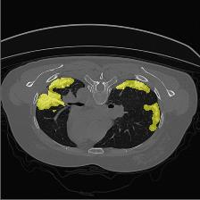
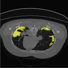
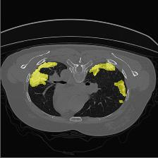
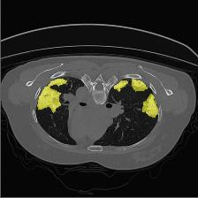
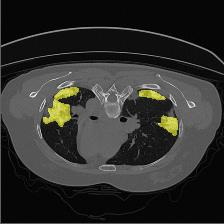
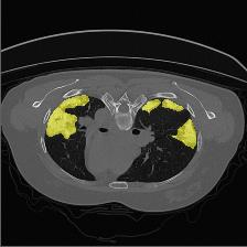
Medical image segmentation is one of the most fundamental tasks concerning medical information analysis. Various solutions have been proposed so far, including many deep learning-based techniques, such as U-Net, FC-DenseNet, etc. However, high-precision medical image segmentation remains a highly challenging task due to the existence of inherent magnification and distortion in medical images as well as the presence of lesions with similar density to normal tissues. In this paper, we propose TFCNs (Transformers for Fully Convolutional denseNets) to tackle the problem by introducing ResLinear-Transformer (RL-Transformer) and Convolutional Linear Attention Block (CLAB) to FC-DenseNet. TFCNs is not only able to utilize more latent information from the CT images for feature extraction, but also can capture and disseminate semantic features and filter non-semantic features more effectively through the CLAB module. Our experimental results show that TFCNs can achieve state-of-the-art performance with dice scores of 83.72\% on the Synapse dataset. In addition, we evaluate the robustness of TFCNs for lesion area effects on the COVID-19 public datasets. The Python code will be made publicly available on https://github.com/HUANGLIZI/TFCNs.


翻译:医学图像分解是医学信息分析的最根本任务之一,到目前为止已经提出了各种解决办法,包括许多深层次的学习技术,如U-Net、FC-DenseNet等。 然而,高精度医学图像分解由于医疗图像中存在固有的放大和扭曲,以及存在与正常组织密度相似的损伤,因此仍是一项极具挑战性的任务。在本文件中,我们建议TFCN(全面革命稠密网络的传输者)通过向FC-DenseNet引进ResLear-Transerferent(R-Transerfor)和Culvacial线性关注区(CLAB)来解决这一问题。TFCN不仅能够利用CT图像中更多的潜在信息来提取特征,而且还能够通过CLAB模块更有效地捕捉和传播语性特征和过滤非神经性特征。我们的实验结果表明,TFCN可以在Syapseion/SymblyDDS上以83CN-72 ⁇ 的分数实现状态。此外,我们在Synapse-DRIS数据设置上,我们还将评估CUTFTFI/LIS的可靠度。

0
下载
关闭预览

相关内容

图像分割就是把图像分成若干个特定的、具有独特性质的区域并提出感兴趣目标的技术和过程。它是由图像处理到图像分析的关键步骤。 所谓图像分割指的是根据灰度、颜色、纹理和形状等特征把图像划分成若干互不交迭的区域,并使这些特征在同一区域内呈现出相似性,而在不同区域间呈现出明显的差异性。

知识荟萃

精品入门和进阶教程、论文和代码整理等

更多

查看相关VIP内容、论文、资讯等
100+篇《自监督学习(Self-Supervised Learning)》论文最新合集
专知会员服务
167+阅读 · 2020年3月18日
[综述]深度学习下的场景文本检测与识别
专知会员服务
78+阅读 · 2019年10月10日
【SIGGRAPH2019】TensorFlow 2.0深度学习计算机图形学应用
专知会员服务
41+阅读 · 2019年10月9日
VCIP 2022 Call for Demos
CCF多媒体专委会
1+阅读 · 2022年6月6日
VCIP 2022 Call for Special Session Proposals
CCF多媒体专委会
1+阅读 · 2022年4月1日
【ICIG2021】Latest News & Announcements of the Workshop
中国图象图形学学会CSIG
0+阅读 · 2021年12月20日
Hierarchically Structured Meta-learning
CreateAMind
27+阅读 · 2019年5月22日
disentangled-representation-papers
CreateAMind
26+阅读 · 2018年9月12日
【推荐】YOLO实时目标检测(6fps)
机器学习研究会
20+阅读 · 2017年11月5日
可解释的CNN
CreateAMind
17+阅读 · 2017年10月5日
【推荐】深度学习目标检测全面综述
机器学习研究会
21+阅读 · 2017年9月13日
【推荐】深度学习目标检测概览
机器学习研究会
10+阅读 · 2017年9月1日
【推荐】全卷积语义分割综述
机器学习研究会
19+阅读 · 2017年8月31日
国家自然科学基金
0+阅读 · 2013年12月31日
国家自然科学基金
0+阅读 · 2012年12月31日
国家自然科学基金
0+阅读 · 2012年12月31日
国家自然科学基金
0+阅读 · 2011年12月31日
国家自然科学基金
0+阅读 · 2009年12月31日
国家自然科学基金
1+阅读 · 2008年12月31日
国家自然科学基金
0+阅读 · 2008年12月31日
Transformers in Medical Image Analysis: A Review
Arxiv
40+阅读 · 2022年2月24日
W-net: Bridged U-net for 2D Medical Image Segmentation
Arxiv
20+阅读 · 2018年7月12日
Arxiv
21+阅读 · 2018年5月23日
VIP会员
相关资讯
VCIP 2022 Call for Demos
CCF多媒体专委会
1+阅读 · 2022年6月6日
VCIP 2022 Call for Special Session Proposals
CCF多媒体专委会
1+阅读 · 2022年4月1日
【ICIG2021】Latest News & Announcements of the Workshop
中国图象图形学学会CSIG
0+阅读 · 2021年12月20日
Hierarchically Structured Meta-learning
CreateAMind
27+阅读 · 2019年5月22日
disentangled-representation-papers
CreateAMind
26+阅读 · 2018年9月12日
【推荐】YOLO实时目标检测(6fps)
机器学习研究会
20+阅读 · 2017年11月5日
可解释的CNN
CreateAMind
17+阅读 · 2017年10月5日
【推荐】深度学习目标检测全面综述
机器学习研究会
21+阅读 · 2017年9月13日
【推荐】深度学习目标检测概览
机器学习研究会
10+阅读 · 2017年9月1日
【推荐】全卷积语义分割综述
机器学习研究会
19+阅读 · 2017年8月31日
相关基金
国家自然科学基金
0+阅读 · 2013年12月31日
国家自然科学基金
0+阅读 · 2012年12月31日
国家自然科学基金
0+阅读 · 2012年12月31日
国家自然科学基金
0+阅读 · 2011年12月31日
国家自然科学基金
0+阅读 · 2009年12月31日
国家自然科学基金
1+阅读 · 2008年12月31日
国家自然科学基金
0+阅读 · 2008年12月31日
Top
微信扫码咨询专知VIP会员