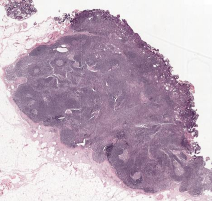
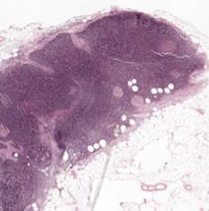
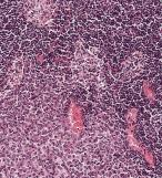
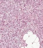
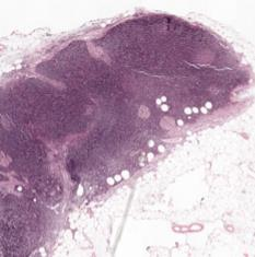
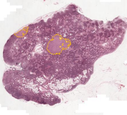
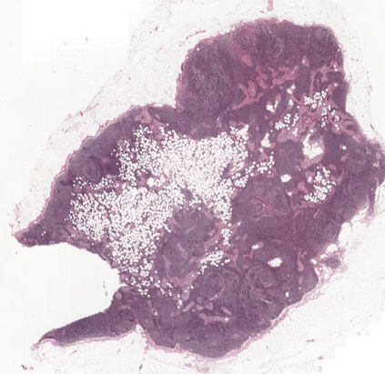
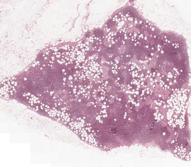
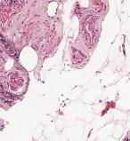
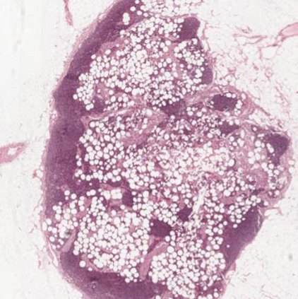
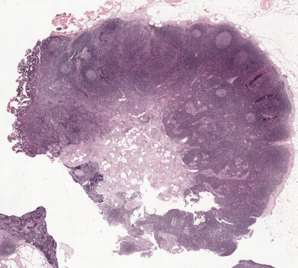
Multiple Instance Learning (MIL) is widely used in analyzing histopathological Whole Slide Images (WSIs). However, existing MIL methods do not explicitly model the data distribution, and instead they only learn a bag-level or instance-level decision boundary discriminatively by training a classifier. In this paper, we propose DGMIL: a feature distribution guided deep MIL framework for WSI classification and positive patch localization. Instead of designing complex discriminative network architectures, we reveal that the inherent feature distribution of histopathological image data can serve as a very effective guide for instance classification. We propose a cluster-conditioned feature distribution modeling method and a pseudo label-based iterative feature space refinement strategy so that in the final feature space the positive and negative instances can be easily separated. Experiments on the CAMELYON16 dataset and the TCGA Lung Cancer dataset show that our method achieves new SOTA for both global classification and positive patch localization tasks.


翻译:多事例学习(MIL)被广泛用于分析病理学整体幻灯片图像(WSIs) 。 但是,现有的MIL方法并不明确地模拟数据分布,而只是通过培训分类员来区别地学习袋级或例级决定界限。 在本文中,我们提议DGMIL:一个为SSI分类和积极的补丁定位而指导深度MIL框架的特征分布。我们发现,与其设计复杂的歧视性网络结构,不如说,组织病理图像数据固有的特征分布可以作为非常有效的分类指南。我们提议了一个基于集束的特征分布模型方法和一个假标签的迭代功能改进空间战略,以便在最终特征空间中可以很容易地区分正负实例。关于CAMELYON16数据集和TCGA Lung癌症数据集的实验表明,我们的方法为全球分类和积极的补丁化任务实现了新的SOTA。

0
下载
关闭预览

相关内容

100+篇《自监督学习(Self-Supervised Learning)》论文最新合集
专知会员服务
167+阅读 · 2020年3月18日
抢鲜看!13篇CVPR2020论文链接/开源代码/解读
专知会员服务
50+阅读 · 2020年2月26日
[综述]深度学习下的场景文本检测与识别
专知会员服务
78+阅读 · 2019年10月10日
机器学习入门的经验与建议
专知会员服务
94+阅读 · 2019年10月10日
【ICIG2021】Latest News & Announcements of the Tutorial
中国图象图形学学会CSIG
3+阅读 · 2021年12月20日
【ICIG2021】Latest News & Announcements of the Plenary Talk2
中国图象图形学学会CSIG
0+阅读 · 2021年11月2日
Hierarchically Structured Meta-learning
CreateAMind
27+阅读 · 2019年5月22日
Transferring Knowledge across Learning Processes
CreateAMind
29+阅读 · 2019年5月18日
无监督元学习表示学习
CreateAMind
27+阅读 · 2019年1月4日
Unsupervised Learning via Meta-Learning
CreateAMind
43+阅读 · 2019年1月3日
国家自然科学基金
0+阅读 · 2014年12月31日
国家自然科学基金
0+阅读 · 2013年12月31日
国家自然科学基金
1+阅读 · 2013年12月31日
国家自然科学基金
0+阅读 · 2012年12月31日
国家自然科学基金
1+阅读 · 2012年12月31日
国家自然科学基金
0+阅读 · 2012年12月31日
国家自然科学基金
0+阅读 · 2011年12月31日
国家自然科学基金
0+阅读 · 2009年12月31日
国家自然科学基金
0+阅读 · 2008年12月31日
VIP会员
相关基金
国家自然科学基金
0+阅读 · 2014年12月31日
国家自然科学基金
0+阅读 · 2013年12月31日
国家自然科学基金
1+阅读 · 2013年12月31日
国家自然科学基金
0+阅读 · 2012年12月31日
国家自然科学基金
1+阅读 · 2012年12月31日
国家自然科学基金
0+阅读 · 2012年12月31日
国家自然科学基金
0+阅读 · 2011年12月31日
国家自然科学基金
0+阅读 · 2009年12月31日
国家自然科学基金
0+阅读 · 2008年12月31日
Top
微信扫码咨询专知VIP会员