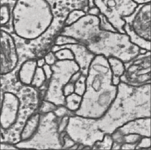
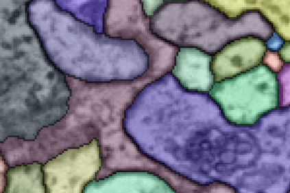
This work introduces a new proposal-free instance segmentation method that builds on single-instance segmentation masks predicted across the entire image in a sliding window style. In contrast to related approaches, our method concurrently predicts all masks, one for each pixel, and thus resolves any conflict jointly across the entire image. Specifically, predictions from overlapping masks are combined into edge weights of a signed graph that is subsequently partitioned to obtain all final instances concurrently. The result is a parameter-free method that is strongly robust to noise and prioritizes predictions with the highest consensus across overlapping masks. All masks are decoded from a low dimensional latent representation, which results in great memory savings strictly required for applications to large volumetric images. We test our method on the challenging CREMI 2016 neuron segmentation benchmark where it achieves competitive scores.


翻译:这项工作引入了一种新的无建议实例分割法,该方法建立在以滑动窗口样式在整个图像中预测的单因子分割面罩的基础上。 与相关方法不同, 我们的方法同时预测了所有面罩, 每个像素一个, 从而解决了整个图像中的任何冲突。 具体地说, 重叠面罩的预测被合并成一个签名图的边分数, 该图随后被分割, 以同时获得所有最后实例。 结果是一种无参数方法, 对噪音非常有力, 并且以重叠面罩之间最高共识的预测优先排序。 所有面罩都从一个低维潜值表示法解码, 这导致大量记忆节约, 这对于大型体积图像的应用是绝对必要的。 我们测试了我们的方法, 在具有挑战性的 CREMI 2016 神经分割基准上, 在那里取得了竞争性的分数 。

0
下载
关闭预览

相关内容

专知会员服务
110+阅读 · 2020年3月12日
机器学习入门的经验与建议
专知会员服务
94+阅读 · 2019年10月10日
“CVPR 2020 接受论文列表 1470篇论文都在这了
强化学习三篇论文 避免遗忘等
CreateAMind
20+阅读 · 2019年5月24日
Hierarchically Structured Meta-learning
CreateAMind
27+阅读 · 2019年5月22日
Transferring Knowledge across Learning Processes
CreateAMind
29+阅读 · 2019年5月18日
动物脑的好奇心和强化学习的好奇心
CreateAMind
10+阅读 · 2019年1月26日
Unsupervised Learning via Meta-Learning
CreateAMind
43+阅读 · 2019年1月3日
Disentangled的假设的探讨
CreateAMind
9+阅读 · 2018年12月10日
disentangled-representation-papers
CreateAMind
26+阅读 · 2018年9月12日
条件GAN重大改进!cGANs with Projection Discriminator
CreateAMind
8+阅读 · 2018年2月7日
S4Net: Single Stage Salient-Instance Segmentation
Arxiv
10+阅读 · 2019年4月10日
Pluralistic Image Completion
Arxiv
8+阅读 · 2019年3月11日
UPSNet: A Unified Panoptic Segmentation Network
Arxiv
4+阅读 · 2019年1月12日
Arxiv
3+阅读 · 2018年3月5日
Arxiv
5+阅读 · 2016年10月24日
VIP会员
相关资讯
“CVPR 2020 接受论文列表 1470篇论文都在这了
强化学习三篇论文 避免遗忘等
CreateAMind
20+阅读 · 2019年5月24日
Hierarchically Structured Meta-learning
CreateAMind
27+阅读 · 2019年5月22日
Transferring Knowledge across Learning Processes
CreateAMind
29+阅读 · 2019年5月18日
动物脑的好奇心和强化学习的好奇心
CreateAMind
10+阅读 · 2019年1月26日
Unsupervised Learning via Meta-Learning
CreateAMind
43+阅读 · 2019年1月3日
Disentangled的假设的探讨
CreateAMind
9+阅读 · 2018年12月10日
disentangled-representation-papers
CreateAMind
26+阅读 · 2018年9月12日
条件GAN重大改进!cGANs with Projection Discriminator
CreateAMind
8+阅读 · 2018年2月7日
Top
微信扫码咨询专知VIP会员