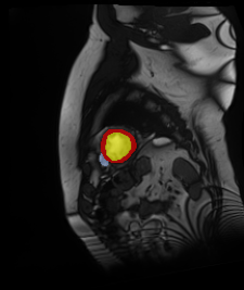
Medical data often exhibits long-tail distributions with heavy class imbalance, which naturally leads to difficulty in classifying the minority classes (i.e., boundary regions or rare objects). Recent work has significantly improved semi-supervised medical image segmentation in long-tailed scenarios by equipping them with unsupervised contrastive criteria. However, it remains unclear how well they will perform in the labeled portion of data where class distribution is also highly imbalanced. In this work, we present ACTION++, an improved contrastive learning framework with adaptive anatomical contrast for semi-supervised medical segmentation. Specifically, we propose an adaptive supervised contrastive loss, where we first compute the optimal locations of class centers uniformly distributed on the embedding space (i.e., off-line), and then perform online contrastive matching training by encouraging different class features to adaptively match these distinct and uniformly distributed class centers. Moreover, we argue that blindly adopting a constant temperature $\tau$ in the contrastive loss on long-tailed medical data is not optimal, and propose to use a dynamic $\tau$ via a simple cosine schedule to yield better separation between majority and minority classes. Empirically, we evaluate ACTION++ on ACDC and LA benchmarks and show that it achieves state-of-the-art across two semi-supervised settings. Theoretically, we analyze the performance of adaptive anatomical contrast and confirm its superiority in label efficiency.


翻译:医学数据经常呈现长尾分布和重度类别不平衡,这自然导致在对少数类别(即边界区域或罕见目标)进行分类时出现困难。最近的研究在长尾情况下通过装备医学影像的无监督对比标准,明显改进了半监督医学图像分割。然而,在标记的数据部分中,类别分布也极为不平衡,因此它们的表现如何仍不清楚。在本研究中,我们介绍一种采用自适应解剖对比度改进的对半监督医学分割行动的框架(ACTION++)。具体来说,我们提出了一种自适应监督对比损失,它首先在嵌入空间上计算出不同类别的优化位置(即离线),然后通过鼓励不同类别之间的特征与这些不同和均匀分布的类别中心相适应的在线对比匹配训练来进行自适应匹配。此外,我们认为,在长尾医疗数据中盲目采用常温度$\tau$不是最优的,因此通过一个简单的余弦计划来使用动态$\tau$来产生更好的多数类别和少数类别之间的分离。在实证方面,我们在ACDC和LA基准测试中评估ACTION++,并展示了其在两种半监督设置下的最新成果。从理论上讲,我们分析了自适应解剖对比度的性能,并证实了它在标签效率上的优越性。

0
下载
关闭预览

相关内容

专知会员服务
45+阅读 · 2021年1月31日
100+篇《自监督学习(Self-Supervised Learning)》论文最新合集
专知会员服务
167+阅读 · 2020年3月18日
[综述]深度学习下的场景文本检测与识别
专知会员服务
78+阅读 · 2019年10月10日
Hierarchically Structured Meta-learning
CreateAMind
27+阅读 · 2019年5月22日
Transferring Knowledge across Learning Processes
CreateAMind
29+阅读 · 2019年5月18日
强化学习的Unsupervised Meta-Learning
CreateAMind
18+阅读 · 2019年1月7日
Unsupervised Learning via Meta-Learning
CreateAMind
43+阅读 · 2019年1月3日
disentangled-representation-papers
CreateAMind
26+阅读 · 2018年9月12日
【推荐】GAN架构入门综述(资源汇总)
机器学习研究会
10+阅读 · 2017年9月3日
【推荐】全卷积语义分割综述
机器学习研究会
19+阅读 · 2017年8月31日
国家自然科学基金
0+阅读 · 2017年12月31日
国家自然科学基金
0+阅读 · 2014年12月31日
国家自然科学基金
0+阅读 · 2013年12月31日
国家自然科学基金
0+阅读 · 2013年12月31日
国家自然科学基金
0+阅读 · 2013年12月31日
国家自然科学基金
0+阅读 · 2013年12月31日
国家自然科学基金
11+阅读 · 2012年12月31日
国家自然科学基金
0+阅读 · 2011年12月31日
W-net: Bridged U-net for 2D Medical Image Segmentation
Arxiv
20+阅读 · 2018年7月12日
VIP会员
相关VIP内容
专知会员服务
45+阅读 · 2021年1月31日
100+篇《自监督学习(Self-Supervised Learning)》论文最新合集
专知会员服务
167+阅读 · 2020年3月18日
[综述]深度学习下的场景文本检测与识别
专知会员服务
78+阅读 · 2019年10月10日
相关基金
国家自然科学基金
0+阅读 · 2017年12月31日
国家自然科学基金
0+阅读 · 2014年12月31日
国家自然科学基金
0+阅读 · 2013年12月31日
国家自然科学基金
0+阅读 · 2013年12月31日
国家自然科学基金
0+阅读 · 2013年12月31日
国家自然科学基金
0+阅读 · 2013年12月31日
国家自然科学基金
11+阅读 · 2012年12月31日
国家自然科学基金
0+阅读 · 2011年12月31日
Top
微信扫码咨询专知VIP会员