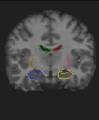
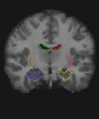
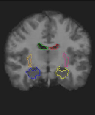
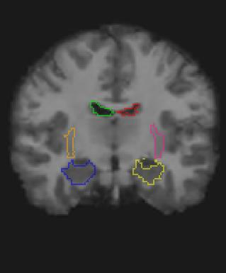
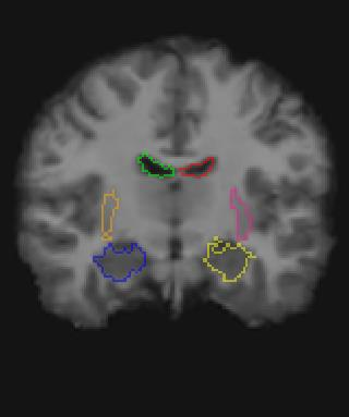
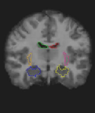
Medical image registration is a fundamental and critical task in medical image analysis. With the rapid development of deep learning, convolutional neural networks (CNN) have dominated the medical image registration field. Due to the disadvantage of the local receptive field of CNN, some recent registration methods have focused on using transformers for non-local registration. However, the standard Transformer has a vast number of parameters and high computational complexity, which causes Transformer can only be applied at the bottom of the registration models. As a result, only coarse information is available at the lowest resolution, limiting the contribution of Transformer in their models. To address these challenges, we propose a convolution-based efficient multi-head self-attention (CEMSA) block, which reduces the parameters of the traditional Transformer and captures local spatial context information for reducing semantic ambiguity in the attention mechanism. Based on the proposed CEMSA, we present a novel Symmetric Transformer-based model (SymTrans). SymTrans employs the Transformer blocks in the encoder and the decoder respectively to model the long-range spatial cross-image relevance. We apply SymTrans to the displacement field and diffeomorphic registration. Experimental results show that our proposed method achieves state-of-the-art performance in image registration. Our code is publicly available at \url{https://github.com/MingR-Ma/SymTrans}.


翻译:医学图像登记是医学图像分析中一项根本性和关键的任务。随着深层学习的迅速发展,进化神经网络(CNN)在医学图像登记领域占据了主导地位。由于CNN当地可接收域的不利之处,最近一些登记方法侧重于使用变压器进行非本地登记。然而,标准变压器有许多参数和高计算复杂性,导致变压器只能在注册模型的底部应用。结果,只有最低分辨率才能提供粗糙的信息,限制变压器在其模型中的贡献。为了应对这些挑战,我们建议建立一个基于变压器的高效多头自留(CEMSA)块,该块将减少传统变压器的参数,并捕捉当地空间背景信息,以减少注意机制中的语义模糊性。根据拟议的CEMSA,我们提出了一个新型的Symetricyter变压器模型(Symoration)。Symall 将变压器和解调器分别用于模拟长空跨空间互换器/变压器的模型。我们在Symal-Matial登记中可以获取的Sytraal-modroal-modal-motion mastration mastration

0
下载
关闭预览

相关内容

图像配准是图像处理研究领域中的一个典型问题和技术难点,其目的在于比较或融合针对同一对象在不同条件下获取的图像,例如图像会来自不同的采集设备,取自不同的时间,不同的拍摄视角等等,有时也需要用到针对不同对象的图像配准问题。具体地说,对于一组图像数据集中的两幅图像,通过寻找一种空间变换把一幅图像映射到另一幅图像,使得两图中对应于空间同一位置的点一一对应起来,从而达到信息融合的目的。 该技术在计算机视觉、医学图像处理以及材料力学等领域都具有广泛的应用。根据具体应用的不同,有的侧重于通过变换结果融合两幅图像,有的侧重于研究变换本身以获得对象的一些力学属性。
专知会员服务
61+阅读 · 2020年3月19日
100+篇《自监督学习(Self-Supervised Learning)》论文最新合集
专知会员服务
167+阅读 · 2020年3月18日
Stabilizing Transformers for Reinforcement Learning
专知会员服务
60+阅读 · 2019年10月17日
【哈佛大学商学院课程Fall 2019】机器学习可解释性
专知会员服务
105+阅读 · 2019年10月9日
VCIP 2022 Call for Demos
CCF多媒体专委会
1+阅读 · 2022年6月6日
IEEE TII Call For Papers
CCF多媒体专委会
3+阅读 · 2022年3月24日
ACM TOMM Call for Papers
CCF多媒体专委会
2+阅读 · 2022年3月23日
AIART 2022 Call for Papers
CCF多媒体专委会
1+阅读 · 2022年2月13日
【ICIG2021】Check out the hot new trailer of ICIG2021 Symposium4
中国图象图形学学会CSIG
0+阅读 · 2021年11月10日
Hierarchically Structured Meta-learning
CreateAMind
27+阅读 · 2019年5月22日
Unsupervised Learning via Meta-Learning
CreateAMind
43+阅读 · 2019年1月3日
A Technical Overview of AI & ML in 2018 & Trends for 2019
待字闺中
18+阅读 · 2018年12月24日
disentangled-representation-papers
CreateAMind
26+阅读 · 2018年9月12日
可解释的CNN
CreateAMind
17+阅读 · 2017年10月5日
国家自然科学基金
0+阅读 · 2014年12月31日
国家自然科学基金
0+阅读 · 2013年12月31日
国家自然科学基金
1+阅读 · 2013年12月31日
国家自然科学基金
0+阅读 · 2012年12月31日
国家自然科学基金
0+阅读 · 2012年12月31日
国家自然科学基金
0+阅读 · 2011年12月31日
VIP会员
相关资讯
VCIP 2022 Call for Demos
CCF多媒体专委会
1+阅读 · 2022年6月6日
IEEE TII Call For Papers
CCF多媒体专委会
3+阅读 · 2022年3月24日
ACM TOMM Call for Papers
CCF多媒体专委会
2+阅读 · 2022年3月23日
AIART 2022 Call for Papers
CCF多媒体专委会
1+阅读 · 2022年2月13日
【ICIG2021】Check out the hot new trailer of ICIG2021 Symposium4
中国图象图形学学会CSIG
0+阅读 · 2021年11月10日
Hierarchically Structured Meta-learning
CreateAMind
27+阅读 · 2019年5月22日
Unsupervised Learning via Meta-Learning
CreateAMind
43+阅读 · 2019年1月3日
A Technical Overview of AI & ML in 2018 & Trends for 2019
待字闺中
18+阅读 · 2018年12月24日
disentangled-representation-papers
CreateAMind
26+阅读 · 2018年9月12日
可解释的CNN
CreateAMind
17+阅读 · 2017年10月5日
相关基金
国家自然科学基金
0+阅读 · 2014年12月31日
国家自然科学基金
0+阅读 · 2013年12月31日
国家自然科学基金
1+阅读 · 2013年12月31日
国家自然科学基金
0+阅读 · 2012年12月31日
国家自然科学基金
0+阅读 · 2012年12月31日
国家自然科学基金
0+阅读 · 2011年12月31日
Top
微信扫码咨询专知VIP会员