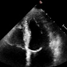
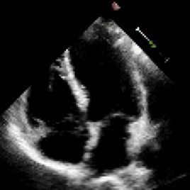
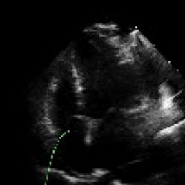
Accurate and consistent predictions of echocardiography parameters are important for cardiovascular diagnosis and treatment. In particular, segmentations of the left ventricle can be used to derive ventricular volume, ejection fraction (EF) and other relevant measurements. In this paper we propose a new automated method called EchoGraphs for predicting ejection fraction and segmenting the left ventricle by detecting anatomical keypoints. Models for direct coordinate regression based on Graph Convolutional Networks (GCNs) are used to detect the keypoints. GCNs can learn to represent the cardiac shape based on local appearance of each keypoint, as well as global spatial and temporal structures of all keypoints combined. We evaluate our EchoGraphs model on the EchoNet benchmark dataset. Compared to semantic segmentation, GCNs show accurate segmentation and improvements in robustness and inference runtime. EF is computed simultaneously to segmentations and our method also obtains state-of-the-art ejection fraction estimation. Source code is available online: https://github.com/guybenyosef/EchoGraphs.


翻译:对回声心电图参数的准确和一致预测对于心血管诊断和治疗十分重要,特别是左心室的分块可用于产生心血管体积、弹出分数(EF)和其他相关测量结果。在本文件中,我们提出一种新的自动化方法,称为EchoGraphs,用于预测弹出分数,并通过探测解剖关键点对左心室进行分解。根据图表变异网络(GCNs)进行直接协调回归模型用于检测关键点。GCNs可以学习根据每个关键点的局部外观以及所有关键点的全球空间和时间结构来代表心脏形状。我们在EchoNet基准数据集上对EchoGraphs模型进行了评估。与语系分化相比,GCNs显示了准确的分化和稳健度和推断运行时间的改进。EF是同时计算分解的,我们的方法也获得了最新化的弹射分数估计。源代码可在线查阅:https://github.com/guybenyos/Echophophs。

0
下载
关闭预览

相关内容

专知会员服务
45+阅读 · 2020年10月31日
100+篇《自监督学习(Self-Supervised Learning)》论文最新合集
专知会员服务
167+阅读 · 2020年3月18日
Stabilizing Transformers for Reinforcement Learning
专知会员服务
60+阅读 · 2019年10月17日
《DeepGCNs: Making GCNs Go as Deep as CNNs》
专知会员服务
31+阅读 · 2019年10月17日
[综述]深度学习下的场景文本检测与识别
专知会员服务
78+阅读 · 2019年10月10日
【SIGGRAPH2019】TensorFlow 2.0深度学习计算机图形学应用
专知会员服务
41+阅读 · 2019年10月9日
VCIP 2022 Call for Demos
CCF多媒体专委会
1+阅读 · 2022年6月6日
【ICIG2021】Check out the hot new trailer of ICIG2021 Symposium9
中国图象图形学学会CSIG
0+阅读 · 2021年12月17日
【ICIG2021】Check out the hot new trailer of ICIG2021 Symposium6
中国图象图形学学会CSIG
2+阅读 · 2021年11月12日
【ICIG2021】Check out the hot new trailer of ICIG2021 Symposium4
中国图象图形学学会CSIG
0+阅读 · 2021年11月10日
【ICIG2021】Check out the hot new trailer of ICIG2021 Symposium3
中国图象图形学学会CSIG
0+阅读 · 2021年11月9日
【ICIG2021】Check out the hot new trailer of ICIG2021 Symposium2
中国图象图形学学会CSIG
0+阅读 · 2021年11月8日
【ICIG2021】Latest News & Announcements of the Industry Talk1
中国图象图形学学会CSIG
0+阅读 · 2021年7月28日
Hierarchically Structured Meta-learning
CreateAMind
27+阅读 · 2019年5月22日
Transferring Knowledge across Learning Processes
CreateAMind
29+阅读 · 2019年5月18日
Unsupervised Learning via Meta-Learning
CreateAMind
43+阅读 · 2019年1月3日
国家自然科学基金
0+阅读 · 2014年12月31日
国家自然科学基金
0+阅读 · 2013年12月31日
国家自然科学基金
1+阅读 · 2012年12月31日
国家自然科学基金
0+阅读 · 2012年12月31日
国家自然科学基金
0+阅读 · 2011年12月31日
国家自然科学基金
0+阅读 · 2009年12月31日
国家自然科学基金
0+阅读 · 2009年12月31日
国家自然科学基金
1+阅读 · 2008年12月31日
Neural Architecture Search without Training
Arxiv
10+阅读 · 2021年6月11日
On Feature Normalization and Data Augmentation
Arxiv
15+阅读 · 2020年2月25日
VIP会员
相关资讯
VCIP 2022 Call for Demos
CCF多媒体专委会
1+阅读 · 2022年6月6日
【ICIG2021】Check out the hot new trailer of ICIG2021 Symposium9
中国图象图形学学会CSIG
0+阅读 · 2021年12月17日
【ICIG2021】Check out the hot new trailer of ICIG2021 Symposium6
中国图象图形学学会CSIG
2+阅读 · 2021年11月12日
【ICIG2021】Check out the hot new trailer of ICIG2021 Symposium4
中国图象图形学学会CSIG
0+阅读 · 2021年11月10日
【ICIG2021】Check out the hot new trailer of ICIG2021 Symposium3
中国图象图形学学会CSIG
0+阅读 · 2021年11月9日
【ICIG2021】Check out the hot new trailer of ICIG2021 Symposium2
中国图象图形学学会CSIG
0+阅读 · 2021年11月8日
【ICIG2021】Latest News & Announcements of the Industry Talk1
中国图象图形学学会CSIG
0+阅读 · 2021年7月28日
Hierarchically Structured Meta-learning
CreateAMind
27+阅读 · 2019年5月22日
Transferring Knowledge across Learning Processes
CreateAMind
29+阅读 · 2019年5月18日
Unsupervised Learning via Meta-Learning
CreateAMind
43+阅读 · 2019年1月3日
相关基金
国家自然科学基金
0+阅读 · 2014年12月31日
国家自然科学基金
0+阅读 · 2013年12月31日
国家自然科学基金
1+阅读 · 2012年12月31日
国家自然科学基金
0+阅读 · 2012年12月31日
国家自然科学基金
0+阅读 · 2011年12月31日
国家自然科学基金
0+阅读 · 2009年12月31日
国家自然科学基金
0+阅读 · 2009年12月31日
国家自然科学基金
1+阅读 · 2008年12月31日
Top
微信扫码咨询专知VIP会员