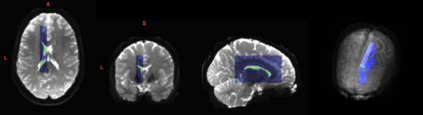
We present an information-theoretic approach to the registration of images with directional information, and especially for diffusion-Weighted Images (DWI), with explicit optimization over the directional scale. We call it Locally Orderless Registration with Directions (LORD). We focus on normalized mutual information as a robust information-theoretic similarity measure for DWI. The framework is an extension of the LOR-DWI density-based hierarchical scale-space model that varies and optimizes the integration, spatial, directional, and intensity scales. As affine transformations are insufficient for inter-subject registration, we extend the model to non-rigid deformations. We illustrate that the proposed model deforms orientation distribution functions (ODFs) correctly and is capable of handling the classic complex challenges in DWI-registrations, such as the registration of fiber-crossings along with kissing, fanning, and interleaving fibers. Our experimental results clearly illustrate a novel promising regularizing effect, that comes from the nonlinear orientation-based cost function. We show the properties of the different image scales and, we show that including orientational information in our model makes the model better at retrieving deformations in contrast to standard scalar-based registration.


翻译:我们提出一种信息理论方法,用方向信息来登记图像,特别是扩散光学图像(DWI),在方向尺度上进行明确优化。我们称它为“无秩序无秩序地向导登记”(LORD)。我们注重将相互信息正常化,以此作为DWI的稳健信息理论相似性衡量标准。这个框架是LOR-DWI基于密度的高度空间模型的延伸,该模型的集成、空间、方向和强度尺度各不相同,并优化了集成、空间、方向和强度尺度。由于对不同对象的登记而言,亲切转换不够充分,我们将模型扩展至非硬性畸形。我们说明,拟议的模型变形方向分配功能(ODFS)是正确的,能够处理DWI登记中典型的复杂挑战,例如,在接吻、扇风和间隔膜纤维的登记。我们的实验结果清楚地说明了一种新的有希望实现正规化的效果,这种效果来自非线性定向成本功能。我们展示了不同图像尺度的特性,我们在模型中显示包括标准向方向变形的变形,我们在模型中显示,在模型中显示包括方向变形变形的变形的变形,在模型中显示,在模型中显示,在模型中显示的变形变形变形变形的变形变形的变形的变形,以变形中显示我们的变形。

0
下载
关闭预览

相关内容

《计算机信息》杂志发表高质量的论文,扩大了运筹学和计算的范围,寻求有关理论、方法、实验、系统和应用方面的原创研究论文、新颖的调查和教程论文,以及描述新的和有用的软件工具的论文。官网链接:https://pubsonline.informs.org/journal/ijoc
专知会员服务
45+阅读 · 2020年12月18日
综述 | 图像配准 Image registration
计算机视觉life
18+阅读 · 2019年9月12日
计算机 | 入门级EI会议ICVRIS 2019诚邀稿件
Call4Papers
10+阅读 · 2019年6月24日
Hierarchically Structured Meta-learning
CreateAMind
27+阅读 · 2019年5月22日
IEEE | DSC 2019诚邀稿件 (EI检索)
Call4Papers
10+阅读 · 2019年2月25日
逆强化学习-学习人先验的动机
CreateAMind
16+阅读 · 2019年1月18日
无监督元学习表示学习
CreateAMind
27+阅读 · 2019年1月4日
Unsupervised Learning via Meta-Learning
CreateAMind
43+阅读 · 2019年1月3日
A Technical Overview of AI & ML in 2018 & Trends for 2019
待字闺中
18+阅读 · 2018年12月24日
disentangled-representation-papers
CreateAMind
26+阅读 · 2018年9月12日
Hierarchical Disentangled Representations
CreateAMind
4+阅读 · 2018年4月15日
Arxiv
0+阅读 · 2021年9月9日
VIP会员
相关VIP内容
专知会员服务
45+阅读 · 2020年12月18日
相关资讯
综述 | 图像配准 Image registration
计算机视觉life
18+阅读 · 2019年9月12日
计算机 | 入门级EI会议ICVRIS 2019诚邀稿件
Call4Papers
10+阅读 · 2019年6月24日
Hierarchically Structured Meta-learning
CreateAMind
27+阅读 · 2019年5月22日
IEEE | DSC 2019诚邀稿件 (EI检索)
Call4Papers
10+阅读 · 2019年2月25日
逆强化学习-学习人先验的动机
CreateAMind
16+阅读 · 2019年1月18日
无监督元学习表示学习
CreateAMind
27+阅读 · 2019年1月4日
Unsupervised Learning via Meta-Learning
CreateAMind
43+阅读 · 2019年1月3日
A Technical Overview of AI & ML in 2018 & Trends for 2019
待字闺中
18+阅读 · 2018年12月24日
disentangled-representation-papers
CreateAMind
26+阅读 · 2018年9月12日
Hierarchical Disentangled Representations
CreateAMind
4+阅读 · 2018年4月15日
Top
微信扫码咨询专知VIP会员