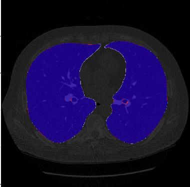
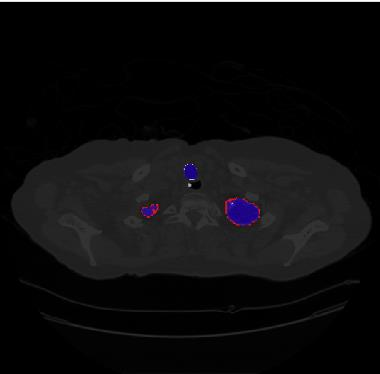
Segmentation of lung tissue in computed tomography (CT) images is a precursor to most pulmonary image analysis applications. Semantic segmentation methods using deep learning have exhibited top-tier performance in recent years. This paper presents a fully automatic method for identifying the lungs in three-dimensional (3D) pulmonary CT images, which we call it Lung-Net. We conjectured that a significant deeper network with inceptionV3 units can achieve a better feature representation of lung CT images without increasing the model complexity in terms of the number of trainable parameters. The method has three main advantages. First, a U-Net architecture with InceptionV3 blocks is developed to resolve the problem of performance degradation and parameter overload. Then, using information from consecutive slices, a new data structure is created to increase generalization potential, allowing more discriminating features to be extracted by making data representation as efficient as possible. Finally, the robustness of the proposed segmentation framework was quantitatively assessed using one public database to train and test the model (LUNA16) and two public databases (ISBI VESSEL12 challenge and CRPF dataset) only for testing the model; each database consists of 700, 23, and 40 CT images, respectively, that were acquired with a different scanner and protocol. Based on the experimental results, the proposed method achieved competitive results over the existing techniques with Dice coefficient of 99.7, 99.1, and 98.8 for LUNA16, VESSEL12, and CRPF datasets, respectively. For segmenting lung tissue in CT images, the proposed model is efficient in terms of time and parameters and outperforms other state-of-the-art methods. Additionally, this model is publicly accessible via a graphical user interface.


翻译:计算断层成像(CT) 图像中的肺组织分解是大多数肺部图像分析应用的先导。 使用深层学习的静态分解方法近年来表现出顶级性能。 本文展示了一种完全自动的三维( 3D) 肺部CT 图像中肺部识别方法, 我们称之为 Lung- Net 。 我们推测, 一个具有初始V3 单位的更深网络可以更好地体现肺部CT 图像的特征, 而不会增加可训练参数数量的模型复杂性。 该方法有三个主要优势。 首先, 开发了一个带有“ 感官V3” 图像块的 U- 网络结构, 以解决性能退化和参数过载的问题。 然后, 利用连续切三维( 3D) 肺部CT) 肺部CT 图像中的信息, 创建了一个新的数据结构, 以便通过尽可能高效的数据表达方式, 来提取更多的偏差。 最后, 利用一个公共数据库, 培训和测试该模型( LUNA16) 和两个公共数据库( ISBI VER- CREL 12 值 和 CRPFS 4 4 4 4 4 4 ) 系统 系统 系统 系统 等 系统 系统 的系统,, 系统 系统 系统 系统 系统 系统 系统 系统 系统 系统 系统 系统 系统 系统 系统 系统 系统 系统 系统 系统 系统 系统 系统 系统 系统 系统 系统 系统 系统 系统 系统 系统 系统 系统 系统 系统 系统 系统 系统 系统 系统 系统 系统 系统 系统 系统 系统 系统 系统 系统 系统 系统 系统 系统 系统 系统 系统 系统 系统 系统 系统 系统 系统 系统 系统 系统 系统 系统 系统 系统 系统 系统 系统 系统 系统 系统 系统 系统 系统 系统 系统 系统 系统 系统 系统 系统 系统 系统 系统 系统 系统 系统 系统 系统 系统 系统 系统 系统 系统 系统 系统 系统 系统 系统 系统 系统 系统 系统 系统 系统 系统 系统

0
下载
关闭预览

相关内容

ACM/IEEE第23届模型驱动工程语言和系统国际会议,是模型驱动软件和系统工程的首要会议系列,由ACM-SIGSOFT和IEEE-TCSE支持组织。自1998年以来,模型涵盖了建模的各个方面,从语言和方法到工具和应用程序。模特的参加者来自不同的背景,包括研究人员、学者、工程师和工业专业人士。MODELS 2019是一个论坛,参与者可以围绕建模和模型驱动的软件和系统交流前沿研究成果和创新实践经验。今年的版本将为建模社区提供进一步推进建模基础的机会,并在网络物理系统、嵌入式系统、社会技术系统、云计算、大数据、机器学习、安全、开源等新兴领域提出建模的创新应用以及可持续性。 官网链接:http://www.modelsconference.org/
【2022新书】高效深度学习,Efficient Deep Learning Book
专知会员服务
126+阅读 · 2022年4月21日
100+篇《自监督学习(Self-Supervised Learning)》论文最新合集
专知会员服务
167+阅读 · 2020年3月18日
机器学习入门的经验与建议
专知会员服务
94+阅读 · 2019年10月10日
【SIGGRAPH2019】TensorFlow 2.0深度学习计算机图形学应用
专知会员服务
41+阅读 · 2019年10月9日
VCIP 2022 Call for Demos
CCF多媒体专委会
1+阅读 · 2022年6月6日
VCIP 2022 Call for Special Session Proposals
CCF多媒体专委会
1+阅读 · 2022年4月1日
【ICIG2021】Latest News & Announcements of the Tutorial
中国图象图形学学会CSIG
3+阅读 · 2021年12月20日
【ICIG2021】Check out the hot new trailer of ICIG2021 Symposium8
中国图象图形学学会CSIG
0+阅读 · 2021年11月16日
【ICIG2021】Check out the hot new trailer of ICIG2021 Symposium6
中国图象图形学学会CSIG
2+阅读 · 2021年11月12日
【ICIG2021】Check out the hot new trailer of ICIG2021 Symposium4
中国图象图形学学会CSIG
0+阅读 · 2021年11月10日
【ICIG2021】Latest News & Announcements of the Industry Talk1
中国图象图形学学会CSIG
0+阅读 · 2021年7月28日
Hierarchically Structured Meta-learning
CreateAMind
27+阅读 · 2019年5月22日
Transferring Knowledge across Learning Processes
CreateAMind
29+阅读 · 2019年5月18日
Unsupervised Learning via Meta-Learning
CreateAMind
43+阅读 · 2019年1月3日
国家自然科学基金
2+阅读 · 2017年12月31日
国家自然科学基金
2+阅读 · 2015年12月31日
国家自然科学基金
0+阅读 · 2014年12月31日
国家自然科学基金
0+阅读 · 2013年12月31日
国家自然科学基金
0+阅读 · 2013年12月31日
国家自然科学基金
0+阅读 · 2012年12月31日
国家自然科学基金
0+阅读 · 2012年12月31日
Arxiv
17+阅读 · 2020年11月15日
Learning in the Frequency Domain
Arxiv
11+阅读 · 2020年3月12日
VIP会员
相关资讯
VCIP 2022 Call for Demos
CCF多媒体专委会
1+阅读 · 2022年6月6日
VCIP 2022 Call for Special Session Proposals
CCF多媒体专委会
1+阅读 · 2022年4月1日
【ICIG2021】Latest News & Announcements of the Tutorial
中国图象图形学学会CSIG
3+阅读 · 2021年12月20日
【ICIG2021】Check out the hot new trailer of ICIG2021 Symposium8
中国图象图形学学会CSIG
0+阅读 · 2021年11月16日
【ICIG2021】Check out the hot new trailer of ICIG2021 Symposium6
中国图象图形学学会CSIG
2+阅读 · 2021年11月12日
【ICIG2021】Check out the hot new trailer of ICIG2021 Symposium4
中国图象图形学学会CSIG
0+阅读 · 2021年11月10日
【ICIG2021】Latest News & Announcements of the Industry Talk1
中国图象图形学学会CSIG
0+阅读 · 2021年7月28日
Hierarchically Structured Meta-learning
CreateAMind
27+阅读 · 2019年5月22日
Transferring Knowledge across Learning Processes
CreateAMind
29+阅读 · 2019年5月18日
Unsupervised Learning via Meta-Learning
CreateAMind
43+阅读 · 2019年1月3日
相关基金
国家自然科学基金
2+阅读 · 2017年12月31日
国家自然科学基金
2+阅读 · 2015年12月31日
国家自然科学基金
0+阅读 · 2014年12月31日
国家自然科学基金
0+阅读 · 2013年12月31日
国家自然科学基金
0+阅读 · 2013年12月31日
国家自然科学基金
0+阅读 · 2012年12月31日
国家自然科学基金
0+阅读 · 2012年12月31日
Top
微信扫码咨询专知VIP会员