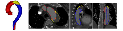
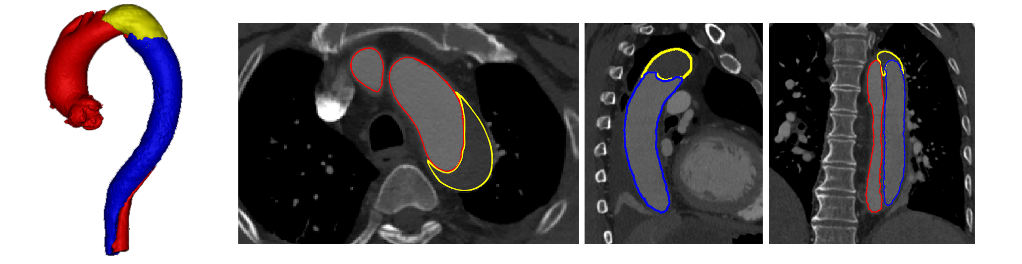
Type-B Aortic Dissection (TBAD) is one of the most serious cardiovascular events characterized by a growing yearly incidence,and the severity of disease prognosis. Currently, computed tomography angiography (CTA) has been widely adopted for the diagnosis and prognosis of TBAD. Accurate segmentation of true lumen (TL), false lumen (FL), and false lumen thrombus (FLT) in CTA are crucial for the precise quantification of anatomical features. However, existing works only focus on only TL and FL without considering FLT. In this paper, we propose ImageTBAD, the first 3D computed tomography angiography (CTA) image dataset of TBAD with annotation of TL, FL, and FLT. The proposed dataset contains 100 TBAD CTA images, which is of decent size compared with existing medical imaging datasets. As FLT can appear almost anywhere along the aorta with irregular shapes, segmentation of FLT presents a wide class of segmentation problems where targets exist in a variety of positions with irregular shapes. We further propose a baseline method for automatic segmentation of TBAD. Results show that the baseline method can achieve comparable results with existing works on aorta and TL segmentation. However, the segmentation accuracy of FLT is only 52%, which leaves large room for improvement and also shows the challenge of our dataset. To facilitate further research on this challenging problem, our dataset and codes are released to the public.


翻译:B型Aortic Disect(TABD)是最重要的心血管事件之一,其特点是每年发病率和疾病预测的严重程度不断增加。目前,计算成的XMAD(CTA)图像成像(CTA)已广泛用于TBAD的诊断和预测。对于精确量化解剖特征而言,CTA中真实的润滑剂(TL)、假润滑剂(FLT)和假润滑质(FLT)的精确分解(FLT)至关重要。然而,现有的工作仅侧重于TL和FLT,而没有考虑FLT。在本文件中,我们提出了“图像TBAD(CTA)”(CTA),第一个计算成像像像(CTAD)的成像(CTTA) 3D(C) 成像(CTTA) 的成像数据集(CTLD) 准确度(CTAD) 准确度(CLTA值与现有成像数据集相比是相当的。FLTTA的大小。FLT(F) 分解解剖面图(FL) 的精度(C) 解解解解解解解解) 和数据(TFLD) 解解解解解) 显示现有数据(TFLD) 的模型(TFAD) 数据(O) 解算法(OD) 的大规模) 的精确度(V) 的大小。我们(TFAFL) 解算法(V) 解算法(TFL) 解算法(O) 解算法(L) 解算法(O) 的精确) 解算法(V) ) 的比。我们的数据(L) 的精确性分析(L) ) 解法(L) 解法(L) 解算法(L) 解解算法(VDFADFDFADFL) 的大小(L) ) 解算法(TFAFA) 解(L) 解) 解算法(L) 和(L) 和(OD) 解算法(L) 解算法(L

0
下载
关闭预览

相关内容

数据集,又称为资料集、数据集合或资料集合,是一种由数据所组成的集合。
Data set(或dataset)是一个数据的集合,通常以表格形式出现。每一列代表一个特定变量。每一行都对应于某一成员的数据集的问题。它列出的价值观为每一个变量,如身高和体重的一个物体或价值的随机数。每个数值被称为数据资料。对应于行数,该数据集的数据可能包括一个或多个成员。
3D目标检测进展综述
专知会员服务
193+阅读 · 2020年4月24日
鲁棒机器学习相关文献集
专知
8+阅读 · 2019年8月18日
逆强化学习-学习人先验的动机
CreateAMind
16+阅读 · 2019年1月18日
Unsupervised Learning via Meta-Learning
CreateAMind
43+阅读 · 2019年1月3日
Disentangled的假设的探讨
CreateAMind
9+阅读 · 2018年12月10日
Hierarchical Disentangled Representations
CreateAMind
4+阅读 · 2018年4月15日
ResNet, AlexNet, VGG, Inception:各种卷积网络架构的理解
全球人工智能
20+阅读 · 2017年12月17日
【推荐】ResNet, AlexNet, VGG, Inception:各种卷积网络架构的理解
机器学习研究会
20+阅读 · 2017年12月17日
【推荐】图像分类必读开创性论文汇总
机器学习研究会
14+阅读 · 2017年8月15日
Deep Co-Training for Semi-Supervised Image Segmentation
S4Net: Single Stage Salient-Instance Segmentation
Arxiv
10+阅读 · 2019年4月10日
Augmentation for small object detection
Arxiv
13+阅读 · 2019年2月19日
VIP会员
相关VIP内容
3D目标检测进展综述
专知会员服务
193+阅读 · 2020年4月24日
相关资讯
Top
微信扫码咨询专知VIP会员