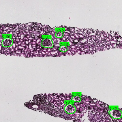
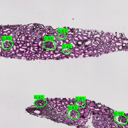
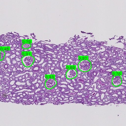
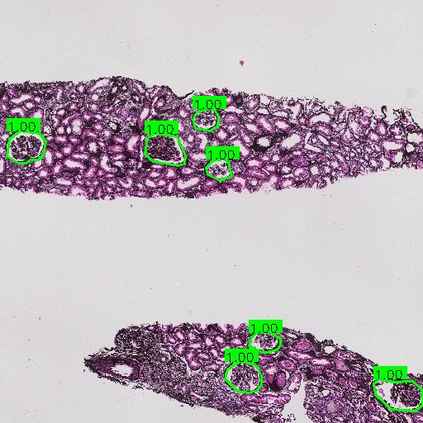
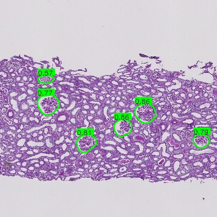
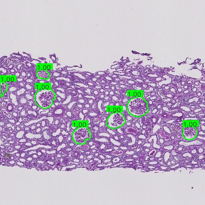
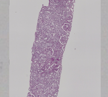
Circle representation has recently been introduced as a medical imaging optimized representation for more effective instance object detection on ball-shaped medical objects. With its superior performance on instance detection, it is appealing to extend the circle representation to instance medical object segmentation. In this work, we propose CircleSnake, a simple end-to-end circle contour deformation-based segmentation method for ball-shaped medical objects. Compared to the prevalent DeepSnake method, our contribution is three-fold: (1) We replace the complicated bounding box to octagon contour transformation with a computation-free and consistent bounding circle to circle contour adaption for segmenting ball-shaped medical objects; (2) Circle representation has fewer degrees of freedom (DoF=2) as compared with the octagon representation (DoF=8), thus yielding a more robust segmentation performance and better rotation consistency; (3) To the best of our knowledge, the proposed CircleSnake method is the first end-to-end circle representation deep segmentation pipeline method with consistent circle detection, circle contour proposal, and circular convolution. The key innovation is to integrate the circular graph convolution with circle detection into an end-to-end instance segmentation framework, enabled by the proposed simple and consistent circle contour representation. Glomeruli are used to evaluate the performance of the benchmarks. From the results, CircleSnake increases the average precision of glomerular detection from 0.559 to 0.614. The Dice score increased from 0.804 to 0.849. The code has been released: https://github.com/hrlblab/CircleSnake


翻译:最近引入了圆形图解, 作为一种医学成像优化的表示方式, 以便在球形医疗物体上进行更有效的试样物体检测。 由于在试测上的性能优异, 它呼吁将圆形图解扩展至医学物体的分解。 在此工作中, 我们提议对球形医疗物体采用简单端到端的圆形矩形分解法CircalSnake。 与流行的DeepSnake方法相比, 我们的贡献是三重:(1) 我们用一个无计算和一致的捆绑圈, 将八角锥形物体转换为圆形轮廓色调适; (2) 圆形图解析(DoF=2)比八角图解析(DoF=8)少自由度(DoF=8), 从而产生更稳健的分解性表现和更好的交替性分解方法。 根据我们所知, 拟议的环形图解方法是第一个端到端的分解途径, 循环检测、 圆形组合建议和圆形图案卷部分的分解, 将圆形图解与圆形图解与循环的分解与循环的分解与循环的分解分解分解分解分解分解分解分解分解分解分解分解分解分解分解分解分解分解分解(Do为分解(DoF=), 度比, 度比, 使用一个分解结果的分解结果的分解结果的分解结果的分解结果的分解法, 度比法的分解法的分算法的分解法的分算法,,, 度比, 的分算法的分算法 以比 以比 以比法的分算法的分算法的分算法的分算法的分算法比为分算法的分算法, 的分算法的分算法的分算法的分算法的分算法的分算法的分算法的分算法的分算法的分算法的分算法的分算法, 的分算法的分算法的分算法的分算法的分算法的分算法的分算法的分算法的分算法的分算法

0
下载
关闭预览

相关内容

100+篇《自监督学习(Self-Supervised Learning)》论文最新合集
专知会员服务
167+阅读 · 2020年3月18日
专知会员服务
110+阅读 · 2020年3月12日
Keras François Chollet 《Deep Learning with Python 》, 386页pdf
专知会员服务
163+阅读 · 2019年10月12日
[综述]深度学习下的场景文本检测与识别
专知会员服务
78+阅读 · 2019年10月10日
【ICIG2021】Latest News & Announcements of the Tutorial
中国图象图形学学会CSIG
3+阅读 · 2021年12月20日
【ICIG2021】Latest News & Announcements of the Plenary Talk2
中国图象图形学学会CSIG
0+阅读 · 2021年11月2日
Multi-Task Learning的几篇综述文章
深度学习自然语言处理
15+阅读 · 2020年6月15日
Hierarchically Structured Meta-learning
CreateAMind
27+阅读 · 2019年5月22日
【推荐】深度学习目标检测全面综述
机器学习研究会
21+阅读 · 2017年9月13日
【推荐】深度学习目标检测概览
机器学习研究会
10+阅读 · 2017年9月1日
国家自然科学基金
0+阅读 · 2013年12月31日
国家自然科学基金
0+阅读 · 2012年12月31日
国家自然科学基金
0+阅读 · 2012年12月31日
国家自然科学基金
0+阅读 · 2011年12月31日
国家自然科学基金
9+阅读 · 2011年12月31日
国家自然科学基金
0+阅读 · 2011年12月31日
国家自然科学基金
0+阅读 · 2011年12月31日
国家自然科学基金
0+阅读 · 2011年12月31日
国家自然科学基金
0+阅读 · 2009年12月31日
Arxiv
38+阅读 · 2020年12月2日
VIP会员
相关基金
国家自然科学基金
0+阅读 · 2013年12月31日
国家自然科学基金
0+阅读 · 2012年12月31日
国家自然科学基金
0+阅读 · 2012年12月31日
国家自然科学基金
0+阅读 · 2011年12月31日
国家自然科学基金
9+阅读 · 2011年12月31日
国家自然科学基金
0+阅读 · 2011年12月31日
国家自然科学基金
0+阅读 · 2011年12月31日
国家自然科学基金
0+阅读 · 2011年12月31日
国家自然科学基金
0+阅读 · 2009年12月31日
Top
微信扫码咨询专知VIP会员