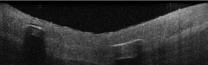
Coronary artery disease (CAD) is a cardiovascular condition with high morbidity and mortality. Intravascular optical coherence tomography (IVOCT) has been considered as an optimal imagining system for the diagnosis and treatment of CAD. Constrained by Nyquist theorem, dense sampling in IVOCT attains high resolving power to delineate cellular structures/ features. There is a trade-off between high spatial resolution and fast scanning rate for coronary imaging. In this paper, we propose a viable spectral-spatial acquisition method that down-scales the sampling process in both spectral and spatial domain while maintaining high quality in image reconstruction. The down-scaling schedule boosts data acquisition speed without any hardware modifications. Additionally, we propose a unified multi-scale reconstruction framework, namely Multiscale- Spectral-Spatial-Magnification Network (MSSMN), to resolve highly down-scaled (compressed) OCT images with flexible magnification factors. We incorporate the proposed methods into Spectral Domain OCT (SD-OCT) imaging of human coronary samples with clinical features such as stent and calcified lesions. Our experimental results demonstrate that spectral-spatial downscaled data can be better reconstructed than data that is downscaled solely in either spectral or spatial domain. Moreover, we observe better reconstruction performance using MSSMN than using existing reconstruction methods. Our acquisition method and multi-scale reconstruction framework, in combination, may allow faster SD-OCT inspection with high resolution during coronary intervention.


翻译:心血管动脉疾病(CAD)是一种高发病率和高死亡率的心血管疾病。内爆光学一致性摄影(IVOCT)被认为是诊断和治疗CAD的最佳想象系统。在Nyquist理论的束缚下,IVOCT的密集采样在细胞结构/特征的划定上具有很高的确定力。高空间分辨率与冠状成像快速扫描率之间存在着一种权衡关系。在本文中,我们提出了一种可行的光谱空间空间获取方法,在图像重建中,将光谱和空间域取样进程降尺度,同时保持高质量。降尺度的光谱光谱和空间域内取样系统(IVOCT)被认为是诊断和治疗CADAD的最佳想象系统(IVOCT),在不作任何硬件修改的情况下,降低数据采集速度。此外,我们提出了一个统一的多尺度重建框架,即多尺度光谱-光谱-光谱-成像网网络(MSMMN)的高度缩放(压缩)图像和灵活的放大放大因素。我们提出的方法可以纳入Speect DCT(SD-OCT)下层样本样本样本的摄像组成,在实验领域重建中,而仅使用更精确的模型的重建数据,可以使用更精确的恢复数据,而不能进行更精确的恢复数据,在进行更精确的恢复,在进行更精确的重新显示,在进行。

0
下载
关闭预览

相关内容

神经常微分方程教程,50页ppt,A brief tutorial on Neural ODEs
专知会员服务
74+阅读 · 2020年8月2日
因果图,Causal Graphs,52页ppt
专知会员服务
253+阅读 · 2020年4月19日
100+篇《自监督学习(Self-Supervised Learning)》论文最新合集
专知会员服务
167+阅读 · 2020年3月18日
机器学习入门的经验与建议
专知会员服务
94+阅读 · 2019年10月10日
VCIP 2022 Call for Special Session Proposals
CCF多媒体专委会
1+阅读 · 2022年4月1日
ACM MM 2022 Call for Papers
CCF多媒体专委会
5+阅读 · 2022年3月29日
AIART 2022 Call for Papers
CCF多媒体专委会
1+阅读 · 2022年2月13日
【ICIG2021】Check out the hot new trailer of ICIG2021 Symposium4
中国图象图形学学会CSIG
0+阅读 · 2021年11月10日
Multi-Task Learning的几篇综述文章
深度学习自然语言处理
15+阅读 · 2020年6月15日
Hierarchically Structured Meta-learning
CreateAMind
27+阅读 · 2019年5月22日
Unsupervised Learning via Meta-Learning
CreateAMind
43+阅读 · 2019年1月3日
A Technical Overview of AI & ML in 2018 & Trends for 2019
待字闺中
18+阅读 · 2018年12月24日
disentangled-representation-papers
CreateAMind
26+阅读 · 2018年9月12日
国家自然科学基金
1+阅读 · 2017年12月31日
国家自然科学基金
2+阅读 · 2015年12月31日
国家自然科学基金
1+阅读 · 2012年12月31日
国家自然科学基金
0+阅读 · 2012年12月31日
国家自然科学基金
0+阅读 · 2012年12月31日
国家自然科学基金
0+阅读 · 2012年12月31日
国家自然科学基金
1+阅读 · 2011年12月31日
国家自然科学基金
0+阅读 · 2011年12月31日
国家自然科学基金
0+阅读 · 2011年12月31日
国家自然科学基金
0+阅读 · 2009年12月31日
Arxiv
0+阅读 · 2022年6月7日
Arxiv
10+阅读 · 2017年7月4日
VIP会员
相关资讯
VCIP 2022 Call for Special Session Proposals
CCF多媒体专委会
1+阅读 · 2022年4月1日
ACM MM 2022 Call for Papers
CCF多媒体专委会
5+阅读 · 2022年3月29日
AIART 2022 Call for Papers
CCF多媒体专委会
1+阅读 · 2022年2月13日
【ICIG2021】Check out the hot new trailer of ICIG2021 Symposium4
中国图象图形学学会CSIG
0+阅读 · 2021年11月10日
Multi-Task Learning的几篇综述文章
深度学习自然语言处理
15+阅读 · 2020年6月15日
Hierarchically Structured Meta-learning
CreateAMind
27+阅读 · 2019年5月22日
Unsupervised Learning via Meta-Learning
CreateAMind
43+阅读 · 2019年1月3日
A Technical Overview of AI & ML in 2018 & Trends for 2019
待字闺中
18+阅读 · 2018年12月24日
disentangled-representation-papers
CreateAMind
26+阅读 · 2018年9月12日
相关基金
国家自然科学基金
1+阅读 · 2017年12月31日
国家自然科学基金
2+阅读 · 2015年12月31日
国家自然科学基金
1+阅读 · 2012年12月31日
国家自然科学基金
0+阅读 · 2012年12月31日
国家自然科学基金
0+阅读 · 2012年12月31日
国家自然科学基金
0+阅读 · 2012年12月31日
国家自然科学基金
1+阅读 · 2011年12月31日
国家自然科学基金
0+阅读 · 2011年12月31日
国家自然科学基金
0+阅读 · 2011年12月31日
国家自然科学基金
0+阅读 · 2009年12月31日
Top
微信扫码咨询专知VIP会员