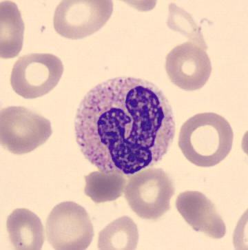
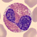
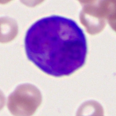
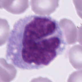
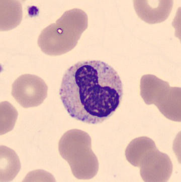
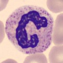
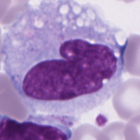
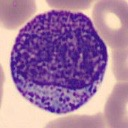
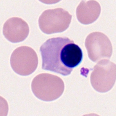
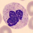
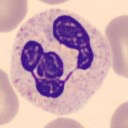
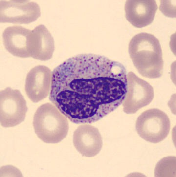
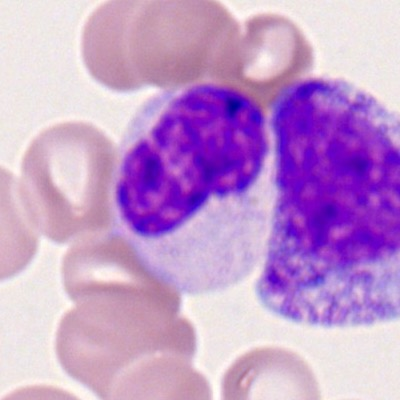
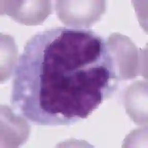
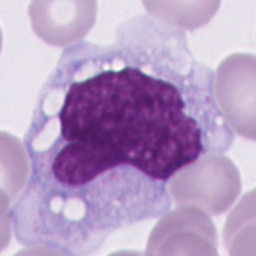
Diagnosing hematological malignancies requires identification and classification of white blood cells in peripheral blood smears. Domain shifts caused by different lab procedures, staining, illumination, and microscope settings hamper the re-usability of recently developed machine learning methods on data collected from different sites. Here, we propose a cross-domain adapted autoencoder to extract features in an unsupervised manner on three different datasets of single white blood cells scanned from peripheral blood smears. The autoencoder is based on an R-CNN architecture allowing it to focus on the relevant white blood cell and eliminate artifacts in the image. To evaluate the quality of the extracted features we use a simple random forest to classify single cells. We show that thanks to the rich features extracted by the autoencoder trained on only one of the datasets, the random forest classifier performs satisfactorily on the unseen datasets, and outperforms published oracle networks in the cross-domain task. Our results suggest the possibility of employing this unsupervised approach in more complicated diagnosis and prognosis tasks without the need to add expensive expert labels to unseen data.


翻译:血清恶性诊断要求确认和分类周边血液涂片中的白血细胞。 不同实验室程序、 污点、 光化和显微镜设置导致的域变妨碍最近开发的关于从不同地点收集的数据的机器学习方法的可重新使用性。 这里, 我们提出一个跨域经改造的自动编码器, 以不受监督的方式提取从周边血液涂片中扫描的单一白细胞的三个不同数据集的特征。 自动编码器基于一个 R- CNN 结构, 使其能够关注相关的白血细胞, 并消除图像中的文物。 为了评估提取的特征的质量, 我们使用简单的随机森林来对单个细胞进行分类。 我们表明,由于只对一个数据集进行自动编码培训的自动编码器所提取的丰富特征, 随机的森林分类器在未知的数据集上表现令人满意, 超越了跨域任务中已公布的孔径网络。 我们的结果表明, 有可能在更复杂的诊断和剖析工作中采用这种未超的处理方法, 而不需要增加昂贵的专家标签。

0
下载
关闭预览

相关内容

自动编码器是一种人工神经网络,用于以无监督的方式学习有效的数据编码。自动编码器的目的是通过训练网络忽略信号“噪声”来学习一组数据的表示(编码),通常用于降维。与简化方面一起,学习了重构方面,在此,自动编码器尝试从简化编码中生成尽可能接近其原始输入的表示形式,从而得到其名称。基本模型存在几种变体,其目的是迫使学习的输入表示形式具有有用的属性。自动编码器可有效地解决许多应用问题,从面部识别到获取单词的语义。
不可错过!《机器学习100讲》课程,UBC Mark Schmidt讲授
专知会员服务
76+阅读 · 2022年6月28日
神经常微分方程教程,50页ppt,A brief tutorial on Neural ODEs
专知会员服务
74+阅读 · 2020年8月2日
零样本文本分类,Zero-Shot Learning for Text Classification
专知会员服务
97+阅读 · 2020年5月31日
100+篇《自监督学习(Self-Supervised Learning)》论文最新合集
专知会员服务
167+阅读 · 2020年3月18日
强化学习最新教程,17页pdf
专知会员服务
182+阅读 · 2019年10月11日
机器学习入门的经验与建议
专知会员服务
94+阅读 · 2019年10月10日
IEEE ICKG 2022: Call for Papers
机器学习与推荐算法
3+阅读 · 2022年3月30日
ACM MM 2022 Call for Papers
CCF多媒体专委会
5+阅读 · 2022年3月29日
IEEE TII Call For Papers
CCF多媒体专委会
3+阅读 · 2022年3月24日
AIART 2022 Call for Papers
CCF多媒体专委会
1+阅读 · 2022年2月13日
Hierarchically Structured Meta-learning
CreateAMind
27+阅读 · 2019年5月22日
Transferring Knowledge across Learning Processes
CreateAMind
29+阅读 · 2019年5月18日
Unsupervised Learning via Meta-Learning
CreateAMind
43+阅读 · 2019年1月3日
国家自然科学基金
2+阅读 · 2015年12月31日
国家自然科学基金
0+阅读 · 2014年12月31日
国家自然科学基金
0+阅读 · 2014年12月31日
国家自然科学基金
3+阅读 · 2013年12月31日
国家自然科学基金
0+阅读 · 2011年12月31日
国家自然科学基金
0+阅读 · 2011年12月31日
国家自然科学基金
0+阅读 · 2008年12月31日
国家自然科学基金
0+阅读 · 2008年12月31日
Arxiv
0+阅读 · 2022年8月23日
Arxiv
0+阅读 · 2022年8月23日
Arxiv
0+阅读 · 2022年8月19日
Arxiv
11+阅读 · 2018年10月17日
VIP会员
相关资讯
相关基金
国家自然科学基金
2+阅读 · 2015年12月31日
国家自然科学基金
0+阅读 · 2014年12月31日
国家自然科学基金
0+阅读 · 2014年12月31日
国家自然科学基金
3+阅读 · 2013年12月31日
国家自然科学基金
0+阅读 · 2011年12月31日
国家自然科学基金
0+阅读 · 2011年12月31日
国家自然科学基金
0+阅读 · 2008年12月31日
国家自然科学基金
0+阅读 · 2008年12月31日
Top
微信扫码咨询专知VIP会员