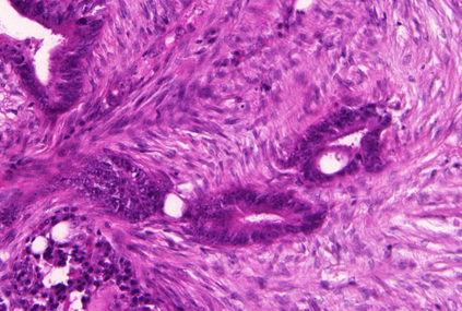
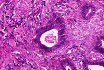
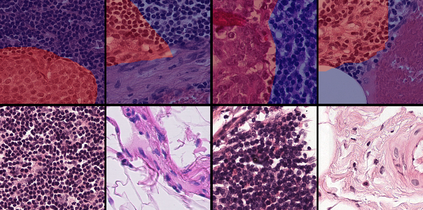
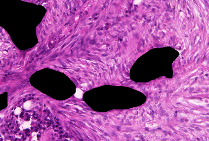
Weakly-supervised learning (WSL) has recently triggered substantial interest as it mitigates the lack of pixel-wise annotations. Given global image labels, WSL methods yield pixel-level predictions (segmentations), which enable to interpret class predictions. Despite their recent success, mostly with natural images, such methods can face important challenges when the foreground and background regions have similar visual cues, yielding high false-positive rates in segmentations, as is the case in challenging histology images. WSL training is commonly driven by standard classification losses, which implicitly maximize model confidence, and locate the discriminative regions linked to classification decisions. Therefore, they lack mechanisms for modeling explicitly non-discriminative regions and reducing false-positive rates. We propose novel regularization terms, which enable the model to seek both non-discriminative and discriminative regions, while discouraging unbalanced segmentations. We introduce high uncertainty as a criterion to localize non-discriminative regions that do not affect classifier decision, and describe it with original Kullback-Leibler (KL) divergence losses evaluating the deviation of posterior predictions from the uniform distribution. Our KL terms encourage high uncertainty of the model when the latter inputs the latent non-discriminative regions. Our loss integrates: (i) a cross-entropy seeking a foreground, where model confidence about class prediction is high; (ii) a KL regularizer seeking a background, where model uncertainty is high; and (iii) log-barrier terms discouraging unbalanced segmentations. Comprehensive experiments and ablation studies over the public GlaS colon cancer data and a Camelyon16 patch-based benchmark for breast cancer show substantial improvements over state-of-the-art WSL methods, and confirm the effect of our new regularizers.


翻译:微弱监督的学习( WSSL ) 最近引发了巨大的兴趣, 因为它缓解了像素分解说明的缺乏。 鉴于全球图像标签, WSL 方法产生了像素级预测( 分化), 能够解释类预测。 尽管这些方法最近取得了成功, 大多使用自然图像, 但是当前方和背景区域有相似的视觉提示, 导致偏差率高, 导致偏差率高。 WSL 培训通常受到标准分类损失的驱动, 这些损失隐含着最大限度地增强模型信心, 以及定位与分类决定相关的歧视区域。 因此, WSLSL 方法缺乏构建清晰的像素级预测( 分化), 并减少错误率率。 我们提出了新的身份规范术语, 使模型能够寻求非偏差性和偏差性区域, 同时抑制偏差的偏差分。 我们引入了一个标准, 不至偏差的数值区域( 不至偏差的正反正值 ), 并用原始的KRevreal- Lei( KL) 类) 定值分析值的分解结果, 来评估我们的直线值数据在后演变差 。

0
下载
关闭预览

相关内容

ACM/IEEE第23届模型驱动工程语言和系统国际会议,是模型驱动软件和系统工程的首要会议系列,由ACM-SIGSOFT和IEEE-TCSE支持组织。自1998年以来,模型涵盖了建模的各个方面,从语言和方法到工具和应用程序。模特的参加者来自不同的背景,包括研究人员、学者、工程师和工业专业人士。MODELS 2019是一个论坛,参与者可以围绕建模和模型驱动的软件和系统交流前沿研究成果和创新实践经验。今年的版本将为建模社区提供进一步推进建模基础的机会,并在网络物理系统、嵌入式系统、社会技术系统、云计算、大数据、机器学习、安全、开源等新兴领域提出建模的创新应用以及可持续性。 官网链接:http://www.modelsconference.org/
【AAAI2021】基于组间语义挖掘的弱监督语义分割
专知会员服务
16+阅读 · 2021年1月19日
一份简单《图神经网络》教程,28页ppt
专知会员服务
127+阅读 · 2020年8月2日
【哈佛大学商学院课程Fall 2019】机器学习可解释性
专知会员服务
105+阅读 · 2019年10月9日
Transferring Knowledge across Learning Processes
CreateAMind
29+阅读 · 2019年5月18日
弱监督语义分割最新方法资源列表
专知
9+阅读 · 2019年2月26日
强化学习的Unsupervised Meta-Learning
CreateAMind
18+阅读 · 2019年1月7日
Unsupervised Learning via Meta-Learning
CreateAMind
43+阅读 · 2019年1月3日
A Technical Overview of AI & ML in 2018 & Trends for 2019
待字闺中
18+阅读 · 2018年12月24日
disentangled-representation-papers
CreateAMind
26+阅读 · 2018年9月12日
Hierarchical Disentangled Representations
CreateAMind
4+阅读 · 2018年4月15日
【论文】深度学习的数学解释
机器学习研究会
10+阅读 · 2017年12月15日
【推荐】YOLO实时目标检测(6fps)
机器学习研究会
20+阅读 · 2017年11月5日
Auto-Encoding GAN
CreateAMind
7+阅读 · 2017年8月4日
Interpretable Adversarial Training for Text
Arxiv
5+阅读 · 2019年5月30日
Interpretable Active Learning
Arxiv
3+阅读 · 2018年6月24日
VIP会员
相关VIP内容
相关资讯
Transferring Knowledge across Learning Processes
CreateAMind
29+阅读 · 2019年5月18日
弱监督语义分割最新方法资源列表
专知
9+阅读 · 2019年2月26日
强化学习的Unsupervised Meta-Learning
CreateAMind
18+阅读 · 2019年1月7日
Unsupervised Learning via Meta-Learning
CreateAMind
43+阅读 · 2019年1月3日
A Technical Overview of AI & ML in 2018 & Trends for 2019
待字闺中
18+阅读 · 2018年12月24日
disentangled-representation-papers
CreateAMind
26+阅读 · 2018年9月12日
Hierarchical Disentangled Representations
CreateAMind
4+阅读 · 2018年4月15日
【论文】深度学习的数学解释
机器学习研究会
10+阅读 · 2017年12月15日
【推荐】YOLO实时目标检测(6fps)
机器学习研究会
20+阅读 · 2017年11月5日
Auto-Encoding GAN
CreateAMind
7+阅读 · 2017年8月4日
Top
微信扫码咨询专知VIP会员