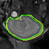
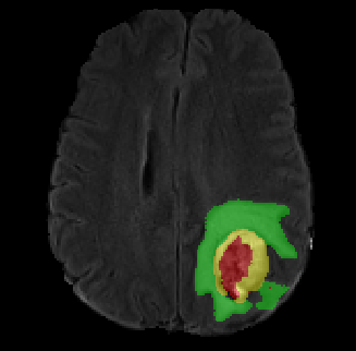
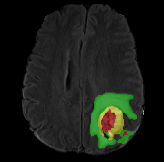
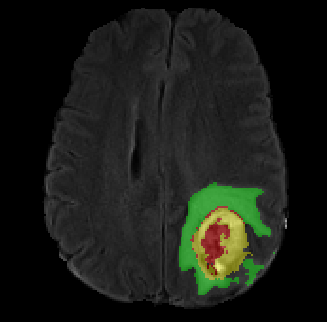
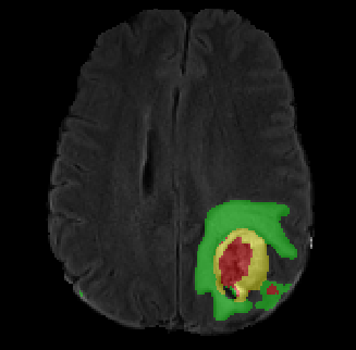
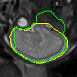
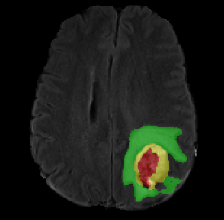
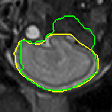
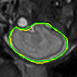
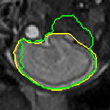
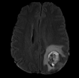
Data augmentation has been widely used for training deep learning systems for medical image segmentation and plays an important role in obtaining robust and transformation-invariant predictions. However, it has seldom been used at test time for segmentation and not been formulated in a consistent mathematical framework. In this paper, we first propose a theoretical formulation of test-time augmentation for deep learning in image recognition, where the prediction is obtained through estimating its expectation by Monte Carlo simulation with prior distributions of parameters in an image acquisition model that involves image transformations and noise. We then propose a novel uncertainty estimation method based on the formulated test-time augmentation. Experiments with segmentation of fetal brains and brain tumors from 2D and 3D Magnetic Resonance Images (MRI) showed that 1) our test-time augmentation outperforms a single-prediction baseline and dropout-based multiple predictions, and 2) it provides a better uncertainty estimation than calculating the model-based uncertainty alone and helps to reduce overconfident incorrect predictions.


翻译:数据增强被广泛用于培训医学图像分化的深层学习系统,在获得稳健和转化变异预测方面发挥重要作用,但很少在测试时用于分解,也没有在一致的数学框架内制定。在本文中,我们首先提出为在图像识别方面深层学习而进行测试-时间增强的理论性表述,通过蒙特卡洛模拟估计其预期值和图象获取模型中先前的参数分布,涉及图像转换和噪音。然后,我们根据已制定的测试-时间增强,提出新的不确定性估计方法。2D和3D磁共振图像对胎儿大脑和脑肿瘤的分解实验表明,1)我们的测试-时间增强超过单位基线和基于辍学的多重预测,2)它比仅仅计算基于模型的不确定性和帮助减少过分自信的不正确预测,提供了更好的不确定性估计。

4
下载
关闭预览

相关内容

最新BERT相关论文清单,BERT-related Papers
专知会员服务
53+阅读 · 2019年9月29日
图像/视频去噪算法资源集锦
专知
19+阅读 · 2019年12月14日
人脸相关算法、数据集、文献资源大列表
专知
16+阅读 · 2019年3月16日
TorchSeg:基于pytorch的语义分割算法开源了
极市平台
20+阅读 · 2019年1月28日
Unsupervised Learning via Meta-Learning
CreateAMind
43+阅读 · 2019年1月3日
Zero-Shot Learning相关资源大列表
专知
52+阅读 · 2019年1月1日
Hierarchical Imitation - Reinforcement Learning
CreateAMind
19+阅读 · 2018年5月25日
Auto-Encoding GAN
CreateAMind
7+阅读 · 2017年8月4日
Deep learning for cardiac image segmentation: A review
Arxiv
21+阅读 · 2019年11月9日
VIP会员
相关VIP内容
最新BERT相关论文清单,BERT-related Papers
专知会员服务
53+阅读 · 2019年9月29日
相关资讯
图像/视频去噪算法资源集锦
专知
19+阅读 · 2019年12月14日
人脸相关算法、数据集、文献资源大列表
专知
16+阅读 · 2019年3月16日
TorchSeg:基于pytorch的语义分割算法开源了
极市平台
20+阅读 · 2019年1月28日
Unsupervised Learning via Meta-Learning
CreateAMind
43+阅读 · 2019年1月3日
Zero-Shot Learning相关资源大列表
专知
52+阅读 · 2019年1月1日
Hierarchical Imitation - Reinforcement Learning
CreateAMind
19+阅读 · 2018年5月25日
Auto-Encoding GAN
CreateAMind
7+阅读 · 2017年8月4日
Top
微信扫码咨询专知VIP会员