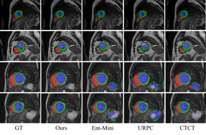
Semi-supervised medical image segmentation has attracted much attention in recent years because of the high cost of medical image annotations. In this paper, we propose a novel Inherent Consistent Learning (ICL) method, which aims to learn robust semantic category representations through the semantic consistency guidance of labeled and unlabeled data to help segmentation. In practice, we introduce two external modules namely Supervised Semantic Proxy Adaptor (SSPA) and Unsupervised Semantic Consistent Learner (USCL) that based on the attention mechanism to align the semantic category representations of labeled and unlabeled data, as well as update the global semantic representations over the entire training set. The proposed ICL is a plug-and-play scheme for various network architectures and the two modules are not involved in the testing stage. Experimental results on three public benchmarks show that the proposed method can outperform the state-of-the-art especially when the number of annotated data is extremely limited. Code is available at: https://github.com/zhuye98/ICL.git.


翻译:半监督医学图像分割近年来受到了广泛关注,因为医学图像注释的成本很高。在本文中,我们提出了一种新的基于一致性学习的方法(ICL),通过标记和未标记数据的语义一致性引导来学习强大的语义类别表示,从而帮助分割。在实践中,我们引入了两个外部模块,即监督语义代理适配器(SSPA)和无监督语义一致性学习器(USCL),这两个模块基于注意力机制来对齐标记和未标记数据的语义类别表示,以及更新整个训练集的全局语义表示。所提出的ICL是一种可插拔的方案,适用于各种网络架构,两个模块不涉及测试阶段。在三个公共基准上的实验结果表明,所提出的方法在标注数据数量极少的情况下可以超过最先进的方法。可在 https://github.com/zhuye98/ICL.git 上获取代码。

0
下载
关闭预览

相关内容

医学影像是指为了医疗或医学研究,对人体或人体某部分,以非侵入方式取得内部组织影像的技术与处理过程。它包含以下两个相对独立的研究方向:医学成像系统(medical imaging system)和医学图像处理(medical image processing)。前者是指图像行成的过程,包括对成像机理、成像设备、成像系统分析等问题的研究;后者是指对已经获得的图像作进一步的处理,其目的是或者是使原来不够清晰的图像复原,或者是为了突出图像中的某些特征信息,或者是对图像做模式分类等等。
【CVPR2022】弱监督语义分割的类重新激活图
专知会员服务
17+阅读 · 2022年3月7日
专知会员服务
43+阅读 · 2021年8月20日
【AAAI2021】基于双任务一致性的半监督医学图像分割
专知会员服务
31+阅读 · 2021年2月7日
专知会员服务
124+阅读 · 2020年9月8日
100+篇《自监督学习(Self-Supervised Learning)》论文最新合集
专知会员服务
167+阅读 · 2020年3月18日
逆强化学习-学习人先验的动机
CreateAMind
16+阅读 · 2019年1月18日
无监督元学习表示学习
CreateAMind
27+阅读 · 2019年1月4日
Unsupervised Learning via Meta-Learning
CreateAMind
43+阅读 · 2019年1月3日
A Technical Overview of AI & ML in 2018 & Trends for 2019
待字闺中
18+阅读 · 2018年12月24日
vae 相关论文 表示学习 1
CreateAMind
12+阅读 · 2018年9月6日
国家自然科学基金
1+阅读 · 2015年12月31日
国家自然科学基金
0+阅读 · 2014年12月31日
国家自然科学基金
4+阅读 · 2014年12月31日
国家自然科学基金
2+阅读 · 2013年12月31日
国家自然科学基金
1+阅读 · 2013年12月31日
国家自然科学基金
0+阅读 · 2011年12月31日
国家自然科学基金
4+阅读 · 2009年12月31日
Arxiv
14+阅读 · 2021年3月10日
VIP会员
相关VIP内容
【CVPR2022】弱监督语义分割的类重新激活图
专知会员服务
17+阅读 · 2022年3月7日
专知会员服务
43+阅读 · 2021年8月20日
【AAAI2021】基于双任务一致性的半监督医学图像分割
专知会员服务
31+阅读 · 2021年2月7日
专知会员服务
124+阅读 · 2020年9月8日
100+篇《自监督学习(Self-Supervised Learning)》论文最新合集
专知会员服务
167+阅读 · 2020年3月18日
相关基金
国家自然科学基金
1+阅读 · 2015年12月31日
国家自然科学基金
0+阅读 · 2014年12月31日
国家自然科学基金
4+阅读 · 2014年12月31日
国家自然科学基金
2+阅读 · 2013年12月31日
国家自然科学基金
1+阅读 · 2013年12月31日
国家自然科学基金
0+阅读 · 2011年12月31日
国家自然科学基金
4+阅读 · 2009年12月31日
Top
微信扫码咨询专知VIP会员