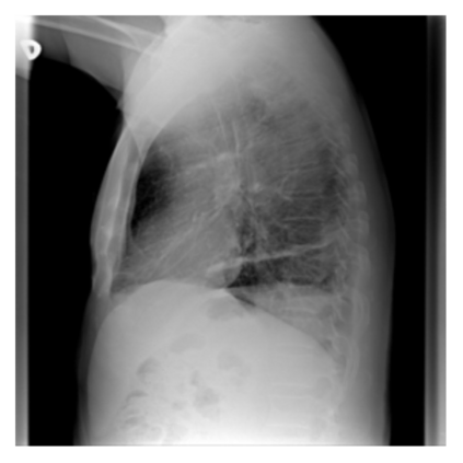
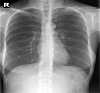
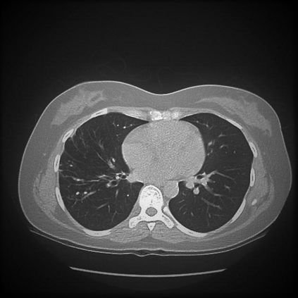
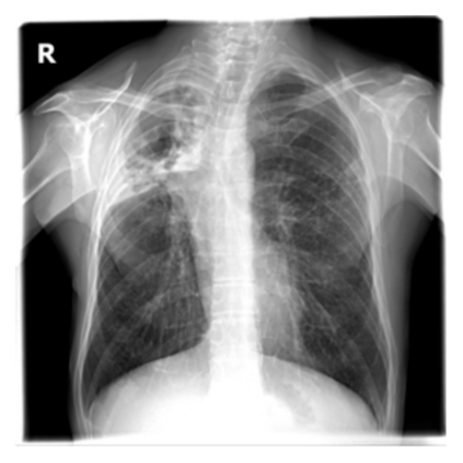
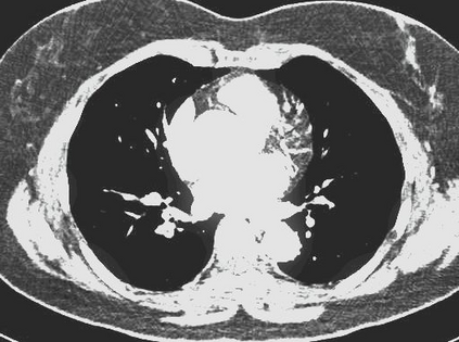
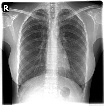
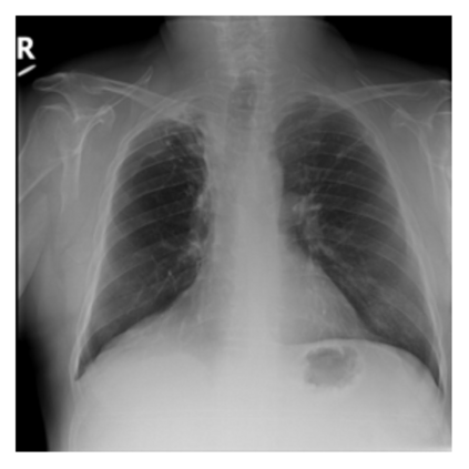
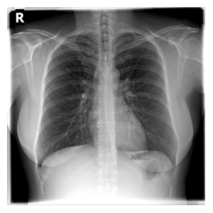
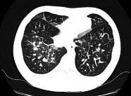
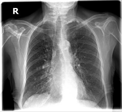
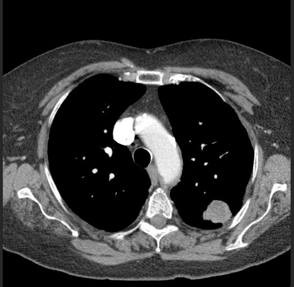
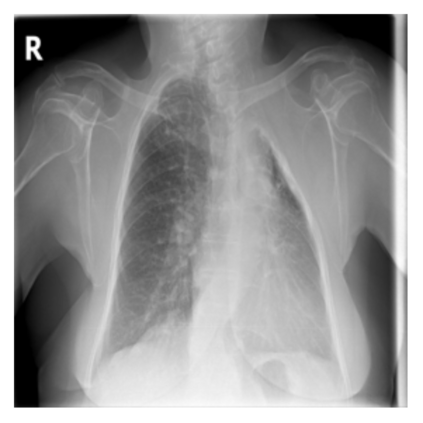
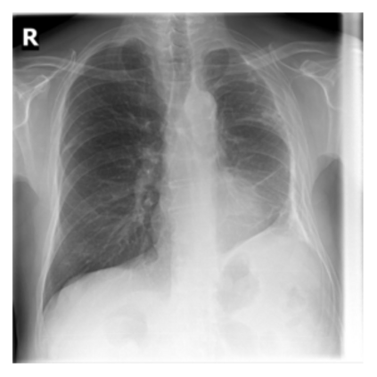
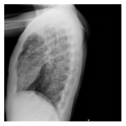
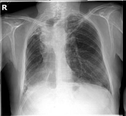
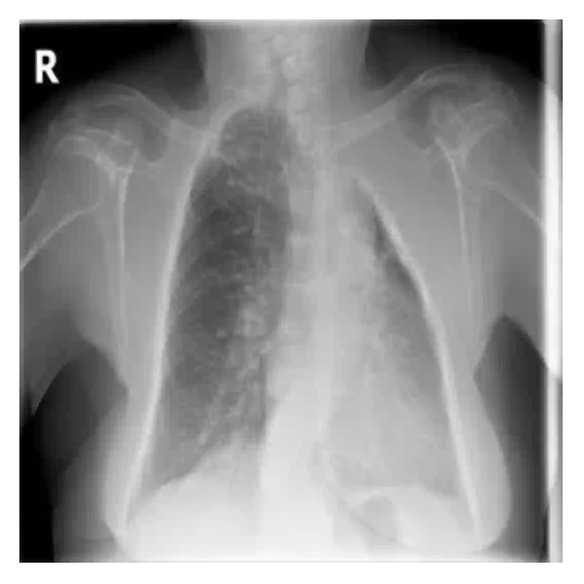
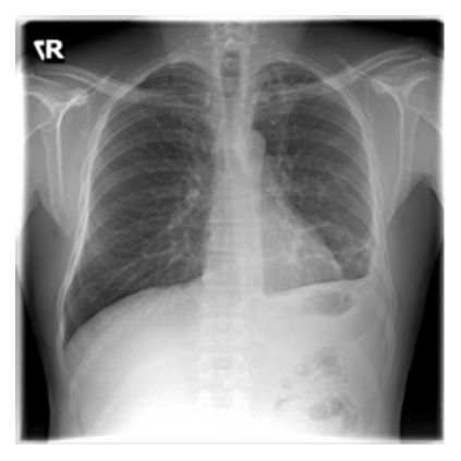
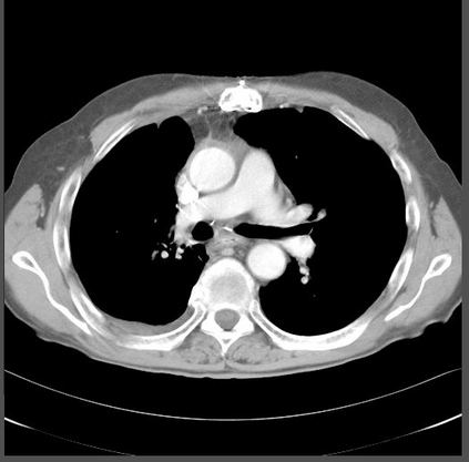
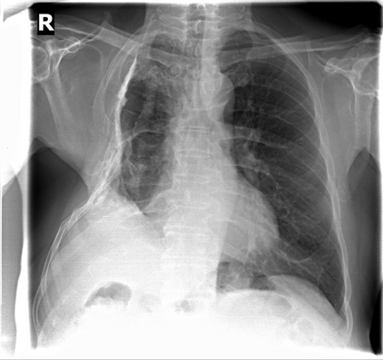
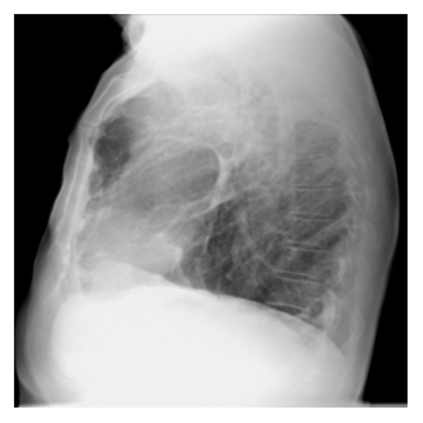
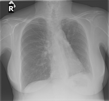
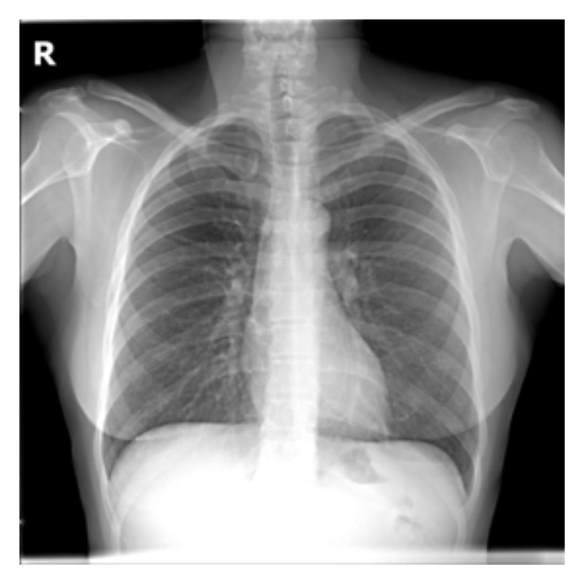
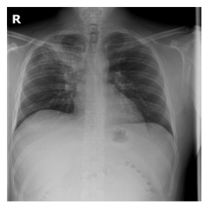
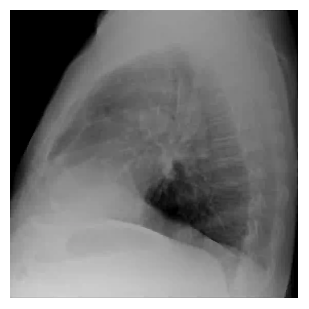
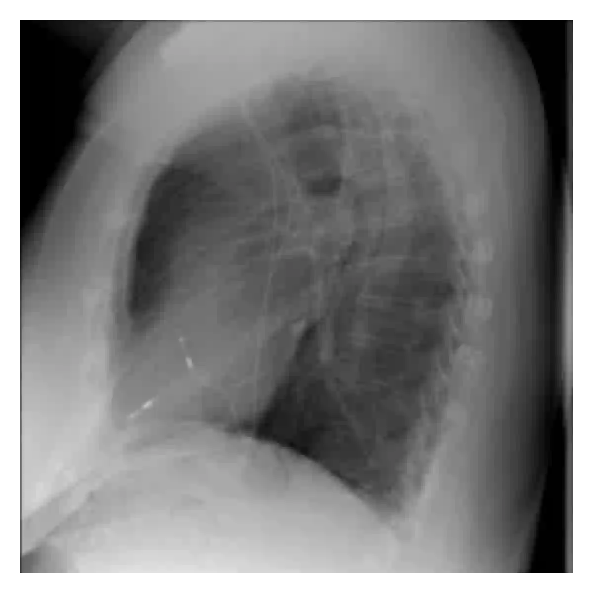
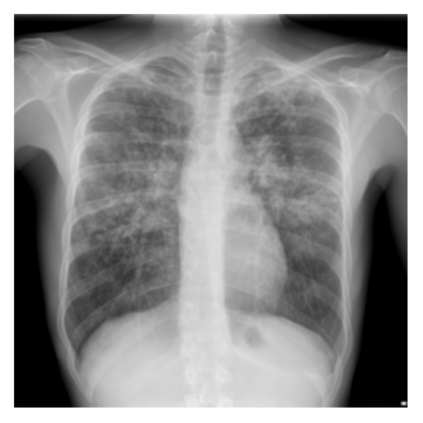
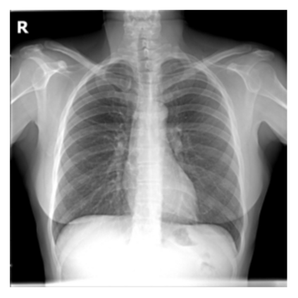
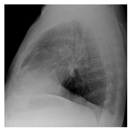
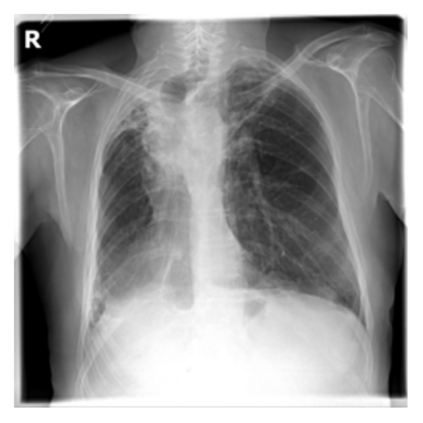
The evaluation of infectious disease processes on radiologic images is an important and challenging task in medical image analysis. Pulmonary infections can often be best imaged and evaluated through computed tomography (CT) scans, which are often not available in low-resource environments and difficult to obtain for critically ill patients. On the other hand, X-ray, a different type of imaging procedure, is inexpensive, often available at the bedside and more widely available, but offers a simpler, two dimensional image. We show that by relying on a model that learns to generate CT images from X-rays synthetically, we can improve the automatic disease classification accuracy and provide clinicians with a different look at the pulmonary disease process. Specifically, we investigate Tuberculosis (TB), a deadly bacterial infectious disease that predominantly affects the lungs, but also other organ systems. We show that relying on synthetically generated CT improves TB identification by 7.50% and distinguishes TB properties up to 12.16% better than the X-ray baseline.


翻译:放射图像中的传染病过程评估是医学图像分析中一项重要而具有挑战性的任务。 肺感染通常可以通过计算成的XX扫描进行最佳的成像和评估,这些扫描往往在资源贫乏的环境中得不到,而且病人很难获得。另一方面,X光是一种不同类型的成像程序,价格低廉,常常在床边提供,而且可以更广泛地获得,但提供一种更简单、更简单的二维图像。我们表明,通过依靠一种能够学会合成X光生成CT图像的模式,我们可以提高自动疾病分类的准确性,并向临床医生提供对肺病过程的不同看法。具体地说,我们调查结核病,这是一种致命的细菌传染病,主要影响肺部,但也影响其他器官系统。我们表明,依靠人工生成的CT,可以提高7.50%的结核病识别率,并将结核病特性区分为12.16%,比X光基线要好得多。

0
下载
关闭预览

相关内容

Processing 是一门开源编程语言和与之配套的集成开发环境(IDE)的名称。Processing 在电子艺术和视觉设计社区被用来教授编程基础,并运用于大量的新媒体和互动艺术作品中。
【干货书】机器学习速查手册,135页pdf
专知会员服务
127+阅读 · 2020年11月20日
Python图像处理,366页pdf,Image Operators Image Processing in Python
[综述]深度学习下的场景文本检测与识别
专知会员服务
78+阅读 · 2019年10月10日
GAN新书《生成式深度学习》,Generative Deep Learning,379页pdf
专知会员服务
208+阅读 · 2019年9月30日
Hierarchically Structured Meta-learning
CreateAMind
27+阅读 · 2019年5月22日
【TED】生命中的每一年的智慧
英语演讲视频每日一推
10+阅读 · 2019年1月29日
强化学习的Unsupervised Meta-Learning
CreateAMind
18+阅读 · 2019年1月7日
Unsupervised Learning via Meta-Learning
CreateAMind
43+阅读 · 2019年1月3日
Ray RLlib: Scalable 降龙十八掌
CreateAMind
9+阅读 · 2018年12月28日
计算机视觉近一年进展综述
机器学习研究会
9+阅读 · 2017年11月25日
gan生成图像at 1024² 的 代码 论文
CreateAMind
4+阅读 · 2017年10月31日
Auto-Encoding GAN
CreateAMind
7+阅读 · 2017年8月4日
SwapText: Image Based Texts Transfer in Scenes
Arxiv
4+阅读 · 2020年3月18日
Arxiv
4+阅读 · 2019年11月21日
Deep learning for cardiac image segmentation: A review
Arxiv
21+阅读 · 2019年11月9日
VIP会员
相关资讯
Hierarchically Structured Meta-learning
CreateAMind
27+阅读 · 2019年5月22日
【TED】生命中的每一年的智慧
英语演讲视频每日一推
10+阅读 · 2019年1月29日
强化学习的Unsupervised Meta-Learning
CreateAMind
18+阅读 · 2019年1月7日
Unsupervised Learning via Meta-Learning
CreateAMind
43+阅读 · 2019年1月3日
Ray RLlib: Scalable 降龙十八掌
CreateAMind
9+阅读 · 2018年12月28日
计算机视觉近一年进展综述
机器学习研究会
9+阅读 · 2017年11月25日
gan生成图像at 1024² 的 代码 论文
CreateAMind
4+阅读 · 2017年10月31日
Auto-Encoding GAN
CreateAMind
7+阅读 · 2017年8月4日
Top
微信扫码咨询专知VIP会员