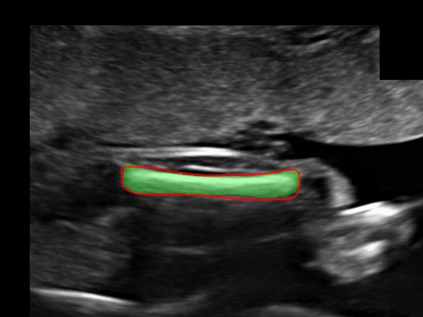
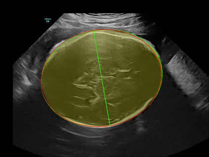
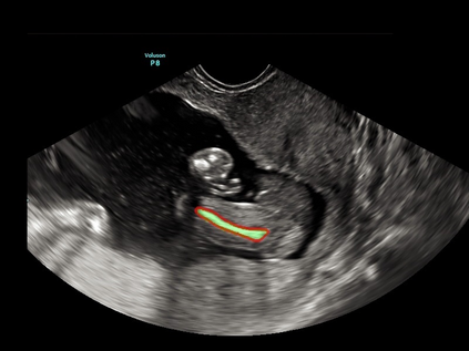
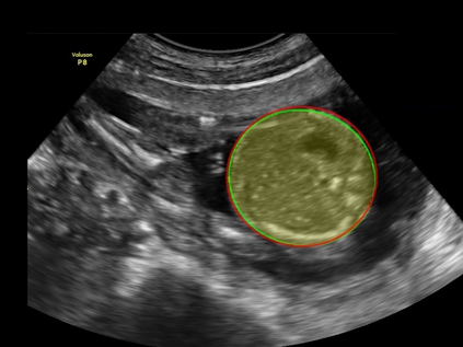
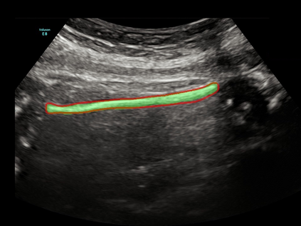
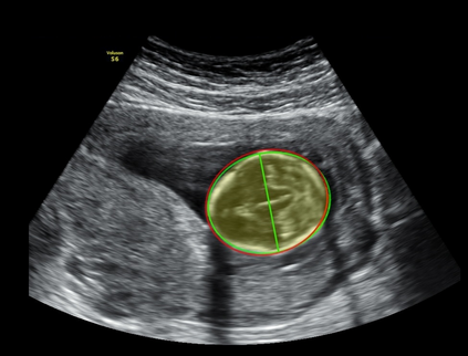
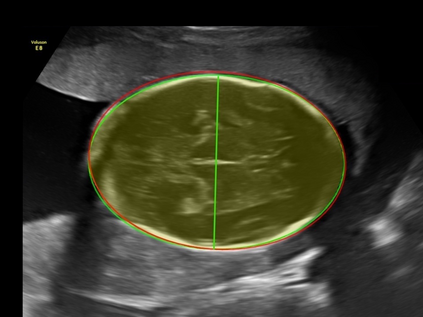
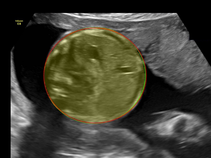
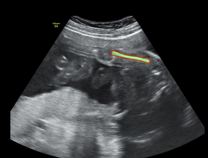
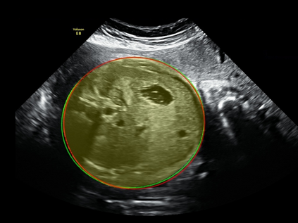
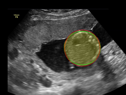
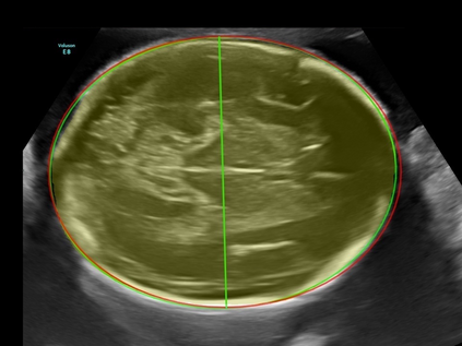
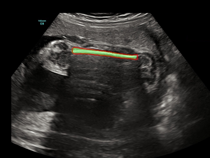
In this paper, we propose an end-to-end multi-task neural network called FetalNet with an attention mechanism and stacked module for spatio-temporal fetal ultrasound scan video analysis. Fetal biometric measurement is a standard examination during pregnancy used for the fetus growth monitoring and estimation of gestational age and fetal weight. The main goal in fetal ultrasound scan video analysis is to find proper standard planes to measure the fetal head, abdomen and femur. Due to natural high speckle noise and shadows in ultrasound data, medical expertise and sonographic experience are required to find the appropriate acquisition plane and perform accurate measurements of the fetus. In addition, existing computer-aided methods for fetal US biometric measurement address only one single image frame without considering temporal features. To address these shortcomings, we propose an end-to-end multi-task neural network for spatio-temporal ultrasound scan video analysis to simultaneously localize, classify and measure the fetal body parts. We propose a new encoder-decoder segmentation architecture that incorporates a classification branch. Additionally, we employ an attention mechanism with a stacked module to learn salient maps to suppress irrelevant US regions and efficient scan plane localization. We trained on the fetal ultrasound video comes from routine examinations of 700 different patients. Our method called FetalNet outperforms existing state-of-the-art methods in both classification and segmentation in fetal ultrasound video recordings.


翻译:在本文中,我们提议建立一个名为FetalNet的端到端多任务神经网络,配有关注机制和堆叠模块,用于腹部-时空胎儿超声波扫描视频分析;胎儿生物测定是妊娠期间用于胎儿生长监测和估计妊娠年龄和胎儿重量的标准检查;胎儿超声波扫描视频分析的主要目的是找到适当的标准机体,以测量胎儿头、腹部和腿部;由于超声波数据中自然高分辨噪音和阴影、医学专门知识和声学经验,需要找到合适的超声波超声波超声波超声波超声波超声波,并对胎儿进行准确的测量;此外,现有的美国胎儿生物测定仪的计算机辅助方法仅针对单一的图像框架,而没有考虑到时间特征;为了解决这些缺陷,我们提议一个端到端多功能超声波超声波扫描视频分析网络,以同时对胎儿身体部分进行本地化、分类和测量。我们提议在本地常规摄像头中采用新的解剖机机机断断断断断断断层结构结构结构,同时使用我们经过训练的图像解剖成型的系统,在本地的图像中学习一个不相关的系统分类。

0
下载
关闭预览

相关内容

100+篇《自监督学习(Self-Supervised Learning)》论文最新合集
专知会员服务
166+阅读 · 2020年3月18日
Keras François Chollet 《Deep Learning with Python 》, 386页pdf
专知会员服务
160+阅读 · 2019年10月12日
强化学习最新教程,17页pdf
专知会员服务
182+阅读 · 2019年10月11日
[综述]深度学习下的场景文本检测与识别
专知会员服务
78+阅读 · 2019年10月10日
VCIP 2022 Call for Demos
CCF多媒体专委会
1+阅读 · 2022年6月6日
ACM MM 2022 Call for Papers
CCF多媒体专委会
5+阅读 · 2022年3月29日
ACM TOMM Call for Papers
CCF多媒体专委会
2+阅读 · 2022年3月23日
【ICIG2021】Check out the hot new trailer of ICIG2021 Symposium9
中国图象图形学学会CSIG
0+阅读 · 2021年12月17日
【ICIG2021】Check out the hot new trailer of ICIG2021 Symposium8
中国图象图形学学会CSIG
0+阅读 · 2021年11月16日
【ICIG2021】Check out the hot new trailer of ICIG2021 Symposium3
中国图象图形学学会CSIG
0+阅读 · 2021年11月9日
Hierarchically Structured Meta-learning
CreateAMind
27+阅读 · 2019年5月22日
Transferring Knowledge across Learning Processes
CreateAMind
29+阅读 · 2019年5月18日
Unsupervised Learning via Meta-Learning
CreateAMind
43+阅读 · 2019年1月3日
vae 相关论文 表示学习 1
CreateAMind
12+阅读 · 2018年9月6日
国家自然科学基金
0+阅读 · 2015年12月31日
国家自然科学基金
0+阅读 · 2014年12月31日
国家自然科学基金
0+阅读 · 2012年12月31日
国家自然科学基金
0+阅读 · 2012年12月31日
国家自然科学基金
0+阅读 · 2012年12月31日
国家自然科学基金
1+阅读 · 2012年12月31日
国家自然科学基金
0+阅读 · 2011年12月31日
国家自然科学基金
0+阅读 · 2008年12月31日
Depth-based clustering analysis of directional data
Arxiv
0+阅读 · 2022年6月21日
Arxiv
17+阅读 · 2018年4月2日
Arxiv
19+阅读 · 2018年3月28日
VIP会员
相关资讯
VCIP 2022 Call for Demos
CCF多媒体专委会
1+阅读 · 2022年6月6日
ACM MM 2022 Call for Papers
CCF多媒体专委会
5+阅读 · 2022年3月29日
ACM TOMM Call for Papers
CCF多媒体专委会
2+阅读 · 2022年3月23日
【ICIG2021】Check out the hot new trailer of ICIG2021 Symposium9
中国图象图形学学会CSIG
0+阅读 · 2021年12月17日
【ICIG2021】Check out the hot new trailer of ICIG2021 Symposium8
中国图象图形学学会CSIG
0+阅读 · 2021年11月16日
【ICIG2021】Check out the hot new trailer of ICIG2021 Symposium3
中国图象图形学学会CSIG
0+阅读 · 2021年11月9日
Hierarchically Structured Meta-learning
CreateAMind
27+阅读 · 2019年5月22日
Transferring Knowledge across Learning Processes
CreateAMind
29+阅读 · 2019年5月18日
Unsupervised Learning via Meta-Learning
CreateAMind
43+阅读 · 2019年1月3日
vae 相关论文 表示学习 1
CreateAMind
12+阅读 · 2018年9月6日
相关基金
国家自然科学基金
0+阅读 · 2015年12月31日
国家自然科学基金
0+阅读 · 2014年12月31日
国家自然科学基金
0+阅读 · 2012年12月31日
国家自然科学基金
0+阅读 · 2012年12月31日
国家自然科学基金
0+阅读 · 2012年12月31日
国家自然科学基金
1+阅读 · 2012年12月31日
国家自然科学基金
0+阅读 · 2011年12月31日
国家自然科学基金
0+阅读 · 2008年12月31日
Top
微信扫码咨询专知VIP会员