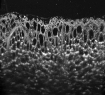
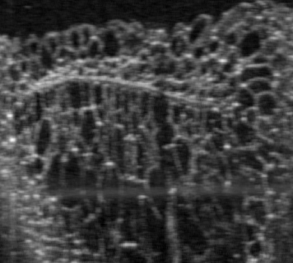
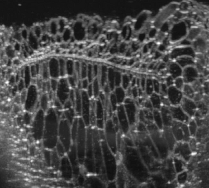
The statistical supervised learning framework assumes an input-output set with a joint probability distribution that is reliably represented by the training dataset. The learner is then required to output a prediction rule learned from the training dataset's input-output pairs. In this work, we provide meaningful insights into the asymptotic equipartition property (AEP) \citep{Shannon:1948} in the context of machine learning, and illuminate some of its potential ramifications for few-shot learning. We provide theoretical guarantees for reliable learning under the information-theoretic AEP, and for the generalization error with respect to the sample size. We then focus on a highly efficient recurrent neural net (RNN) framework and propose a reduced-entropy algorithm for few-shot learning. We also propose a mathematical intuition for the RNN as an approximation of a sparse coding solver. We verify the applicability, robustness, and computational efficiency of the proposed approach with image deblurring and optical coherence tomography (OCT) speckle suppression. Our experimental results demonstrate significant potential for improving learning models' sample efficiency, generalization, and time complexity, that can therefore be leveraged for practical real-time applications.


翻译:由统计监督的学习框架假定了一个具有共同概率分布的输入-输出数据集,其共同概率分布由培训数据集可靠地体现。 然后,学习者必须提出从培训数据集的输入-输出对配对中学习的预测规则。 在这项工作中,我们从机器学习的角度对无症状设备属性(AEP)\citep{Shannon:1948}提供了有意义的洞察力。我们核查了拟议方法的实用性、稳健性和计算效率,并用图像分解和光学一致性进行摄影(OCT)分解。我们的实验结果显示,在提高学习模型的实际效率、一般化和复杂性方面,我们具有巨大的潜力。

0
下载
关闭预览

相关内容

【2022新书】高效深度学习,Efficient Deep Learning Book
专知会员服务
126+阅读 · 2022年4月21日
开源书:PyTorch深度学习起步
专知会员服务
51+阅读 · 2019年10月11日
【哈佛大学商学院课程Fall 2019】机器学习可解释性
专知会员服务
105+阅读 · 2019年10月9日
【SIGGRAPH2019】TensorFlow 2.0深度学习计算机图形学应用
专知会员服务
41+阅读 · 2019年10月9日
【ICIG2021】Latest News & Announcements of the Workshop
中国图象图形学学会CSIG
0+阅读 · 2021年12月20日
强化学习三篇论文 避免遗忘等
CreateAMind
20+阅读 · 2019年5月24日
Hierarchically Structured Meta-learning
CreateAMind
27+阅读 · 2019年5月22日
Transferring Knowledge across Learning Processes
CreateAMind
29+阅读 · 2019年5月18日
深度自进化聚类:Deep Self-Evolution Clustering
我爱读PAMI
15+阅读 · 2019年4月13日
无监督元学习表示学习
CreateAMind
27+阅读 · 2019年1月4日
Unsupervised Learning via Meta-Learning
CreateAMind
43+阅读 · 2019年1月3日
【论文】变分推断(Variational inference)的总结
机器学习研究会
39+阅读 · 2017年11月16日
资源|斯坦福课程:深度学习理论!
全球人工智能
17+阅读 · 2017年11月9日
【推荐】RNN/LSTM时序预测
机器学习研究会
25+阅读 · 2017年9月8日
国家自然科学基金
0+阅读 · 2016年12月31日
国家自然科学基金
0+阅读 · 2014年12月31日
国家自然科学基金
0+阅读 · 2013年12月31日
国家自然科学基金
0+阅读 · 2012年12月31日
国家自然科学基金
1+阅读 · 2012年12月31日
国家自然科学基金
0+阅读 · 2012年12月31日
国家自然科学基金
0+阅读 · 2011年12月31日
国家自然科学基金
0+阅读 · 2009年12月31日
Memory-Gated Recurrent Networks
Arxiv
12+阅读 · 2020年12月24日
Few-shot Learning: A Survey
Arxiv
363+阅读 · 2019年4月10日
Arxiv
19+阅读 · 2018年3月28日
VIP会员
相关资讯
【ICIG2021】Latest News & Announcements of the Workshop
中国图象图形学学会CSIG
0+阅读 · 2021年12月20日
强化学习三篇论文 避免遗忘等
CreateAMind
20+阅读 · 2019年5月24日
Hierarchically Structured Meta-learning
CreateAMind
27+阅读 · 2019年5月22日
Transferring Knowledge across Learning Processes
CreateAMind
29+阅读 · 2019年5月18日
深度自进化聚类:Deep Self-Evolution Clustering
我爱读PAMI
15+阅读 · 2019年4月13日
无监督元学习表示学习
CreateAMind
27+阅读 · 2019年1月4日
Unsupervised Learning via Meta-Learning
CreateAMind
43+阅读 · 2019年1月3日
【论文】变分推断(Variational inference)的总结
机器学习研究会
39+阅读 · 2017年11月16日
资源|斯坦福课程:深度学习理论!
全球人工智能
17+阅读 · 2017年11月9日
【推荐】RNN/LSTM时序预测
机器学习研究会
25+阅读 · 2017年9月8日
相关基金
国家自然科学基金
0+阅读 · 2016年12月31日
国家自然科学基金
0+阅读 · 2014年12月31日
国家自然科学基金
0+阅读 · 2013年12月31日
国家自然科学基金
0+阅读 · 2012年12月31日
国家自然科学基金
1+阅读 · 2012年12月31日
国家自然科学基金
0+阅读 · 2012年12月31日
国家自然科学基金
0+阅读 · 2011年12月31日
国家自然科学基金
0+阅读 · 2009年12月31日
Top
微信扫码咨询专知VIP会员