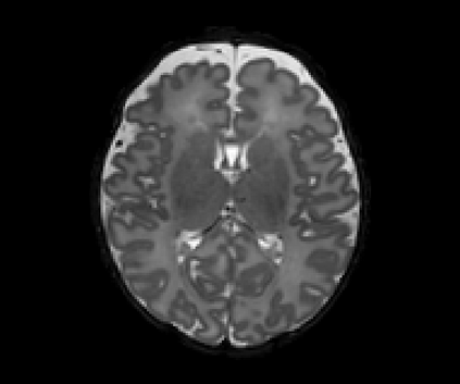
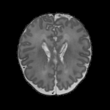
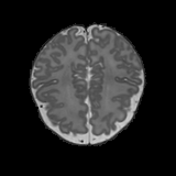
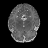
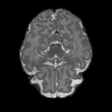
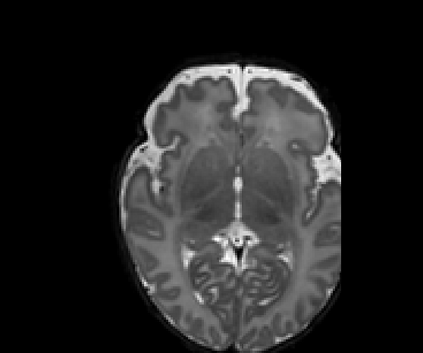
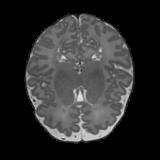
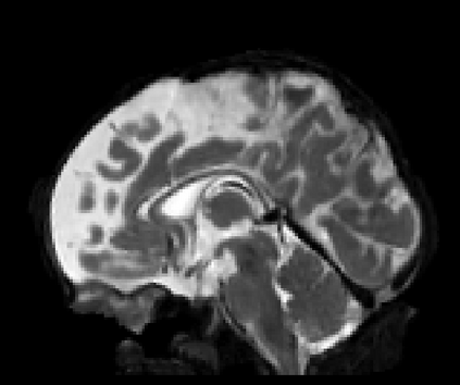
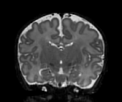
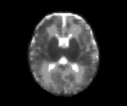
Real-world settings often do not allow acquisition of high-resolution volumetric images for accurate morphological assessment and diagnostic. In clinical practice it is frequently common to acquire only sparse data (e.g. individual slices) for initial diagnostic decision making. Thereby, physicians rely on their prior knowledge (or mental maps) of the human anatomy to extrapolate the underlying 3D information. Accurate mental maps require years of anatomy training, which in the first instance relies on normative learning, i.e. excluding pathology. In this paper, we leverage Bayesian Deep Learning and environment mapping to generate full volumetric anatomy representations from none to a small, sparse set of slices. We evaluate proof of concept implementations based on Generative Query Networks (GQN) and Conditional BRUNO using abdominal CT and brain MRI as well as in a clinical application involving sparse, motion-corrupted MR acquisition for fetal imaging. Our approach allows to reconstruct 3D volumes from 1 to 4 tomographic slices, with a SSIM of 0.7+ and cross-correlation of 0.8+ compared to the 3D ground truth.


翻译:现实世界环境往往不允许获取高分辨率的体积成像,以进行准确的形态评估和诊断;在临床实践中,通常常见的做法是只获得稀少的数据(如个别切片),以进行初步诊断决策;因此,医生依靠其人类解剖学的先前知识(或精神图)来推断基本的3D信息;准确的精神图需要多年的解剖培训,而这种培训首先依靠的是规范学习,即排除病理学;在本文中,我们利用贝耶斯深深层和环境绘图,从零到小、稀少的切片,产生完整的体积解剖面表(如个别切片);我们评估概念实施的证据,其基础是基因质断网(GQN)和致感性BRUNO,使用腹膜CT和大脑MRI,以及临床应用,包括稀疏、运动-腐蚀MRM,用于胎儿成像。我们的方法允许将3D卷从1到4个成像片,用0.7+的SISIM和0.8+的地面与3C的交叉联系。

0
下载
关闭预览

相关内容

100+篇《自监督学习(Self-Supervised Learning)》论文最新合集
专知会员服务
167+阅读 · 2020年3月18日
机器学习入门的经验与建议
专知会员服务
94+阅读 · 2019年10月10日
【哈佛大学商学院课程Fall 2019】机器学习可解释性
专知会员服务
105+阅读 · 2019年10月9日
Transferring Knowledge across Learning Processes
CreateAMind
29+阅读 · 2019年5月18日
逆强化学习-学习人先验的动机
CreateAMind
16+阅读 · 2019年1月18日
Unsupervised Learning via Meta-Learning
CreateAMind
43+阅读 · 2019年1月3日
meta learning 17年:MAML SNAIL
CreateAMind
11+阅读 · 2019年1月2日
disentangled-representation-papers
CreateAMind
26+阅读 · 2018年9月12日
vae 相关论文 表示学习 1
CreateAMind
12+阅读 · 2018年9月6日
Hierarchical Imitation - Reinforcement Learning
CreateAMind
19+阅读 · 2018年5月25日
条件GAN重大改进!cGANs with Projection Discriminator
CreateAMind
8+阅读 · 2018年2月7日
计算机视觉近一年进展综述
机器学习研究会
9+阅读 · 2017年11月25日
Auto-Encoding GAN
CreateAMind
7+阅读 · 2017年8月4日
Arxiv
8+阅读 · 2018年7月12日
Arxiv
8+阅读 · 2018年5月1日
VIP会员
相关资讯
Transferring Knowledge across Learning Processes
CreateAMind
29+阅读 · 2019年5月18日
逆强化学习-学习人先验的动机
CreateAMind
16+阅读 · 2019年1月18日
Unsupervised Learning via Meta-Learning
CreateAMind
43+阅读 · 2019年1月3日
meta learning 17年:MAML SNAIL
CreateAMind
11+阅读 · 2019年1月2日
disentangled-representation-papers
CreateAMind
26+阅读 · 2018年9月12日
vae 相关论文 表示学习 1
CreateAMind
12+阅读 · 2018年9月6日
Hierarchical Imitation - Reinforcement Learning
CreateAMind
19+阅读 · 2018年5月25日
条件GAN重大改进!cGANs with Projection Discriminator
CreateAMind
8+阅读 · 2018年2月7日
计算机视觉近一年进展综述
机器学习研究会
9+阅读 · 2017年11月25日
Auto-Encoding GAN
CreateAMind
7+阅读 · 2017年8月4日
Top
微信扫码咨询专知VIP会员