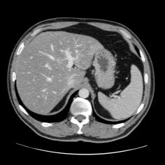
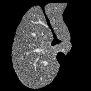
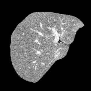
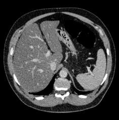
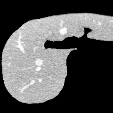
Manually segmenting the hepatic vessels from Computer Tomography (CT) is far more expertise-demanding and laborious than other structures due to the low-contrast and complex morphology of vessels, resulting in the extreme lack of high-quality labeled data. Without sufficient high-quality annotations, the usual data-driven learning-based approaches struggle with deficient training. On the other hand, directly introducing additional data with low-quality annotations may confuse the network, leading to undesirable performance degradation. To address this issue, we propose a novel mean-teacher-assisted confident learning framework to robustly exploit the noisy labeled data for the challenging hepatic vessel segmentation task. Specifically, with the adapted confident learning assisted by a third party, i.e., the weight-averaged teacher model, the noisy labels in the additional low-quality dataset can be transformed from "encumbrance" to "treasure" via progressive pixel-wise soft-correction, thus providing productive guidance. Extensive experiments using two public datasets demonstrate the superiority of the proposed framework as well as the effectiveness of each component.


翻译:将来自计算机地形学(CT)的肝脏船只人工分割,由于船只的低调和复杂形态,由于低调和复杂的形态,造成极端缺乏高质量的标签数据,因此比其他结构更需要专门知识和难度大得多。如果没有足够的高质量的说明,通常的数据驱动的基于学习的方法就会与不足的培训斗争。另一方面,直接引进低质量说明的额外数据可能会混淆网络,导致不良的性能退化。为了解决这一问题,我们提议建立一个新的、由教师协助的、有说服力的、有说服力的学习框架,为具有挑战性的肝脏船只分解任务强有力地利用响亮的标签数据。具体地说,在第三方(即加权平均教师模式)的协助下,经过变通的自信学习后,额外低质量数据集中的噪音标签可以从“阻力”转变为“压力”,通过渐进式的像素方法的软校正,从而提供富有成效的指导。使用两个公共数据集进行的广泛实验,显示了拟议框架的优越性以及每个组成部分的效能。

0
下载
关闭预览

相关内容

迁移学习简明教程,11页ppt
专知会员服务
109+阅读 · 2020年8月4日
Stabilizing Transformers for Reinforcement Learning
专知会员服务
60+阅读 · 2019年10月17日
Keras François Chollet 《Deep Learning with Python 》, 386页pdf
专知会员服务
163+阅读 · 2019年10月12日
Hierarchically Structured Meta-learning
CreateAMind
27+阅读 · 2019年5月22日
Transferring Knowledge across Learning Processes
CreateAMind
29+阅读 · 2019年5月18日
逆强化学习-学习人先验的动机
CreateAMind
16+阅读 · 2019年1月18日
强化学习的Unsupervised Meta-Learning
CreateAMind
18+阅读 · 2019年1月7日
Unsupervised Learning via Meta-Learning
CreateAMind
43+阅读 · 2019年1月3日
Hierarchical Imitation - Reinforcement Learning
CreateAMind
19+阅读 · 2018年5月25日
Hierarchical Disentangled Representations
CreateAMind
4+阅读 · 2018年4月15日
【学习】(Python)SVM数据分类
机器学习研究会
6+阅读 · 2017年10月15日
VIP会员
相关VIP内容
相关资讯
Hierarchically Structured Meta-learning
CreateAMind
27+阅读 · 2019年5月22日
Transferring Knowledge across Learning Processes
CreateAMind
29+阅读 · 2019年5月18日
逆强化学习-学习人先验的动机
CreateAMind
16+阅读 · 2019年1月18日
强化学习的Unsupervised Meta-Learning
CreateAMind
18+阅读 · 2019年1月7日
Unsupervised Learning via Meta-Learning
CreateAMind
43+阅读 · 2019年1月3日
Hierarchical Imitation - Reinforcement Learning
CreateAMind
19+阅读 · 2018年5月25日
Hierarchical Disentangled Representations
CreateAMind
4+阅读 · 2018年4月15日
【学习】(Python)SVM数据分类
机器学习研究会
6+阅读 · 2017年10月15日
Top
微信扫码咨询专知VIP会员