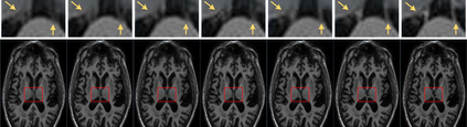
The thick-slice magnetic resonance (MR) images are often structurally blurred in coronal and sagittal views, which causes harm to diagnosis and image post-processing. Deep learning (DL) has shown great potential to re-construct the high-resolution (HR) thin-slice MR images from those low-resolution (LR) cases, which we refer to as the slice interpolation task in this work. However, since it is generally difficult to sample abundant paired LR-HR MR images, the classical fully supervised DL-based models cannot be effectively trained to get robust performance. To this end, we propose a novel Two-stage Self-supervised Cycle-consistency Network (TSCNet) for MR slice interpolation, in which a two-stage self-supervised learning (SSL) strategy is developed for unsupervised DL network training. The paired LR-HR images are synthesized along the sagittal and coronal directions of input LR images for network pretraining in the first-stage SSL, and then a cyclic in-terpolation procedure based on triplet axial slices is designed in the second-stage SSL for further refinement. More training samples with rich contexts along all directions are exploited as guidance to guarantee the improved in-terpolation performance. Moreover, a new cycle-consistency constraint is proposed to supervise this cyclic procedure, which encourages the network to reconstruct more realistic HR images. The experimental results on a real MRI dataset indicate that TSCNet achieves superior performance over the conventional and other SSL-based algorithms, and obtains competitive quali-tative and quantitative results compared with the fully supervised algorithm.


翻译:厚虱磁共振(MR)图像在冠状和表面观察中往往在结构上模糊不清,从而对诊断和图像处理后处理造成伤害。深层学习(DL)显示极有可能从低分辨率(LR)案例中重建高分辨率(HR)薄片磁共振(MR)图像,我们在此工作中将其称为切片间插任务。然而,由于通常很难抽样大量对齐的LR-HR MR图像,传统的完全监督下的DL模型无法进行有效的培训,以获得稳健的性能。为此,我们提议为MRm(TSCNet)双阶段自我监督循环一致性网络(TSCNet)提供一个新的阶段自上级自上级自上级自上级上级的图像。 双级自上级自上级学习(SSL)战略用于不受监督的DL网络培训。 配对齐的LRM图像与基于SLSL(SL)第一个阶段的编程和正时序输入方向相结合的输入LRLSL图像无法有效训练,而随后又在SLSL(SL)下级上级上级上级的高级内,而下级上级的高级内阶梯级演的SLSLV(SLV)升级的流程中,这是在SLLV(SLV)升级的更精化的高级的流程中设计,在SLV)升级的升级的流程中,这是在SLV-SLV(SL)下级演后演的升级的流程,在SLID)下级流程流程图,在SLV的流程中,在SLV(SLV(SLV)下所有的流程中,在SL)下所有的流程中,在SLV(SL)的流程中,在SL)整个的流程中,在SLV(SL)的流程中,在SLV)的流程上,在SLVD)中进行上,在SLVD-SLBA-SL)的流程中,在SL)的流程中,在SLBAD)中,在SLB-SLA-SLB-SL)下级上,在SLA-SLM(SL

0
下载
关闭预览

相关内容

磁流变(Magnetorheological,简称MR)材料是一种流变性能可由磁场控制的新型智能材料。由于其响应快(ms量级)、可逆性好(撤去磁场后,又恢复初始状态)、以及通过调节磁场大小来控制材料的力学性能连续变化,因而近年来在汽车、建筑、振动控制等领域得到广泛应用。
专知会员服务
16+阅读 · 2021年6月6日
Stabilizing Transformers for Reinforcement Learning
专知会员服务
60+阅读 · 2019年10月17日
Transferring Knowledge across Learning Processes
CreateAMind
29+阅读 · 2019年5月18日
强化学习的Unsupervised Meta-Learning
CreateAMind
18+阅读 · 2019年1月7日
Unsupervised Learning via Meta-Learning
CreateAMind
43+阅读 · 2019年1月3日
Disentangled的假设的探讨
CreateAMind
9+阅读 · 2018年12月10日
disentangled-representation-papers
CreateAMind
26+阅读 · 2018年9月12日
深度学习医学图像分析文献集
机器学习研究会
19+阅读 · 2017年10月13日
Arxiv
6+阅读 · 2021年7月26日
Arxiv
5+阅读 · 2018年1月17日
VIP会员
相关VIP内容
专知会员服务
16+阅读 · 2021年6月6日
Stabilizing Transformers for Reinforcement Learning
专知会员服务
60+阅读 · 2019年10月17日
Top
微信扫码咨询专知VIP会员