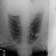
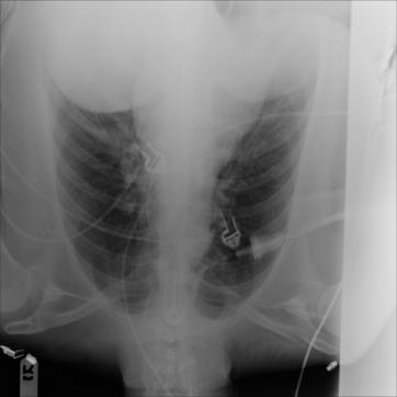
Thoracic diseases are very serious health problems that plague a large number of people. Chest X-ray is currently one of the most popular methods to diagnose thoracic diseases, playing an important role in the healthcare workflow. However, reading the chest X-ray images and giving an accurate diagnosis remain challenging tasks for expert radiologists. With the success of deep learning in computer vision, a growing number of deep neural network architectures were applied to chest X-ray image classification. However, most of the previous deep neural network classifiers were based on deterministic architectures which are usually very noise-sensitive and are likely to aggravate the overfitting issue. In this paper, to make a deep architecture more robust to noise and to reduce overfitting, we propose using deep generative classifiers to automatically diagnose thorax diseases from the chest X-ray images. Unlike the traditional deterministic classifier, a deep generative classifier has a distribution middle layer in the deep neural network. A sampling layer then draws a random sample from the distribution layer and input it to the following layer for classification. The classifier is generative because the class label is generated from samples of a related distribution. Through training the model with a certain amount of randomness, the deep generative classifiers are expected to be robust to noise and can reduce overfitting and then achieve good performances. We implemented our deep generative classifiers based on a number of well-known deterministic neural network architectures, and tested our models on the chest X-ray14 dataset. The results demonstrated the superiority of deep generative classifiers compared with the corresponding deep deterministic classifiers.


翻译:细胞疾病是困扰大量人口的非常严重的健康问题。 胸前X光是目前最流行的诊断胸腔疾病的方法之一,在保健工作流程中起着重要作用。 但是,阅读胸部X光图像和提供准确诊断对于专业放射学家来说仍然是艰巨的任务。 随着计算机视觉的深层学习,越来越多的深神经网络结构被应用于胸部X光图像分类。然而,以往的深神经网络分类大多基于确定性结构,这些结构通常对噪音敏感,并有可能加剧过度适应的问题。在本文件中,为了使深层结构对噪音更加强大和减少过度适应,我们建议使用深层基因分类来自动诊断胸部X光图像中的胸部疾病。与传统的确定性分类不同,深层神经网络的分类结构结构结构在深层神经网络中分布层中分布。 取样层的随机样本从分布层中抽取随机样本,然后将其输入到下层分类。 精深层的分类模型具有遗传特征,因为要对噪音进行更强大的结构化模型,然后通过预估的基因分析,我们通过一个预测的样本, 来进行精确的分类分析。

3
下载
关闭预览

相关内容

100+篇《自监督学习(Self-Supervised Learning)》论文最新合集
专知会员服务
167+阅读 · 2020年3月18日
专知会员服务
119+阅读 · 2019年12月24日
最新BERT相关论文清单,BERT-related Papers
专知会员服务
53+阅读 · 2019年9月29日
人工智能 | ISAIR 2019诚邀稿件(推荐SCI期刊)
Call4Papers
6+阅读 · 2019年4月1日
人工智能 | CCF推荐期刊专刊约稿信息6条
Call4Papers
5+阅读 · 2019年2月18日
强化学习的Unsupervised Meta-Learning
CreateAMind
18+阅读 · 2019年1月7日
计算机类 | ISCC 2019等国际会议信息9条
Call4Papers
5+阅读 · 2018年12月25日
A Technical Overview of AI & ML in 2018 & Trends for 2019
待字闺中
18+阅读 · 2018年12月24日
【论文】变分推断(Variational inference)的总结
机器学习研究会
39+阅读 · 2017年11月16日
gan生成图像at 1024² 的 代码 论文
CreateAMind
4+阅读 · 2017年10月31日
Adversarial Variational Bayes: Unifying VAE and GAN 代码
CreateAMind
7+阅读 · 2017年10月4日
Auto-Encoding GAN
CreateAMind
7+阅读 · 2017年8月4日
Generative Adversarial Networks: A Survey and Taxonomy
VIP会员
相关资讯
人工智能 | ISAIR 2019诚邀稿件(推荐SCI期刊)
Call4Papers
6+阅读 · 2019年4月1日
人工智能 | CCF推荐期刊专刊约稿信息6条
Call4Papers
5+阅读 · 2019年2月18日
强化学习的Unsupervised Meta-Learning
CreateAMind
18+阅读 · 2019年1月7日
计算机类 | ISCC 2019等国际会议信息9条
Call4Papers
5+阅读 · 2018年12月25日
A Technical Overview of AI & ML in 2018 & Trends for 2019
待字闺中
18+阅读 · 2018年12月24日
【论文】变分推断(Variational inference)的总结
机器学习研究会
39+阅读 · 2017年11月16日
gan生成图像at 1024² 的 代码 论文
CreateAMind
4+阅读 · 2017年10月31日
Adversarial Variational Bayes: Unifying VAE and GAN 代码
CreateAMind
7+阅读 · 2017年10月4日
Auto-Encoding GAN
CreateAMind
7+阅读 · 2017年8月4日
Top
微信扫码咨询专知VIP会员