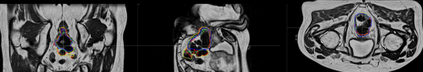
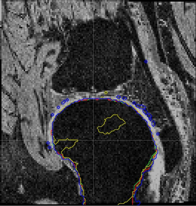
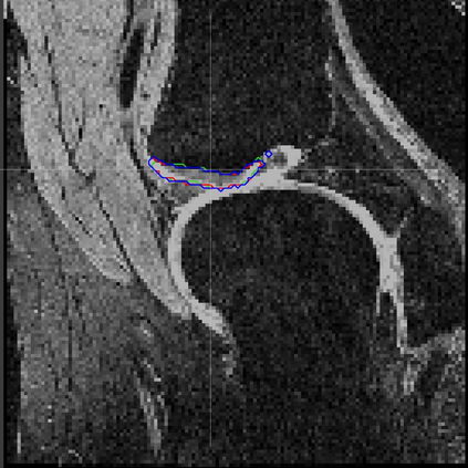
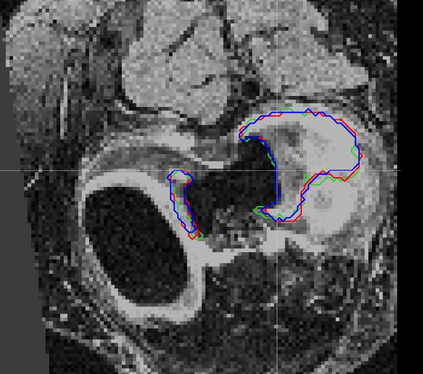
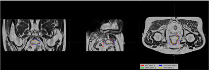
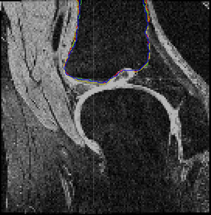
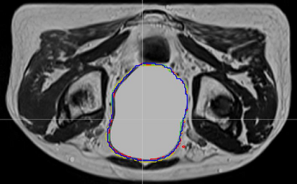
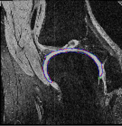
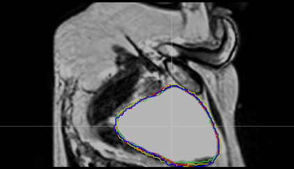
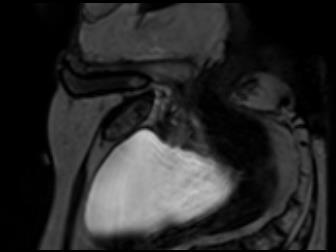
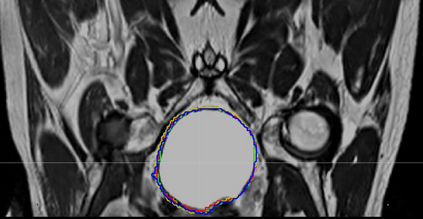
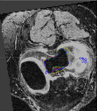
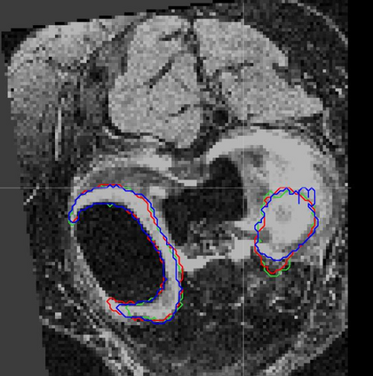
Direct automatic segmentation of objects from 3D medical imaging, such as magnetic resonance (MR) imaging, is challenging as it often involves accurately identifying a number of individual objects with complex geometries within a large volume under investigation. To address these challenges, most deep learning approaches typically enhance their learning capability by substantially increasing the complexity or the number of trainable parameters within their models. Consequently, these models generally require long inference time on standard workstations operating clinical MR systems and are restricted to high-performance computing hardware due to their large memory requirement. Further, to fit 3D dataset through these large models using limited computer memory, trade-off techniques such as patch-wise training are often used which sacrifice the fine-scale geometric information from input images which could be clinically significant for diagnostic purposes. To address these challenges, we present a compact convolutional neural network with a shallow memory footprint to efficiently reduce the number of model parameters required for state-of-art performance. This is critical for practical employment as most clinical environments only have low-end hardware with limited computing power and memory. The proposed network can maintain data integrity by directly processing large full-size 3D input volumes with no patches required and significantly reduces the computational time required for both training and inference. We also propose a novel loss function with extra shape constraint to improve the accuracy for imbalanced classes in 3D MR images.


翻译:3D医学成像的物体,如磁共振成像(MR)成像的直接自动分离,具有挑战性,因为往往需要精确地确定大量调查中大量存在复杂地理不对称的单个物体。为了应对这些挑战,大多数深层学习方法通常会大大提高其模型内可训练参数的复杂性或数量,从而提高其学习能力。因此,这些模型一般需要在运行临床MR系统的标准工作站上花很长的推断时间,并限于高性能的计算机硬件,因为它们的记忆要求很大。此外,要在这些大型模型中安装3D数据集,还要利用有限的计算机记忆,经常使用交换技术,例如补对称培训等,以牺牲从对诊断目的具有临床重要性的投入图像中获得的精细比例的几何地理信息。为了应对这些挑战,我们提出一个具有浅度记忆足迹的银色网络,以有效减少为状态性能所需的模型参数数量。这对于实际就业至关重要,因为大多数临床环境只有低端硬件,计算机功能和记忆有限。拟议的网络可以通过直接处理全尺寸三维化技术来保持数据的完整性,直接处理全尺寸的全尺寸三维的图像,从而大幅改进所需的超度变压的磁度计算。

0
下载
关闭预览

相关内容

专知会员服务
38+阅读 · 2021年6月3日
专知会员服务
82+阅读 · 2021年5月10日
图像分割方法综述
专知会员服务
56+阅读 · 2020年11月22日
专知会员服务
61+阅读 · 2020年3月19日
图像/视频去噪算法资源集锦
专知
19+阅读 · 2019年12月14日
Hierarchically Structured Meta-learning
CreateAMind
27+阅读 · 2019年5月22日
TorchSeg:基于pytorch的语义分割算法开源了
极市平台
20+阅读 · 2019年1月28日
强化学习的Unsupervised Meta-Learning
CreateAMind
18+阅读 · 2019年1月7日
无监督元学习表示学习
CreateAMind
27+阅读 · 2019年1月4日
gan生成图像at 1024² 的 代码 论文
CreateAMind
4+阅读 · 2017年10月31日
【推荐】图像分类必读开创性论文汇总
机器学习研究会
14+阅读 · 2017年8月15日
Arxiv
0+阅读 · 2021年11月11日
W-net: Bridged U-net for 2D Medical Image Segmentation
Arxiv
20+阅读 · 2018年7月12日
VIP会员
相关资讯
图像/视频去噪算法资源集锦
专知
19+阅读 · 2019年12月14日
Hierarchically Structured Meta-learning
CreateAMind
27+阅读 · 2019年5月22日
TorchSeg:基于pytorch的语义分割算法开源了
极市平台
20+阅读 · 2019年1月28日
强化学习的Unsupervised Meta-Learning
CreateAMind
18+阅读 · 2019年1月7日
无监督元学习表示学习
CreateAMind
27+阅读 · 2019年1月4日
gan生成图像at 1024² 的 代码 论文
CreateAMind
4+阅读 · 2017年10月31日
【推荐】图像分类必读开创性论文汇总
机器学习研究会
14+阅读 · 2017年8月15日
Top
微信扫码咨询专知VIP会员