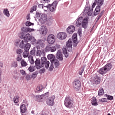
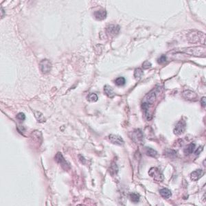
Weakly supervised nuclei segmentation is a critical problem for pathological image analysis and greatly benefits the community due to the significant reduction of labeling cost. Adopting point annotations, previous methods mostly rely on less expressive representations for nuclei instances and thus have difficulty in handling crowded nuclei. In this paper, we propose to decouple weakly supervised semantic and instance segmentation in order to enable more effective subtask learning and to promote instance-aware representation learning. To achieve this, we design a modular deep network with two branches: a semantic proposal network and an instance encoding network, which are trained in a two-stage manner with an instance-sensitive loss. Empirical results show that our approach achieves the state-of-the-art performance on two public benchmarks of pathological images from different types of organs.


翻译:微弱监管的核核分离是病理图像分析的一个关键问题,由于标签成本的大幅降低,使社区受益匪浅。采用点说明,以往的方法大多依赖于对核现象的表达性较低,因此难以处理拥挤的核。在本文中,我们提议将微弱监管的语义和实例分离分解脱钩,以便更有效地进行子任务学习,并促进对量代表的学习。为了实现这一点,我们设计了一个模块化的深层网络,分两个分支:语义建议网络和实例编码网络,以两阶段的方式对它进行培训,对实例有敏感认识。经验性结果显示,我们的方法在两种不同类型器官的病理图像的公共基准上达到了最先进的业绩。

0
下载
关闭预览

相关内容

100+篇《自监督学习(Self-Supervised Learning)》论文最新合集
专知会员服务
167+阅读 · 2020年3月18日
MIT-深度学习Deep Learning State of the Art in 2020,87页ppt
专知会员服务
62+阅读 · 2020年2月17日
Keras François Chollet 《Deep Learning with Python 》, 386页pdf
专知会员服务
163+阅读 · 2019年10月12日
[综述]深度学习下的场景文本检测与识别
专知会员服务
78+阅读 · 2019年10月10日
IEEE TII Call For Papers
CCF多媒体专委会
3+阅读 · 2022年3月24日
ACM TOMM Call for Papers
CCF多媒体专委会
2+阅读 · 2022年3月23日
AIART 2022 Call for Papers
CCF多媒体专委会
1+阅读 · 2022年2月13日
心之所向的无尽蓝,vivo S12 Pro「屿蓝」
ZEALER订阅号
0+阅读 · 2022年1月27日
Hierarchically Structured Meta-learning
CreateAMind
27+阅读 · 2019年5月22日
无监督元学习表示学习
CreateAMind
27+阅读 · 2019年1月4日
Unsupervised Learning via Meta-Learning
CreateAMind
43+阅读 · 2019年1月3日
国家自然科学基金
2+阅读 · 2015年12月31日
国家自然科学基金
1+阅读 · 2015年12月31日
国家自然科学基金
40+阅读 · 2014年12月31日
国家自然科学基金
3+阅读 · 2014年12月31日
国家自然科学基金
0+阅读 · 2014年12月31日
国家自然科学基金
0+阅读 · 2013年12月31日
国家自然科学基金
1+阅读 · 2012年12月31日
国家自然科学基金
0+阅读 · 2011年12月31日
国家自然科学基金
0+阅读 · 2009年12月31日
国家自然科学基金
0+阅读 · 2008年12月31日
Deep learning for cardiac image segmentation: A review
Arxiv
21+阅读 · 2019年11月9日
VIP会员
相关资讯
IEEE TII Call For Papers
CCF多媒体专委会
3+阅读 · 2022年3月24日
ACM TOMM Call for Papers
CCF多媒体专委会
2+阅读 · 2022年3月23日
AIART 2022 Call for Papers
CCF多媒体专委会
1+阅读 · 2022年2月13日
心之所向的无尽蓝,vivo S12 Pro「屿蓝」
ZEALER订阅号
0+阅读 · 2022年1月27日
Hierarchically Structured Meta-learning
CreateAMind
27+阅读 · 2019年5月22日
无监督元学习表示学习
CreateAMind
27+阅读 · 2019年1月4日
Unsupervised Learning via Meta-Learning
CreateAMind
43+阅读 · 2019年1月3日
相关基金
国家自然科学基金
2+阅读 · 2015年12月31日
国家自然科学基金
1+阅读 · 2015年12月31日
国家自然科学基金
40+阅读 · 2014年12月31日
国家自然科学基金
3+阅读 · 2014年12月31日
国家自然科学基金
0+阅读 · 2014年12月31日
国家自然科学基金
0+阅读 · 2013年12月31日
国家自然科学基金
1+阅读 · 2012年12月31日
国家自然科学基金
0+阅读 · 2011年12月31日
国家自然科学基金
0+阅读 · 2009年12月31日
国家自然科学基金
0+阅读 · 2008年12月31日
Top
微信扫码咨询专知VIP会员