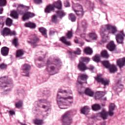
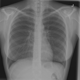
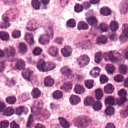
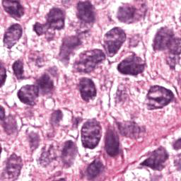
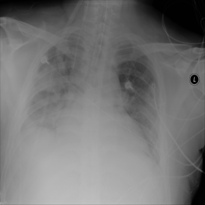
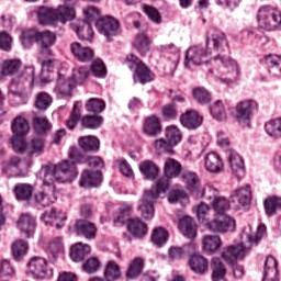
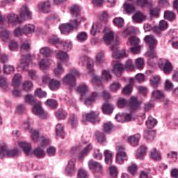
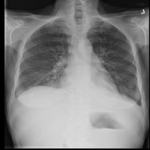
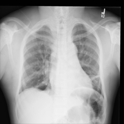
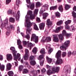
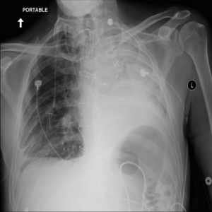
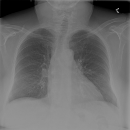
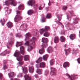
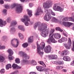
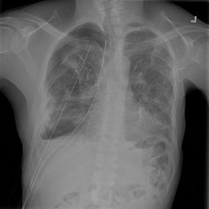
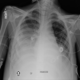
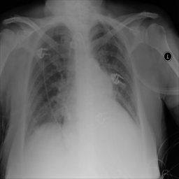
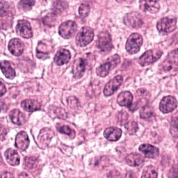
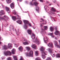
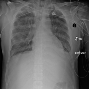
Anomaly detection is the problem of recognizing abnormal inputs based on the seen examples of normal data. Despite recent advances of deep learning in recognizing image anomalies, these methods still prove incapable of handling complex medical images, such as barely visible abnormalities in chest X-rays and metastases in lymph nodes. To address this problem, we introduce a new powerful method of image anomaly detection. It relies on the classical autoencoder approach with a re-designed training pipeline to handle high-resolution, complex images and a robust way of computing an image abnormality score. We revisit the very problem statement of fully unsupervised anomaly detection, where no abnormal examples at all are provided during the model setup. We propose to relax this unrealistic assumption by using a very small number of anomalies of confined variability merely to initiate the search of hyperparameters of the model. We evaluate our solution on natural image datasets with a known benchmark, as well as on two medical datasets containing radiology and digital pathology images. The proposed approach suggests a new strong baseline for image anomaly detection and outperforms state-of-the-art approaches in complex medical image analysis tasks.


翻译:异常检测是根据正常数据实例识别异常输入的问题。尽管在识别图像异常方面最近取得了深层次学习的进展,但这些方法仍然证明无法处理复杂的医学图像,如胸部X光几乎看不到异常和淋巴节点转移等。为了解决这一问题,我们引入了一种新的强有力的图像异常检测方法。它依靠古典的自动解剖器方法,经过重新设计的培训管道来处理高分辨率、复杂图像和图像异常分数。我们重新审视了完全不受监督的异常点检测的非常问题说明,在模型设置期间,根本没有提供异常的例子。我们提议放松这一不现实的假设,仅使用少量有限的异常点来开始搜索模型的超参数。我们评估我们使用已知基准的天然图像数据集以及包含放射学和数字病理图像的两个医疗数据集的解决方案。拟议方法为在复杂的医学图像分析任务中,为图像异常点检测和超常规状态方法提供了新的强基线。

0
下载
关闭预览

相关内容

在数据挖掘中,异常检测(英语:anomaly detection)对不符合预期模式或数据集中其他项目的项目、事件或观测值的识别。通常异常项目会转变成银行欺诈、结构缺陷、医疗问题、文本错误等类型的问题。异常也被称为离群值、新奇、噪声、偏差和例外。 特别是在检测滥用与网络入侵时,有趣性对象往往不是罕见对象,但却是超出预料的突发活动。这种模式不遵循通常统计定义中把异常点看作是罕见对象,于是许多异常检测方法(特别是无监督的方法)将对此类数据失效,除非进行了合适的聚集。相反,聚类分析算法可能可以检测出这些模式形成的微聚类。 有三大类异常检测方法。[1] 在假设数据集中大多数实例都是正常的前提下,无监督异常检测方法能通过寻找与其他数据最不匹配的实例来检测出未标记测试数据的异常。监督式异常检测方法需要一个已经被标记“正常”与“异常”的数据集,并涉及到训练分类器(与许多其他的统计分类问题的关键区别是异常检测的内在不均衡性)。半监督式异常检测方法根据一个给定的正常训练数据集创建一个表示正常行为的模型,然后检测由学习模型生成的测试实例的可能性。
Keras François Chollet 《Deep Learning with Python 》, 386页pdf
专知会员服务
163+阅读 · 2019年10月12日
[综述]深度学习下的场景文本检测与识别
专知会员服务
78+阅读 · 2019年10月10日
Transferring Knowledge across Learning Processes
CreateAMind
29+阅读 · 2019年5月18日
人脸检测库:libfacedetection
Python程序员
15+阅读 · 2019年3月22日
强化学习的Unsupervised Meta-Learning
CreateAMind
18+阅读 · 2019年1月7日
Unsupervised Learning via Meta-Learning
CreateAMind
43+阅读 · 2019年1月3日
Disentangled的假设的探讨
CreateAMind
9+阅读 · 2018年12月10日
Relation Networks for Object Detection 论文笔记
统计学习与视觉计算组
16+阅读 · 2018年4月18日
Hierarchical Disentangled Representations
CreateAMind
4+阅读 · 2018年4月15日
ResNet, AlexNet, VGG, Inception:各种卷积网络架构的理解
全球人工智能
20+阅读 · 2017年12月17日
动手写机器学习算法:异常检测 Anomaly Detection
七月在线实验室
11+阅读 · 2017年12月8日
Arxiv
0+阅读 · 2020年11月28日
Anomalous Instance Detection in Deep Learning: A Survey
Deep Learning for Deepfakes Creation and Detection
Arxiv
6+阅读 · 2019年9月25日
Deep Anomaly Detection with Outlier Exposure
Arxiv
17+阅读 · 2018年12月21日
q-Space Novelty Detection with Variational Autoencoders
VIP会员
相关VIP内容
Keras François Chollet 《Deep Learning with Python 》, 386页pdf
专知会员服务
163+阅读 · 2019年10月12日
[综述]深度学习下的场景文本检测与识别
专知会员服务
78+阅读 · 2019年10月10日
相关资讯
Transferring Knowledge across Learning Processes
CreateAMind
29+阅读 · 2019年5月18日
人脸检测库:libfacedetection
Python程序员
15+阅读 · 2019年3月22日
强化学习的Unsupervised Meta-Learning
CreateAMind
18+阅读 · 2019年1月7日
Unsupervised Learning via Meta-Learning
CreateAMind
43+阅读 · 2019年1月3日
Disentangled的假设的探讨
CreateAMind
9+阅读 · 2018年12月10日
Relation Networks for Object Detection 论文笔记
统计学习与视觉计算组
16+阅读 · 2018年4月18日
Hierarchical Disentangled Representations
CreateAMind
4+阅读 · 2018年4月15日
ResNet, AlexNet, VGG, Inception:各种卷积网络架构的理解
全球人工智能
20+阅读 · 2017年12月17日
动手写机器学习算法:异常检测 Anomaly Detection
七月在线实验室
11+阅读 · 2017年12月8日
相关论文
Top
微信扫码咨询专知VIP会员