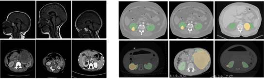
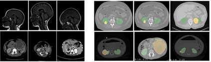
Due to a high heterogeneity in pose and size and to a limited number of available data, segmentation of pediatric images is challenging for deep learning methods. In this work, we propose a new CNN architecture that is pose and scale invariant thanks to the use of Spatial Transformer Network (STN). Our architecture is composed of three sequential modules that are estimated together during training: (i) a regression module to estimate a similarity matrix to normalize the input image to a reference one; (ii) a differentiable module to find the region of interest to segment; (iii) a segmentation module, based on the popular UNet architecture, to delineate the object. Unlike the original UNet, which strives to learn a complex mapping, including pose and scale variations, from a finite training dataset, our segmentation module learns a simpler mapping focusing on images with normalized pose and size. Furthermore, the use of an automatic bounding box detection through STN allows saving time and especially memory, while keeping similar performance. We test the proposed method in kidney and renal tumor segmentation on abdominal pediatric CT scanners. Results indicate that the estimated STN homogenization of size and pose accelerates the segmentation (25h), compared to standard data-augmentation (33h), while obtaining a similar quality for the kidney (88.01\% of Dice score) and improving the renal tumor delineation (from 85.52\% to 87.12\%).


翻译:由于面貌和体积差异很大,现有数据数量有限,小儿科图象的分解对深层学习方法具有挑战性。在这项工作中,我们提出一个新的CNN结构,由于使用空间变形器网络(STN),这种结构构成和规模变化不定。我们的结构由三个顺序模块组成,这些模块在培训期间一起估算:(一) 回归模块,以估计一个相似的矩阵,使输入图像与参考图像正常化;(二) 一个差异化模块,以找到部分感兴趣的区域;(三) 一个基于受欢迎的UNet结构的分解模块,以划定目标。与最初的UNet不同的是,它努力学习复杂的绘图,包括从有限的培训数据集(STNNT)变形和变形。此外,通过STN检测自动捆绑定框可以节省时间,特别是记忆,同时保持类似的性能。我们测试了肾和肾肿瘤分解法的拟议方法,从流行的UNet结构,以界定目标。与最初的UNet不同的是,它努力学习复杂的绘图,包括成形和比例变形,从有限的培训数据集。结果显示一个较简单的图像和尺寸。此外,通过Starnbedbed boxnial-deal-deal-deal-deal-deal-deal-degration-degraphyal-degraduction-degraduction-deal-degraphal-deal-degraphal-deal-deal-qal-qal-qal-chmal-degraphal-qal-deal-deal-chmal)。

0
下载
关闭预览

相关内容

注意力机制综述
专知会员服务
83+阅读 · 2021年1月26日
一份简单《图神经网络》教程,28页ppt
专知会员服务
127+阅读 · 2020年8月2日
【SIGGRAPH2019】TensorFlow 2.0深度学习计算机图形学应用
专知会员服务
41+阅读 · 2019年10月9日
FCN、Unet、Unet++:医学图像分割那点事儿
极市平台
18+阅读 · 2020年8月20日
图像处理:从 bilateral filter 到 HDRnet
极市平台
30+阅读 · 2019年8月7日
GCNet:当Non-local遇见SENet
极市平台
11+阅读 · 2019年5月9日
语义分割 | context relation
极市平台
8+阅读 · 2019年2月9日
TorchSeg:基于pytorch的语义分割算法开源了
极市平台
20+阅读 · 2019年1月28日
Hierarchical Disentangled Representations
CreateAMind
4+阅读 · 2018年4月15日
(TensorFlow)实时语义分割比较研究
机器学习研究会
9+阅读 · 2018年3月12日
条件GAN重大改进!cGANs with Projection Discriminator
CreateAMind
8+阅读 · 2018年2月7日
【推荐】全卷积语义分割综述
机器学习研究会
19+阅读 · 2017年8月31日
VIP会员
相关资讯
FCN、Unet、Unet++:医学图像分割那点事儿
极市平台
18+阅读 · 2020年8月20日
图像处理:从 bilateral filter 到 HDRnet
极市平台
30+阅读 · 2019年8月7日
GCNet:当Non-local遇见SENet
极市平台
11+阅读 · 2019年5月9日
语义分割 | context relation
极市平台
8+阅读 · 2019年2月9日
TorchSeg:基于pytorch的语义分割算法开源了
极市平台
20+阅读 · 2019年1月28日
Hierarchical Disentangled Representations
CreateAMind
4+阅读 · 2018年4月15日
(TensorFlow)实时语义分割比较研究
机器学习研究会
9+阅读 · 2018年3月12日
条件GAN重大改进!cGANs with Projection Discriminator
CreateAMind
8+阅读 · 2018年2月7日
【推荐】全卷积语义分割综述
机器学习研究会
19+阅读 · 2017年8月31日
Top
微信扫码咨询专知VIP会员