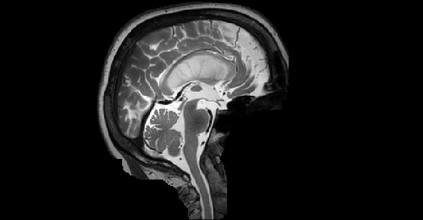
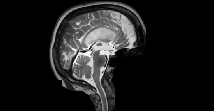
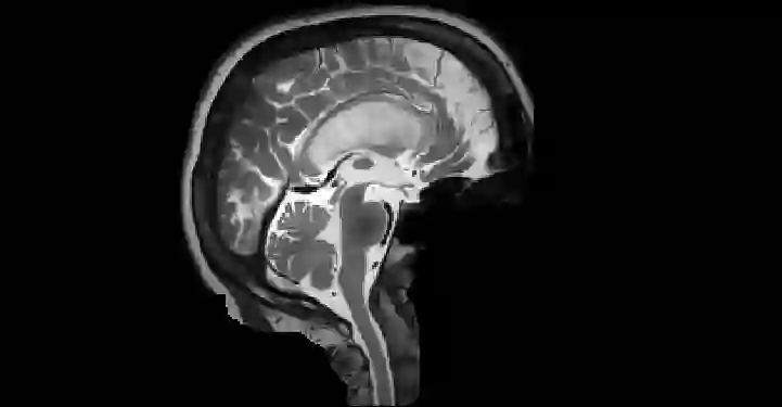
In recent years, a plethora of methods combining deep neural networks and partial differential equations have been developed. A widely known and popular example are physics-informed neural networks. They solve forward and inverse problems involving partial differential equations in terms of a neural network training problem. We apply physics-informed neural networks as well as the finite element method to estimate the diffusion coefficient governing the long term, i.e. over days, spread of molecules in the human brain from a novel magnetic resonance imaging technique. Synthetic testcases are created to demonstrate that the standard formulation of the physics-informed neural network faces challenges with noisy measurements in our application. Our numerical results demonstrate that the residual of the partial differential equation after training needs to be small in order to obtain accurate recovery of the diffusion coefficient. To achieve this, we apply several strategies such as tuning the weights and the norms used in the loss function as well as residual based adaptive refinement and exchange of residual training points. We find that the diffusion coefficient estimated with PINNs from magnetic resonance images becomes consistent with results from a finite element based approach when the residuum after training becomes small. The observations presented in this work are an important first step towards solving inverse problems on observations from large cohorts of patients in a semi-automated fashion with physics-informed neural networks.


翻译:近些年来,已经开发了将深神经网络和部分差异方程式相结合的众多方法。一个广为人知和受欢迎的例子是物理知情神经网络。它们解决了前方和反向问题,涉及神经网络培训问题方面的部分差异方程式。我们应用物理知情神经网络以及有限元素方法来估计长期的传播系数,即:几天后,分子在人类大脑中从新型磁共振成像技术中扩散;创建合成试验箱,以表明物理学知情神经网络的标准配方在应用中的测量时会遇到噪音的挑战。我们的数字结果显示,培训后部分差异方程式的剩余部分差异方程式需要很小才能准确恢复扩散系数。为了实现这一目标,我们采用了几种战略,例如调整损失功能中所使用的重量和规范,以及基于残留的适应性改进和交换残余培训点。我们发现,磁共振动图像估计的传播系数与在应用时基于有限要素的测量方法的结果是一致的,因为我们应用的测量方法,在我们的应用中,以噪声测量方法,在培训后,先是先步步式观测后,再进行大规模研究,然后进行这种观测,然后是研究。

0
下载
关闭预览

相关内容

神经网络(Neural Networks)是世界上三个最古老的神经建模学会的档案期刊:国际神经网络学会(INNS)、欧洲神经网络学会(ENNS)和日本神经网络学会(JNNS)。神经网络提供了一个论坛,以发展和培育一个国际社会的学者和实践者感兴趣的所有方面的神经网络和相关方法的计算智能。神经网络欢迎高质量论文的提交,有助于全面的神经网络研究,从行为和大脑建模,学习算法,通过数学和计算分析,系统的工程和技术应用,大量使用神经网络的概念和技术。这一独特而广泛的范围促进了生物和技术研究之间的思想交流,并有助于促进对生物启发的计算智能感兴趣的跨学科社区的发展。因此,神经网络编委会代表的专家领域包括心理学,神经生物学,计算机科学,工程,数学,物理。该杂志发表文章、信件和评论以及给编辑的信件、社论、时事、软件调查和专利信息。文章发表在五个部分之一:认知科学,神经科学,学习系统,数学和计算分析、工程和应用。 官网地址:http://dblp.uni-trier.de/db/journals/nn/
专知会员服务
26+阅读 · 2021年4月2日
【SIGGRAPH2019】TensorFlow 2.0深度学习计算机图形学应用
专知会员服务
41+阅读 · 2019年10月9日
最新BERT相关论文清单,BERT-related Papers
专知会员服务
53+阅读 · 2019年9月29日
AIART 2022 Call for Papers
CCF多媒体专委会
1+阅读 · 2022年2月13日
【ICIG2021】Latest News & Announcements of the Tutorial
中国图象图形学学会CSIG
3+阅读 · 2021年12月20日
【ICIG2021】Latest News & Announcements of the Workshop
中国图象图形学学会CSIG
0+阅读 · 2021年12月20日
【ICIG2021】Latest News & Announcements of the Plenary Talk2
中国图象图形学学会CSIG
0+阅读 · 2021年11月2日
【ICIG2021】Latest News & Announcements of the Plenary Talk1
中国图象图形学学会CSIG
0+阅读 · 2021年11月1日
【ICIG2021】Latest News & Announcements of the Industry Talk2
中国图象图形学学会CSIG
0+阅读 · 2021年7月29日
【ICIG2021】Latest News & Announcements of the Industry Talk1
中国图象图形学学会CSIG
0+阅读 · 2021年7月28日
Transferring Knowledge across Learning Processes
CreateAMind
29+阅读 · 2019年5月18日
A Technical Overview of AI & ML in 2018 & Trends for 2019
待字闺中
18+阅读 · 2018年12月24日
Capsule Networks解析
机器学习研究会
11+阅读 · 2017年11月12日
国家自然科学基金
2+阅读 · 2017年12月31日
国家自然科学基金
0+阅读 · 2015年12月31日
国家自然科学基金
0+阅读 · 2014年12月31日
国家自然科学基金
0+阅读 · 2014年12月31日
国家自然科学基金
0+阅读 · 2013年12月31日
国家自然科学基金
0+阅读 · 2009年12月31日
国家自然科学基金
0+阅读 · 2008年12月31日
Arxiv
0+阅读 · 2022年6月24日
Arxiv
23+阅读 · 2022年2月4日
Arxiv
19+阅读 · 2021年2月4日
Arxiv
20+阅读 · 2019年11月23日
VIP会员
相关资讯
AIART 2022 Call for Papers
CCF多媒体专委会
1+阅读 · 2022年2月13日
【ICIG2021】Latest News & Announcements of the Tutorial
中国图象图形学学会CSIG
3+阅读 · 2021年12月20日
【ICIG2021】Latest News & Announcements of the Workshop
中国图象图形学学会CSIG
0+阅读 · 2021年12月20日
【ICIG2021】Latest News & Announcements of the Plenary Talk2
中国图象图形学学会CSIG
0+阅读 · 2021年11月2日
【ICIG2021】Latest News & Announcements of the Plenary Talk1
中国图象图形学学会CSIG
0+阅读 · 2021年11月1日
【ICIG2021】Latest News & Announcements of the Industry Talk2
中国图象图形学学会CSIG
0+阅读 · 2021年7月29日
【ICIG2021】Latest News & Announcements of the Industry Talk1
中国图象图形学学会CSIG
0+阅读 · 2021年7月28日
Transferring Knowledge across Learning Processes
CreateAMind
29+阅读 · 2019年5月18日
A Technical Overview of AI & ML in 2018 & Trends for 2019
待字闺中
18+阅读 · 2018年12月24日
Capsule Networks解析
机器学习研究会
11+阅读 · 2017年11月12日
相关基金
国家自然科学基金
2+阅读 · 2017年12月31日
国家自然科学基金
0+阅读 · 2015年12月31日
国家自然科学基金
0+阅读 · 2014年12月31日
国家自然科学基金
0+阅读 · 2014年12月31日
国家自然科学基金
0+阅读 · 2013年12月31日
国家自然科学基金
0+阅读 · 2009年12月31日
国家自然科学基金
0+阅读 · 2008年12月31日
Top
微信扫码咨询专知VIP会员