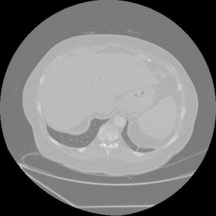
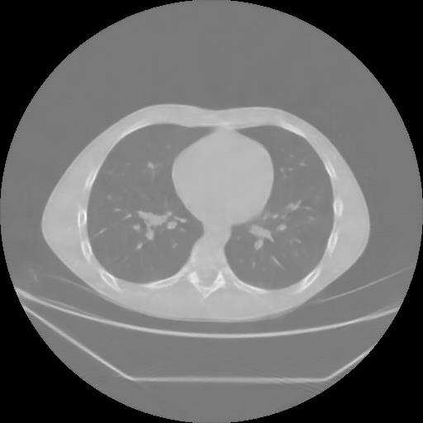
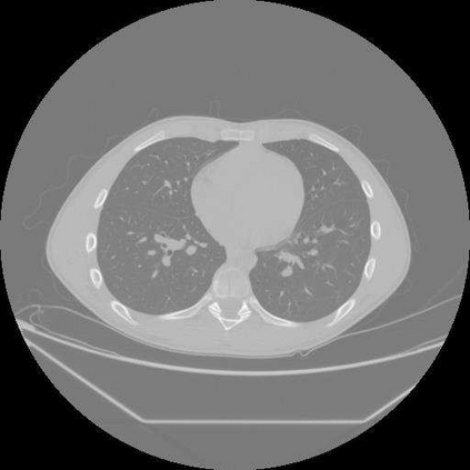
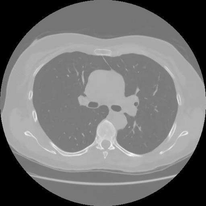
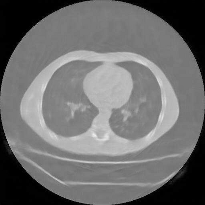
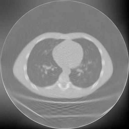
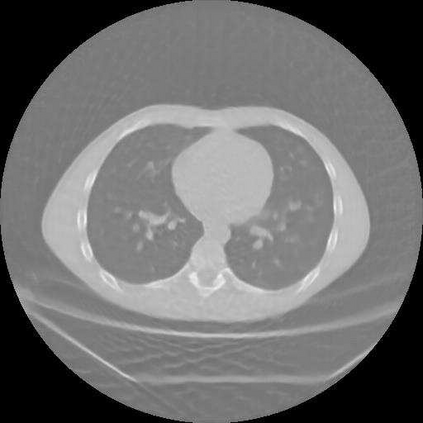
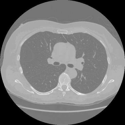
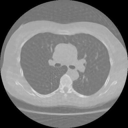
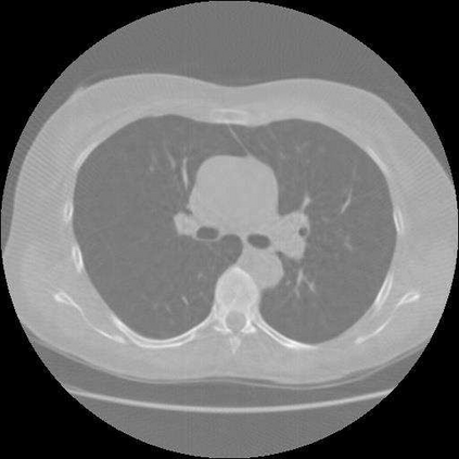
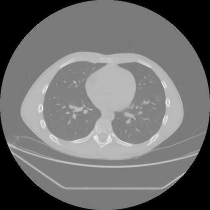
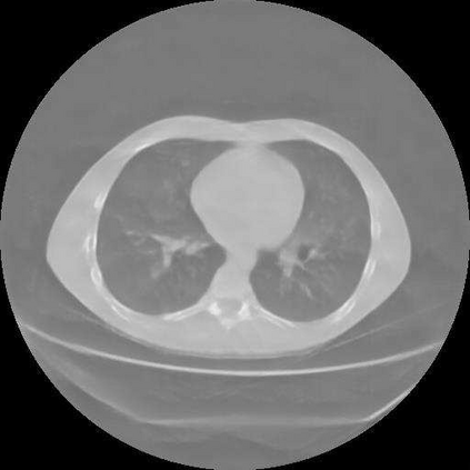
Sparse-view computed tomography (CT) is known as a widely used approach to reduce radiation dose while accelerating imaging through lowered projection views and correlated calculations. However, its severe imaging noise and streaking artifacts turn out to be a major issue in the low dose protocol. In this paper, we propose a dual-domain deep learning-based method that breaks through the limitations of currently prevailing algorithms that merely process single image slices. Since the scanned object usually contains a high degree of spatial continuity, the obtained consecutive imaging slices embody rich information that is largely unexplored. Therefore, we establish a cascade model named LS-AAE which aims to tackle the above problem. In addition, in order to adapt to the social trend of lightweight medical care, our model adopts the inverted residual with linear bottleneck in the module design to make it mobile and lightweight (reduce model parameters to one-eighth of its original) without sacrificing its performance. In our experiments, sparse sampling is conducted at intervals of 4{\deg}, 8{\deg} and 16{\deg}, which appears to be a challenging sparsity that few scholars have attempted before. Nevertheless, our method still exhibits its robustness and achieves the state-of-the-art performance by reaching the PSNR of 40.305 and the SSIM of 0.948, while ensuring high model mobility. Particularly, it still exceeds other current methods when the sampling rate is one-fourth of them, thereby demonstrating its remarkable superiority.


翻译:光谱计算断层成像仪(CT)被认为是一种广泛使用的降低辐射剂量,同时通过降低投影率和相关计算加速成像的方法。然而,其严重的成像噪音和生动文物是低剂量协议的一个主要问题。在本文中,我们提出一种双重的深层次学习法,打破目前仅处理单一图像切片的现行算法的局限性。由于扫描对象通常包含高度的空间连续性,所获得的连续成像切片含有大量基本尚未探索的丰富信息。因此,我们建立了一个名为LS-AE的级联模型,旨在解决上述问题。此外,为了适应轻量医疗的社会趋势,我们的模型采用了模块设计中带有线性瓶颈的倒置残留物,使其具有移动性和轻质(将模型参数减到原来的八分之一),而不会牺牲其性能。在我们的实验中,零碎的模型采样仍然在4-deg}、8-deg}和16-deg},这似乎是具有挑战性的,同时少数学者试图在S-RIS3之前的高度性能达到其高度性。

0
下载
关闭预览

相关内容

CVPR 2020 最佳论文与最佳学生论文!
专知会员服务
36+阅读 · 2020年6月17日
专知会员服务
61+阅读 · 2020年3月19日
抢鲜看!13篇CVPR2020论文链接/开源代码/解读
专知会员服务
50+阅读 · 2020年2月26日
【论文】结构GANs,Structured GANs,
专知会员服务
15+阅读 · 2020年1月16日
[综述]深度学习下的场景文本检测与识别
专知会员服务
78+阅读 · 2019年10月10日
【哈佛大学商学院课程Fall 2019】机器学习可解释性
专知会员服务
105+阅读 · 2019年10月9日
CVPR2020接收论文开源代码
专知
30+阅读 · 2020年2月29日
鲁棒机器学习相关文献集
专知
8+阅读 · 2019年8月18日
CVPR2019年热门论文及开源代码分享
深度学习与NLP
7+阅读 · 2019年6月3日
Hierarchically Structured Meta-learning
CreateAMind
27+阅读 · 2019年5月22日
Unsupervised Learning via Meta-Learning
CreateAMind
43+阅读 · 2019年1月3日
【NIPS2018】接收论文列表
专知
5+阅读 · 2018年9月10日
Hierarchical Disentangled Representations
CreateAMind
4+阅读 · 2018年4月15日
【论文】变分推断(Variational inference)的总结
机器学习研究会
39+阅读 · 2017年11月16日
Capsule Networks解析
机器学习研究会
11+阅读 · 2017年11月12日
可解释的CNN
CreateAMind
17+阅读 · 2017年10月5日
Arxiv
0+阅读 · 2021年3月11日
Arxiv
4+阅读 · 2020年3月27日
Efficient and Effective $L_0$ Feature Selection
Arxiv
5+阅读 · 2018年8月7日
VIP会员
相关资讯
CVPR2020接收论文开源代码
专知
30+阅读 · 2020年2月29日
鲁棒机器学习相关文献集
专知
8+阅读 · 2019年8月18日
CVPR2019年热门论文及开源代码分享
深度学习与NLP
7+阅读 · 2019年6月3日
Hierarchically Structured Meta-learning
CreateAMind
27+阅读 · 2019年5月22日
Unsupervised Learning via Meta-Learning
CreateAMind
43+阅读 · 2019年1月3日
【NIPS2018】接收论文列表
专知
5+阅读 · 2018年9月10日
Hierarchical Disentangled Representations
CreateAMind
4+阅读 · 2018年4月15日
【论文】变分推断(Variational inference)的总结
机器学习研究会
39+阅读 · 2017年11月16日
Capsule Networks解析
机器学习研究会
11+阅读 · 2017年11月12日
可解释的CNN
CreateAMind
17+阅读 · 2017年10月5日
Top
微信扫码咨询专知VIP会员