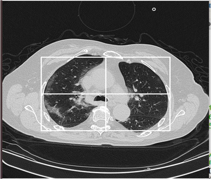
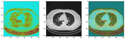
The paper represents a method of a Convolution Neural Networks (CNN) model for image classification with image preprocessing and hyperparameters tuning, aiming at increasing the predictive performance for COVID-19 diagnosis while avoiding deeper and thus more complex alternatives. Firstly, the CNN model includes four similar convolutional layers followed by a flattening and two dense layers. This work proposes a less complex solution based on simply classifying 2D slices of CT scans using a CNN model. Despite the simplicity in architecture, the proposed CNN model showed improved quantitative results exceeding state-of-the-arts on the dataset of images, in terms of the macro F1 score. The results were achieved on the original CT slices of the dataset. Secondly, the original dataset was processed via anatomy-relevant masking of slices, removing non-representative slices from the CT volume, and hyperparameters tuning. For slice processing, a fixed-sized rectangular area was used for cropping an anatomy-relevant region of interest in the images, and a threshold based on the number of white pixels in binarized slices was employed to remove non-representative slices from the 3D-CT scans. The CNN model with a learning rate schedule with exponential decay and slice flipping techniques was deployed on the processed slices. The proposed method was used to make predictions on the 2D slices. For final diagnosis at a patient level, majority voting was applied on the slices of each CT scan to make the diagnosis. The macro F1 score of the proposed method well exceeded the baseline approach and other alternatives' scores on the validation set as well as on a test partition of the previously unseen images from the COV19-CT-DB dataset partition.


翻译:本文代表了“ Convolution Neal Network”(CNN) 图像分类模型的一种方法,即图像预处理和超参数调控,目的是提高COVID-19诊断的预测性能,同时避免更深和更复杂的替代品。首先,CNN模型包括四个相似的卷层,然后是平坦和两个稠密的层。这项工作提出了一个较不复杂的解决方案,其依据是使用CNN模型对2D切片的CT扫描进行简单分类。尽管结构简单,但拟议的CNN 患者模型显示,从宏观F1评分来看,图像数据集的离谱率超过最新状态的CT,目的是提高COVID-19诊断的预测性能,同时避免更深层、更复杂的替代品。第二,原始数据集是通过切片解相关的解剖面层处理处理,删除了非具有代表性的CT值切片切片,对图像使用固定规模的矩形区域进行裁剪裁,根据白分的F1F1评分值计算结果,在2号中应用了白分的剖分法,在Sileval deal dealalal dealalalalal delalalalalal dalalalalalalalal dal dal dal dal dald dald dald dal dal dald dald dald dald dald dald dald 。

0
下载
关闭预览

相关内容

100+篇《自监督学习(Self-Supervised Learning)》论文最新合集
专知会员服务
167+阅读 · 2020年3月18日
[综述]深度学习下的场景文本检测与识别
专知会员服务
78+阅读 · 2019年10月10日
【SIGGRAPH2019】TensorFlow 2.0深度学习计算机图形学应用
专知会员服务
41+阅读 · 2019年10月9日
VCIP 2022 Call for Special Session Proposals
CCF多媒体专委会
1+阅读 · 2022年4月1日
【ICIG2021】Latest News & Announcements of the Workshop
中国图象图形学学会CSIG
0+阅读 · 2021年12月20日
【ICIG2021】Check out the hot new trailer of ICIG2021 Symposium9
中国图象图形学学会CSIG
0+阅读 · 2021年12月17日
【ICIG2021】Check out the hot new trailer of ICIG2021 Symposium8
中国图象图形学学会CSIG
0+阅读 · 2021年11月16日
【ICIG2021】Check out the hot new trailer of ICIG2021 Symposium5
中国图象图形学学会CSIG
1+阅读 · 2021年11月11日
【ICIG2021】Check out the hot new trailer of ICIG2021 Symposium3
中国图象图形学学会CSIG
0+阅读 · 2021年11月9日
【ICIG2021】Check out the hot new trailer of ICIG2021 Symposium2
中国图象图形学学会CSIG
0+阅读 · 2021年11月8日
【ICIG2021】Check out the hot new trailer of ICIG2021 Symposium1
中国图象图形学学会CSIG
0+阅读 · 2021年11月3日
【ICIG2021】Latest News & Announcements of the Plenary Talk1
中国图象图形学学会CSIG
0+阅读 · 2021年11月1日
Transferring Knowledge across Learning Processes
CreateAMind
29+阅读 · 2019年5月18日
国家自然科学基金
0+阅读 · 2014年12月31日
国家自然科学基金
0+阅读 · 2013年12月31日
国家自然科学基金
0+阅读 · 2013年12月31日
国家自然科学基金
0+阅读 · 2013年12月31日
国家自然科学基金
1+阅读 · 2013年12月31日
国家自然科学基金
0+阅读 · 2012年12月31日
国家自然科学基金
0+阅读 · 2009年12月31日
国家自然科学基金
0+阅读 · 2009年12月31日
Arxiv
23+阅读 · 2022年2月24日
3D Deep Learning on Medical Images: A Review
Arxiv
13+阅读 · 2020年4月1日
Arxiv
31+阅读 · 2018年11月13日
VIP会员
相关VIP内容
100+篇《自监督学习(Self-Supervised Learning)》论文最新合集
专知会员服务
167+阅读 · 2020年3月18日
[综述]深度学习下的场景文本检测与识别
专知会员服务
78+阅读 · 2019年10月10日
【SIGGRAPH2019】TensorFlow 2.0深度学习计算机图形学应用
专知会员服务
41+阅读 · 2019年10月9日
相关资讯
VCIP 2022 Call for Special Session Proposals
CCF多媒体专委会
1+阅读 · 2022年4月1日
【ICIG2021】Latest News & Announcements of the Workshop
中国图象图形学学会CSIG
0+阅读 · 2021年12月20日
【ICIG2021】Check out the hot new trailer of ICIG2021 Symposium9
中国图象图形学学会CSIG
0+阅读 · 2021年12月17日
【ICIG2021】Check out the hot new trailer of ICIG2021 Symposium8
中国图象图形学学会CSIG
0+阅读 · 2021年11月16日
【ICIG2021】Check out the hot new trailer of ICIG2021 Symposium5
中国图象图形学学会CSIG
1+阅读 · 2021年11月11日
【ICIG2021】Check out the hot new trailer of ICIG2021 Symposium3
中国图象图形学学会CSIG
0+阅读 · 2021年11月9日
【ICIG2021】Check out the hot new trailer of ICIG2021 Symposium2
中国图象图形学学会CSIG
0+阅读 · 2021年11月8日
【ICIG2021】Check out the hot new trailer of ICIG2021 Symposium1
中国图象图形学学会CSIG
0+阅读 · 2021年11月3日
【ICIG2021】Latest News & Announcements of the Plenary Talk1
中国图象图形学学会CSIG
0+阅读 · 2021年11月1日
Transferring Knowledge across Learning Processes
CreateAMind
29+阅读 · 2019年5月18日
相关基金
国家自然科学基金
0+阅读 · 2014年12月31日
国家自然科学基金
0+阅读 · 2013年12月31日
国家自然科学基金
0+阅读 · 2013年12月31日
国家自然科学基金
0+阅读 · 2013年12月31日
国家自然科学基金
1+阅读 · 2013年12月31日
国家自然科学基金
0+阅读 · 2012年12月31日
国家自然科学基金
0+阅读 · 2009年12月31日
国家自然科学基金
0+阅读 · 2009年12月31日
Top
微信扫码咨询专知VIP会员