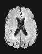
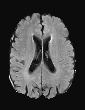
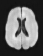
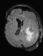
In recent years, data-driven machine learning (ML) methods have revolutionized the computer vision community by providing novel efficient solutions to many unsolved (medical) image analysis problems. However, due to the increasing privacy concerns and data fragmentation on many different sites, existing medical data are not fully utilized, thus limiting the potential of ML. Federated learning (FL) enables multiple parties to collaboratively train a ML model without exchanging local data. However, data heterogeneity (non-IID) among the distributed clients is yet a challenge. To this end, we propose a novel federated method, denoted Federated Disentanglement (FedDis), to disentangle the parameter space into shape and appearance, and only share the shape parameter with the clients. FedDis is based on the assumption that the anatomical structure in brain MRI images is similar across multiple institutions, and sharing the shape knowledge would be beneficial in anomaly detection. In this paper, we leverage healthy brain scans of 623 subjects from multiple sites with real data (OASIS, ADNI) in a privacy-preserving fashion to learn a model of normal anatomy, that allows to segment abnormal structures. We demonstrate a superior performance of FedDis on real pathological databases containing 109 subjects; two publicly available MS Lesions (MSLUB, MSISBI), and an in-house database with MS and Glioblastoma (MSI and GBI). FedDis achieved an average dice performance of 0.38, outperforming the state-of-the-art (SOTA) auto-encoder by 42% and the SOTA federated method by 11%. Further, we illustrate that FedDis learns a shape embedding that is orthogonal to the appearance and consistent under different intensity augmentations.


翻译:近年来,数据驱动机学习方法通过为许多尚未解决的(医学)图像分析问题提供新的高效解决方案,使计算机视觉界发生了革命性的变化。然而,由于许多不同站点的隐私关切和数据分散现象不断增加,现有医疗数据没有得到充分利用,从而限制了ML的潜力。 联邦学习(FL)使多个当事方能够合作培训ML模型而无需交换当地数据。然而,分布客户的数据异质性(非IID)仍是一个挑战。为此,我们提议一种新型的联邦化方法,指出的联邦分解(FedDis),将参数空间分解成形状和外观,仅与客户共享形状参数参数。FedDis的假设是,脑MRI图像的解剖结构与多个机构相似,分享形状知识有利于异常检测。在本文中,我们利用来自多个站点的健康大脑扫描623个主题的直径直径比(OASIS,ADNI),以保留隐私的方式将数据流位移到形状和外观图像流的GIS-LMIS(O-I-I),让我们能够以正常的运行模式显示正常的GMIS数据。

0
下载
关闭预览

相关内容

最新《联邦学习Federated Learning》报告,Federated Learning
专知会员服务
91+阅读 · 2020年12月2日
【google】监督对比学习,Supervised Contrastive Learning
专知会员服务
32+阅读 · 2020年4月23日
100+篇《自监督学习(Self-Supervised Learning)》论文最新合集
专知会员服务
167+阅读 · 2020年3月18日
Hierarchically Structured Meta-learning
CreateAMind
27+阅读 · 2019年5月22日
Transferring Knowledge across Learning Processes
CreateAMind
29+阅读 · 2019年5月18日
强化学习的Unsupervised Meta-Learning
CreateAMind
18+阅读 · 2019年1月7日
Unsupervised Learning via Meta-Learning
CreateAMind
43+阅读 · 2019年1月3日
Disentangled的假设的探讨
CreateAMind
9+阅读 · 2018年12月10日
disentangled-representation-papers
CreateAMind
26+阅读 · 2018年9月12日
Hierarchical Imitation - Reinforcement Learning
CreateAMind
19+阅读 · 2018年5月25日
Hierarchical Disentangled Representations
CreateAMind
4+阅读 · 2018年4月15日
Auto-Encoding GAN
CreateAMind
7+阅读 · 2017年8月4日
Arxiv
0+阅读 · 2021年4月29日
Arxiv
10+阅读 · 2021年3月30日
Advances and Open Problems in Federated Learning
Arxiv
18+阅读 · 2019年12月10日
One-Shot Federated Learning
Arxiv
9+阅读 · 2019年3月5日
Arxiv
6+阅读 · 2018年6月21日
VIP会员
相关资讯
Hierarchically Structured Meta-learning
CreateAMind
27+阅读 · 2019年5月22日
Transferring Knowledge across Learning Processes
CreateAMind
29+阅读 · 2019年5月18日
强化学习的Unsupervised Meta-Learning
CreateAMind
18+阅读 · 2019年1月7日
Unsupervised Learning via Meta-Learning
CreateAMind
43+阅读 · 2019年1月3日
Disentangled的假设的探讨
CreateAMind
9+阅读 · 2018年12月10日
disentangled-representation-papers
CreateAMind
26+阅读 · 2018年9月12日
Hierarchical Imitation - Reinforcement Learning
CreateAMind
19+阅读 · 2018年5月25日
Hierarchical Disentangled Representations
CreateAMind
4+阅读 · 2018年4月15日
Auto-Encoding GAN
CreateAMind
7+阅读 · 2017年8月4日
相关论文
Top
微信扫码咨询专知VIP会员