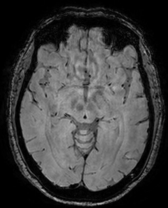
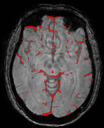
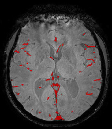
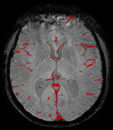
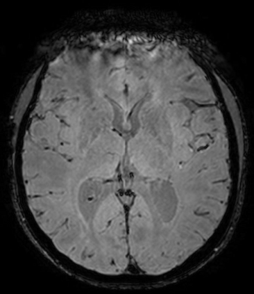
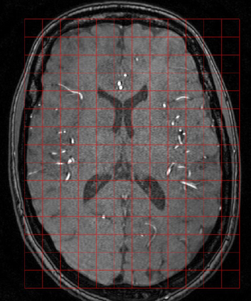
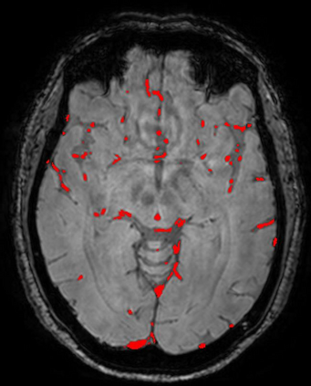
The use of deep learning techniques for 3D brain vessel image segmentation has not been as widespread as for the segmentation of other organs and tissues. This can be explained by two factors. First, deep learning techniques tend to show poor performances at the segmentation of relatively small objects compared to the size of the full image. Second, due to the complexity of vascular trees and the small size of vessels, it is challenging to obtain the amount of annotated training data typically needed by deep learning methods. To address these problems, we propose a novel annotation-efficient deep learning vessel segmentation framework. The framework avoids pixel-wise annotations, only requiring patch-level labels to discriminate between vessel and non-vessel 2D patches in the training set, in a setup similar to the CAPTCHAs used to differentiate humans from bots in web applications. The user-provided annotations are used for two tasks: 1) to automatically generate pixel-wise labels for vessels and background in each patch, which are used to train a segmentation network, and 2) to train a classifier network. The classifier network allows to generate additional weak patch labels, further reducing the annotation burden, and it acts as a noise filter for poor quality images. We use this framework for the segmentation of the cerebrovascular tree in Time-of-Flight angiography (TOF) and Susceptibility-Weighted Images (SWI). The results show that the framework achieves state-of-the-art accuracy, while reducing the annotation time by up to 80% with respect to learning-based segmentation methods using pixel-wise labels for training


翻译:用于 3D 大脑容器图像分割的深层次学习技术的使用不如用于 3D 大脑容器图像分割的深层次学习技术广泛。 这可以用两个因素来解释。 首先,深层次学习技术往往显示相对小对象的分解与整幅图像大小相比的性能差。 其次,由于血管树的复杂性和船舶体积小,因此很难获得深层次学习方法通常需要的大量附加说明的培训数据。为了解决这些问题,我们建议采用一个新的注解高效的深层次学习容器分解框架。框架避免像素的注释,只需要在训练组中贴补等级标签来区分船舶和非2D 的补丁。第二,深层次学习技术的技巧技术往往显示相对较小的容器分解方式。 用户提供的注释用于两项任务:1) 自动生成船舶和背景的像素标签,用于培训分解网络,2) 用于训练分解的像素分解系统网络,只需要补分解等级标签和不精度的分解结构结构结构结构结构结构, 用于产生更弱的分层标签, 使用更弱的标签和树层结构结构结构结构的分解方法,我们学习低的分解的分解结构结构的分解系统, 学习的分解式的分解系统的分解式的分解框架, 学习的分解式结构的分解式的分解式的分解式的分解系统的分解系统, 学习的分解网络的分解网络的分解网络的分解结构的分解式结构的分解系统的分解过程的分解系统的分解过程的分解过程的分解过程的分解过程的分解过程的分路路路路路的分解过程的分解过程的分解过程的分解过程的分解过程的分解过程的分解过程的分解过程的分解过程的分解系统的分解过程的分解系统的分解过程, 的分解过程的分解过程的分解过程的分解法,我们的分解过程的分解过程的分解过程的分解过程的分解的分解过程的分解过程的分解过程的分解过程的分解的分解的分解结构的分解过程的分解过程的分解过程的分解过程的分解过程的分解

0
下载
关闭预览

相关内容

【ECCV2020-Oral-谷歌】对抗生成语法的人体活动预测
专知会员服务
5+阅读 · 2020年8月12日
Hierarchically Structured Meta-learning
CreateAMind
27+阅读 · 2019年5月22日
Transferring Knowledge across Learning Processes
CreateAMind
29+阅读 · 2019年5月18日
弱监督语义分割最新方法资源列表
专知
9+阅读 · 2019年2月26日
Unsupervised Learning via Meta-Learning
CreateAMind
43+阅读 · 2019年1月3日
【推荐】ResNet, AlexNet, VGG, Inception:各种卷积网络架构的理解
机器学习研究会
20+阅读 · 2017年12月17日
【推荐】YOLO实时目标检测(6fps)
机器学习研究会
20+阅读 · 2017年11月5日
【推荐】视频目标分割基础
机器学习研究会
9+阅读 · 2017年9月19日
【推荐】深度学习目标检测概览
机器学习研究会
10+阅读 · 2017年9月1日
【推荐】全卷积语义分割综述
机器学习研究会
19+阅读 · 2017年8月31日
Deep Co-Training for Semi-Supervised Image Segmentation
VIP会员
相关VIP内容
【ECCV2020-Oral-谷歌】对抗生成语法的人体活动预测
专知会员服务
5+阅读 · 2020年8月12日
相关资讯
Hierarchically Structured Meta-learning
CreateAMind
27+阅读 · 2019年5月22日
Transferring Knowledge across Learning Processes
CreateAMind
29+阅读 · 2019年5月18日
弱监督语义分割最新方法资源列表
专知
9+阅读 · 2019年2月26日
Unsupervised Learning via Meta-Learning
CreateAMind
43+阅读 · 2019年1月3日
【推荐】ResNet, AlexNet, VGG, Inception:各种卷积网络架构的理解
机器学习研究会
20+阅读 · 2017年12月17日
【推荐】YOLO实时目标检测(6fps)
机器学习研究会
20+阅读 · 2017年11月5日
【推荐】视频目标分割基础
机器学习研究会
9+阅读 · 2017年9月19日
【推荐】深度学习目标检测概览
机器学习研究会
10+阅读 · 2017年9月1日
【推荐】全卷积语义分割综述
机器学习研究会
19+阅读 · 2017年8月31日
Top
微信扫码咨询专知VIP会员