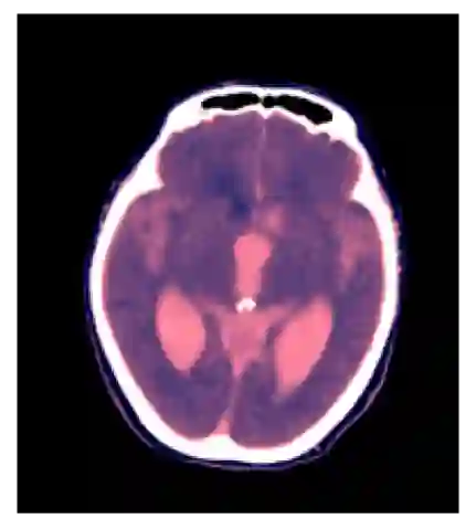
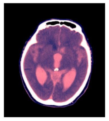
We present an effective method for Intracranial Hemorrhage Detection (IHD) which exceeds the performance of the winner solution in RSNA-IHD competition (2019). Meanwhile, our model only takes quarter parameters and ten percent FLOPs compared to the winner's solution. The IHD task needs to predict the hemorrhage category of each slice for the input brain CT. We review the top-5 solutions for the IHD competition held by the Radiological Society of North America(RSNA) in 2019. Nearly all the top solutions rely on 2D convolutional networks and sequential models (Bidirectional GRU or LSTM) to extract intra-slice and inter-slice features, respectively. All the top solutions enhance the performance by leveraging the model ensemble, and the model number varies from 7 to 31. In the past years, since much progress has been made in the computer vision regime especially Transformer-based models, we introduce the Transformer-based techniques to extract the features in both intra-slice and inter-slice views for IHD tasks. Additionally, a semi-supervised method is embedded into our workflow to further improve the performance. The code is available in the manuscript.


翻译:我们在RSNA-IHD竞争(2019年)中提出了一种有效的内爆出血检测方法(IHD),该方法超过了获胜者解决方案的绩效(RSNA-IHD 竞争(2019年),同时,我们的模型与获胜者解决方案相比,仅需要四分之一参数和10%的FLOP;国际HD的任务需要预测输入大脑CT的每个切片的出血类别。我们审查了北美辐射协会(RSNA)在2019年举办的IHD竞赛的5级顶级解决方案。几乎所有顶级解决方案都依靠2D共流网络和相继模型(双向GRU或LSTM)来提取虱内和肺间特征。所有顶级解决方案都通过利用模型共性能提高性能,而在过去几年中,模型数从7到31不等。由于计算机视觉系统,特别是以变压器为基础的模型取得了很大进展,因此我们采用了基于变压器的技术来提取IHDD任务的内切和相间观点的特征。此外,半超式方法已经嵌入我们的工作流程。

0
下载
关闭预览

相关内容

Linux导论,Introduction to Linux,96页ppt
专知会员服务
81+阅读 · 2020年7月26日
100+篇《自监督学习(Self-Supervised Learning)》论文最新合集
专知会员服务
166+阅读 · 2020年3月18日
强化学习最新教程,17页pdf
专知会员服务
182+阅读 · 2019年10月11日
【SIGGRAPH2019】TensorFlow 2.0深度学习计算机图形学应用
专知会员服务
41+阅读 · 2019年10月9日
VCIP 2022 Call for Demos
CCF多媒体专委会
1+阅读 · 2022年6月6日
VCIP 2022 Call for Special Session Proposals
CCF多媒体专委会
1+阅读 · 2022年4月1日
IEEE ICKG 2022: Call for Papers
机器学习与推荐算法
3+阅读 · 2022年3月30日
ACM MM 2022 Call for Papers
CCF多媒体专委会
5+阅读 · 2022年3月29日
ACM TOMM Call for Papers
CCF多媒体专委会
2+阅读 · 2022年3月23日
AIART 2022 Call for Papers
CCF多媒体专委会
1+阅读 · 2022年2月13日
【ICIG2021】Latest News & Announcements of the Tutorial
中国图象图形学学会CSIG
3+阅读 · 2021年12月20日
【ICIG2021】Check out the hot new trailer of ICIG2021 Symposium8
中国图象图形学学会CSIG
0+阅读 · 2021年11月16日
【ICIG2021】Check out the hot new trailer of ICIG2021 Symposium4
中国图象图形学学会CSIG
0+阅读 · 2021年11月10日
Transferring Knowledge across Learning Processes
CreateAMind
29+阅读 · 2019年5月18日
国家自然科学基金
0+阅读 · 2015年12月31日
国家自然科学基金
0+阅读 · 2012年12月31日
国家自然科学基金
2+阅读 · 2012年12月31日
国家自然科学基金
0+阅读 · 2012年12月31日
国家自然科学基金
0+阅读 · 2011年12月31日
国家自然科学基金
0+阅读 · 2011年12月31日
国家自然科学基金
0+阅读 · 2009年12月31日
Arxiv
39+阅读 · 2021年11月11日
Arxiv
11+阅读 · 2019年4月15日
VIP会员
相关资讯
VCIP 2022 Call for Demos
CCF多媒体专委会
1+阅读 · 2022年6月6日
VCIP 2022 Call for Special Session Proposals
CCF多媒体专委会
1+阅读 · 2022年4月1日
IEEE ICKG 2022: Call for Papers
机器学习与推荐算法
3+阅读 · 2022年3月30日
ACM MM 2022 Call for Papers
CCF多媒体专委会
5+阅读 · 2022年3月29日
ACM TOMM Call for Papers
CCF多媒体专委会
2+阅读 · 2022年3月23日
AIART 2022 Call for Papers
CCF多媒体专委会
1+阅读 · 2022年2月13日
【ICIG2021】Latest News & Announcements of the Tutorial
中国图象图形学学会CSIG
3+阅读 · 2021年12月20日
【ICIG2021】Check out the hot new trailer of ICIG2021 Symposium8
中国图象图形学学会CSIG
0+阅读 · 2021年11月16日
【ICIG2021】Check out the hot new trailer of ICIG2021 Symposium4
中国图象图形学学会CSIG
0+阅读 · 2021年11月10日
Transferring Knowledge across Learning Processes
CreateAMind
29+阅读 · 2019年5月18日
相关基金
国家自然科学基金
0+阅读 · 2015年12月31日
国家自然科学基金
0+阅读 · 2012年12月31日
国家自然科学基金
2+阅读 · 2012年12月31日
国家自然科学基金
0+阅读 · 2012年12月31日
国家自然科学基金
0+阅读 · 2011年12月31日
国家自然科学基金
0+阅读 · 2011年12月31日
国家自然科学基金
0+阅读 · 2009年12月31日
Top
微信扫码咨询专知VIP会员