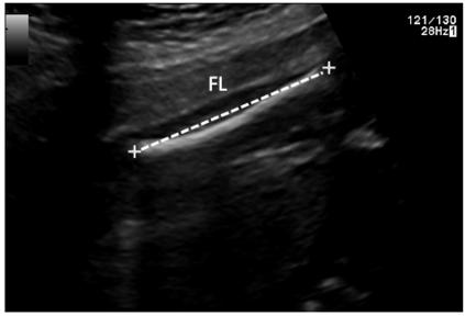
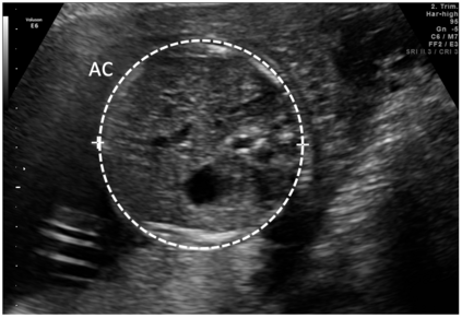
Deep-learning (DL) algorithms are becoming the standard for processing ultrasound (US) fetal images. Despite a large number of survey papers already present in this field, most of them are focusing on a broader area of medical-image analysis or not covering all fetal US DL applications. This paper surveys the most recent work in the field, with a total of 145 research papers published after 2017. Each paper is analyzed and commented on from both the methodology and application perspective. We categorized the papers in (i) fetal standard-plane detection, (ii) anatomical-structure analysis, and (iii) biometry parameter estimation. For each category, main limitations and open issues are presented. Summary tables are included to facilitate the comparison among the different approaches. Publicly-available datasets and performance metrics commonly used to assess algorithm performance are summarized, too. This paper ends with a critical summary of the current state of the art on DL algorithms for fetal US image analysis and a discussion on current challenges that have to be tackled by researchers working in the field to translate the research methodology into the actual clinical practice.


翻译:尽管在这一领域已经有大量的调查报告,但大多数都侧重于医学图像分析的更广泛领域,或者没有涵盖所有胎儿的美国DL应用程序。本文调查了该领域的最新工作,2017年后共出版了145份研究论文。每份文件都从方法和应用角度进行分析和评论。我们将这些论文分为:(一) 胎儿标准仪学探测,(二) 解剖结构分析,(三) 生物测量参数估计。对每一类别,都提出了主要限制和开放问题。汇总表包括了便利不同方法之间的比较。也概述了通常用于评估算法绩效的公开数据集和性能衡量标准。本文最后从方法和应用角度对美国Fetal图像分析的DL算法现状作了批判性总结,并讨论了实地研究人员为将研究方法转化为实际临床实践而必须应对的当前挑战。

0
下载
关闭预览

相关内容

100+篇《自监督学习(Self-Supervised Learning)》论文最新合集
专知会员服务
167+阅读 · 2020年3月18日
Keras François Chollet 《Deep Learning with Python 》, 386页pdf
专知会员服务
163+阅读 · 2019年10月12日
强化学习最新教程,17页pdf
专知会员服务
182+阅读 · 2019年10月11日
[综述]深度学习下的场景文本检测与识别
专知会员服务
78+阅读 · 2019年10月10日
ACM MM 2022 Call for Papers
CCF多媒体专委会
5+阅读 · 2022年3月29日
IEEE TII Call For Papers
CCF多媒体专委会
3+阅读 · 2022年3月24日
AIART 2022 Call for Papers
CCF多媒体专委会
1+阅读 · 2022年2月13日
【ICIG2021】Latest News & Announcements of the Plenary Talk1
中国图象图形学学会CSIG
0+阅读 · 2021年11月1日
【ICIG2021】Latest News & Announcements of the Industry Talk1
中国图象图形学学会CSIG
0+阅读 · 2021年7月28日
Hierarchically Structured Meta-learning
CreateAMind
27+阅读 · 2019年5月22日
Unsupervised Learning via Meta-Learning
CreateAMind
43+阅读 · 2019年1月3日
A Technical Overview of AI & ML in 2018 & Trends for 2019
待字闺中
18+阅读 · 2018年12月24日
深度学习医学图像分析文献集
机器学习研究会
19+阅读 · 2017年10月13日
国家自然科学基金
0+阅读 · 2015年12月31日
国家自然科学基金
1+阅读 · 2014年12月31日
国家自然科学基金
0+阅读 · 2013年12月31日
国家自然科学基金
0+阅读 · 2012年12月31日
国家自然科学基金
0+阅读 · 2011年12月31日
国家自然科学基金
1+阅读 · 2009年12月31日
国家自然科学基金
0+阅读 · 2009年12月31日
国家自然科学基金
2+阅读 · 2009年12月31日
国家自然科学基金
6+阅读 · 2008年12月31日
Arxiv
2+阅读 · 2022年4月19日
Arxiv
27+阅读 · 2020年12月24日
Arxiv
17+阅读 · 2020年11月15日
Arxiv
13+阅读 · 2020年8月3日
Deep learning for cardiac image segmentation: A review
Arxiv
21+阅读 · 2019年11月9日
A Comprehensive Survey on Transfer Learning
Arxiv
121+阅读 · 2019年11月7日
Arxiv
12+阅读 · 2019年3月14日
VIP会员
相关资讯
ACM MM 2022 Call for Papers
CCF多媒体专委会
5+阅读 · 2022年3月29日
IEEE TII Call For Papers
CCF多媒体专委会
3+阅读 · 2022年3月24日
AIART 2022 Call for Papers
CCF多媒体专委会
1+阅读 · 2022年2月13日
【ICIG2021】Latest News & Announcements of the Plenary Talk1
中国图象图形学学会CSIG
0+阅读 · 2021年11月1日
【ICIG2021】Latest News & Announcements of the Industry Talk1
中国图象图形学学会CSIG
0+阅读 · 2021年7月28日
Hierarchically Structured Meta-learning
CreateAMind
27+阅读 · 2019年5月22日
Unsupervised Learning via Meta-Learning
CreateAMind
43+阅读 · 2019年1月3日
A Technical Overview of AI & ML in 2018 & Trends for 2019
待字闺中
18+阅读 · 2018年12月24日
深度学习医学图像分析文献集
机器学习研究会
19+阅读 · 2017年10月13日
相关论文
Arxiv
2+阅读 · 2022年4月19日
Arxiv
27+阅读 · 2020年12月24日
Arxiv
17+阅读 · 2020年11月15日
Arxiv
13+阅读 · 2020年8月3日
Deep learning for cardiac image segmentation: A review
Arxiv
21+阅读 · 2019年11月9日
A Comprehensive Survey on Transfer Learning
Arxiv
121+阅读 · 2019年11月7日
Arxiv
12+阅读 · 2019年3月14日
相关基金
国家自然科学基金
0+阅读 · 2015年12月31日
国家自然科学基金
1+阅读 · 2014年12月31日
国家自然科学基金
0+阅读 · 2013年12月31日
国家自然科学基金
0+阅读 · 2012年12月31日
国家自然科学基金
0+阅读 · 2011年12月31日
国家自然科学基金
1+阅读 · 2009年12月31日
国家自然科学基金
0+阅读 · 2009年12月31日
国家自然科学基金
2+阅读 · 2009年12月31日
国家自然科学基金
6+阅读 · 2008年12月31日
Top
微信扫码咨询专知VIP会员