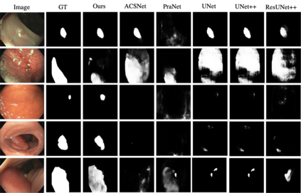
Polyp segmentation is of great importance in the early diagnosis and treatment of colorectal cancer. Since polyps vary in their shape, size, color, and texture, accurate polyp segmentation is very challenging. One promising way to mitigate the diversity of polyps is to model the contextual relation for each pixel such as using attention mechanism. However, previous methods only focus on learning the dependencies between the position within an individual image and ignore the contextual relation across different images. In this paper, we propose Duplex Contextual Relation Network (DCRNet) to capture both within-image and cross-image contextual relations. Specifically, we first design Interior Contextual-Relation Module to estimate the similarity between each position and all the positions within the same image. Then Exterior Contextual-Relation Module is incorporated to estimate the similarity between each position and the positions across different images. Based on the above two types of similarity, the feature at one position can be further enhanced by the contextual region embedding within and across images. To store the characteristic region embedding from all the images, a memory bank is designed and operates as a queue. Therefore, the proposed method can relate similar features even though they come from different images. We evaluate the proposed method on the EndoScene, Kvasir-SEG and the recently released large-scale PICCOLO dataset. Experimental results show that the proposed DCRNet outperforms the state-of-the-art methods in terms of the widely-used evaluation metrics.


翻译:在早期诊断和治疗直肠癌的过程中,聚合分割非常重要。 由于聚谱体的形状、大小、颜色和纹理各不相同, 准确的聚变分化非常具有挑战性。 减缓聚象体多样性的一个有希望的方法是模拟每个像素的背景关系, 如使用注意机制。 但是, 以往的方法只侧重于学习单个图像中的位置之间的依赖关系, 忽略不同图像之间的背景关系。 在本文中, 我们提议双倍背景关系关系网络( DCRNet) 以捕捉图像内部和交叉图像背景关系。 具体地说, 我们首先设计内部背景关系网络模块, 来估计每个位置和同一图像中的所有位置之间的相似性。 然后, 外貌背景关系模块用于估算每个位置和不同图像之间的位置之间的相似性。 根据以上两种相似性类型, 一个位置的特征可以被嵌入和跨图像的背景区域进一步加强。 存储从所有图像中嵌入的特性区域, 内存库和跨映射背景关系。 具体地说, 我们首先设计并运行内部环境关系模块模块中的拟议模型, 。 因此, East号 的缩缩缩缩缩缩缩缩缩缩略图方法将显示大的缩缩缩缩缩缩缩缩图。 。 。 。 拟议方法将最终的缩略图中的拟议方法将显示的缩略图的缩略图的缩略图的缩略图的缩略图中, 。

0
下载
关闭预览

相关内容

【AAAI2021】Graph Diffusion Network提升交通流量预测精度
专知会员服务
54+阅读 · 2021年1月21日
【WSDM2021】多交互注意力网络细粒度特征学习的CTR预测
专知会员服务
25+阅读 · 2020年12月27日
【ICLR-2020】网络反卷积,NETWORK DECONVOLUTION
专知会员服务
39+阅读 · 2020年2月21日
开源书:PyTorch深度学习起步
专知会员服务
51+阅读 · 2019年10月11日
【SIGGRAPH2019】TensorFlow 2.0深度学习计算机图形学应用
专知会员服务
41+阅读 · 2019年10月9日
最新BERT相关论文清单,BERT-related Papers
专知会员服务
53+阅读 · 2019年9月29日
内涵网络嵌入:Content-rich Network Embedding
我爱读PAMI
4+阅读 · 2019年11月5日
Hierarchically Structured Meta-learning
CreateAMind
27+阅读 · 2019年5月22日
Call for Participation: Shared Tasks in NLPCC 2019
中国计算机学会
5+阅读 · 2019年3月22日
一文带你读懂 SegNet(语义分割)
AI研习社
19+阅读 · 2019年3月9日
论文浅尝 | Global Relation Embedding for Relation Extraction
开放知识图谱
12+阅读 · 2019年3月3日
语义分割 | context relation
极市平台
8+阅读 · 2019年2月9日
Unsupervised Learning via Meta-Learning
CreateAMind
43+阅读 · 2019年1月3日
《pyramid Attention Network for Semantic Segmentation》
统计学习与视觉计算组
44+阅读 · 2018年8月30日
Capsule Networks解析
机器学习研究会
11+阅读 · 2017年11月12日
【推荐】用Tensorflow理解LSTM
机器学习研究会
36+阅读 · 2017年9月11日
Arxiv
10+阅读 · 2020年6月12日
UPSNet: A Unified Panoptic Segmentation Network
Arxiv
4+阅读 · 2019年1月12日
Arxiv
3+阅读 · 2018年3月5日
VIP会员
相关资讯
内涵网络嵌入:Content-rich Network Embedding
我爱读PAMI
4+阅读 · 2019年11月5日
Hierarchically Structured Meta-learning
CreateAMind
27+阅读 · 2019年5月22日
Call for Participation: Shared Tasks in NLPCC 2019
中国计算机学会
5+阅读 · 2019年3月22日
一文带你读懂 SegNet(语义分割)
AI研习社
19+阅读 · 2019年3月9日
论文浅尝 | Global Relation Embedding for Relation Extraction
开放知识图谱
12+阅读 · 2019年3月3日
语义分割 | context relation
极市平台
8+阅读 · 2019年2月9日
Unsupervised Learning via Meta-Learning
CreateAMind
43+阅读 · 2019年1月3日
《pyramid Attention Network for Semantic Segmentation》
统计学习与视觉计算组
44+阅读 · 2018年8月30日
Capsule Networks解析
机器学习研究会
11+阅读 · 2017年11月12日
【推荐】用Tensorflow理解LSTM
机器学习研究会
36+阅读 · 2017年9月11日
Top
微信扫码咨询专知VIP会员