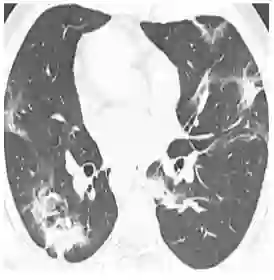
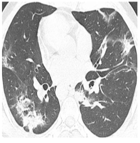
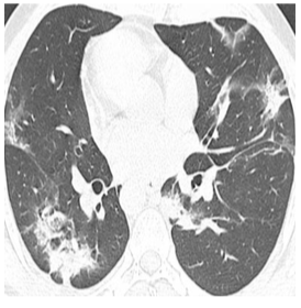
Until now, Coronavirus SARS-CoV-2 has caused more than 850,000 deaths and infected more than 27 million individuals in over 120 countries. Besides principal polymerase chain reaction (PCR) tests, automatically identifying positive samples based on computed tomography (CT) scans can present a promising option in the early diagnosis of COVID-19. Recently, there have been increasing efforts to utilize deep networks for COVID-19 diagnosis based on CT scans. While these approaches mostly focus on introducing novel architectures, transfer learning techniques, or construction large scale data, we propose a novel strategy to improve the performance of several baselines by leveraging multiple useful information sources relevant to doctors' judgments. Specifically, infected regions and heat maps extracted from learned networks are integrated with the global image via an attention mechanism during the learning process. This procedure not only makes our system more robust to noise but also guides the network focusing on local lesion areas. Extensive experiments illustrate the superior performance of our approach compared to recent baselines. Furthermore, our learned network guidance presents an explainable feature to doctors as we can understand the connection between input and output in a grey-box model.


翻译:到目前为止,Corona病毒SARS-COV-2已经造成超过850 000人死亡,并感染了120多个国家的2 700多万人。除了主要的聚合酶链反应(PCR)测试外,根据计算断层扫描自动识别阳性样本,在早期诊断COVID-19时可以提出一个很有希望的选择。最近,人们日益努力利用基于CT扫描的深层网络进行COVID-19诊断。这些方法主要侧重于引进新结构、转移学习技术或构建大规模数据,但我们提出了一项新颖的战略,通过利用与医生判断有关的多种有用的信息来源来改进若干基线的性能。具体地说,在学习过程中,通过关注机制将从所学网络中提取的受感染区域和热图与全球图像结合起来。这一程序不仅使我们的系统对噪音更加强大,而且还指导了以当地损害地区为重点的网络。广泛的实验显示了我们方法与最近的基线相比的优异性表现。此外,我们学习的网络指导为医生提供了一个可以解释的特征,因为我们能够理解在灰箱模型中输入和输出之间的关联。

0
下载
关闭预览

相关内容

【深度学习视频分析/多模态学习资源大列表】
专知会员服务
92+阅读 · 2019年10月16日
注意力机制介绍,Attention Mechanism
专知会员服务
171+阅读 · 2019年10月13日
强化学习最新教程,17页pdf
专知会员服务
182+阅读 · 2019年10月11日
【哈佛大学商学院课程Fall 2019】机器学习可解释性
专知会员服务
105+阅读 · 2019年10月9日
一文读懂Attention机制
机器学习与推荐算法
63+阅读 · 2020年6月9日
ICLR 2020会议的16篇最佳深度学习论文
AINLP
5+阅读 · 2020年5月12日
Hierarchically Structured Meta-learning
CreateAMind
27+阅读 · 2019年5月22日
Transferring Knowledge across Learning Processes
CreateAMind
29+阅读 · 2019年5月18日
Unsupervised Learning via Meta-Learning
CreateAMind
43+阅读 · 2019年1月3日
A Technical Overview of AI & ML in 2018 & Trends for 2019
待字闺中
18+阅读 · 2018年12月24日
条件GAN重大改进!cGANs with Projection Discriminator
CreateAMind
8+阅读 · 2018年2月7日
Arxiv
11+阅读 · 2019年4月15日
Arxiv
13+阅读 · 2019年4月9日
VIP会员
相关VIP内容
【深度学习视频分析/多模态学习资源大列表】
专知会员服务
92+阅读 · 2019年10月16日
注意力机制介绍,Attention Mechanism
专知会员服务
171+阅读 · 2019年10月13日
强化学习最新教程,17页pdf
专知会员服务
182+阅读 · 2019年10月11日
【哈佛大学商学院课程Fall 2019】机器学习可解释性
专知会员服务
105+阅读 · 2019年10月9日
Top
微信扫码咨询专知VIP会员