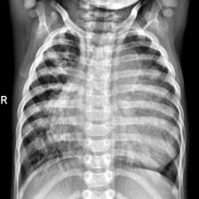
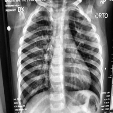
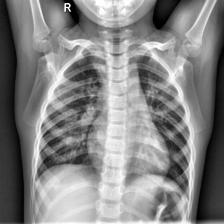
Coronavirus Disease 2019 (COVID-19) demonstrated the need for accurate and fast diagnosis methods for emergent viral diseases. Soon after the emergence of COVID-19, medical practitioners used X-ray and computed tomography (CT) images of patients' lungs to detect COVID-19. Machine learning methods are capable of improving the identification accuracy of COVID-19 in X-ray and CT images, delivering near real-time results, while alleviating the burden on medical practitioners. In this work, we demonstrate the efficacy of a support vector machine (SVM) classifier, trained with a combination of deep convolutional and handcrafted features extracted from X-ray chest scans. We use this combination of features to discriminate between healthy, common pneumonia, and COVID-19 patients. The performance of the combined feature approach is compared with a standard convolutional neural network (CNN) and the SVM trained with handcrafted features. We find that combining the features in our novel framework improves the performance of the classification task compared to the independent application of convolutional and handcrafted features. Specifically, we achieve an accuracy of 0.988 in the classification task with our combined approach compared to 0.963 and 0.983 accuracy for the handcrafted features with SVM and CNN respectively.


翻译:2019年科罗纳病毒疾病(COVID-19)表明需要准确和快速的诊断方法来治疗突发病毒疾病。在COVID-19出现后不久,医疗从业人员就使用X光和计算成的病人肺部透视图像来检测COVID-19。机器学习方法能够提高X光和CT图像中COVID-19的识别准确性,提供近实时结果,同时减轻医疗从业人员的负担。在这项工作中,我们展示了辅助矢量机(SVM)分类器(SVM)的功效,该分类机受过从X光胸部扫描中提取的深层脉冲和手动特征相结合的培训。我们使用这些特征组合来区分健康的、普通的肺炎和COVID-19病人。综合特征方法的性能与标准的脉冲神经神经网络(CNN)和受过手工制作特征培训的SVM相比。我们发现,将我们新框架的特征结合起来,与独立应用脉动和手动特征相比,可以提高分类工作的性能。具体地说,我们实现了0.983和0.983的精确度,与0.983和0.983的S手动方法相结合。

0
下载
关闭预览

相关内容

【柳叶刀】人工智能在COVID-19药物再利用中的应用
专知会员服务
25+阅读 · 2020年11月25日
《DeepGCNs: Making GCNs Go as Deep as CNNs》
专知会员服务
31+阅读 · 2019年10月17日
【新书】Python编程基础,669页pdf
专知会员服务
197+阅读 · 2019年10月10日
[综述]深度学习下的场景文本检测与识别
专知会员服务
78+阅读 · 2019年10月10日
深度卷积神经网络中的降采样
极市平台
12+阅读 · 2019年5月24日
无人机视觉挑战赛 | ICCV 2019 Workshop—VisDrone2019
PaperWeekly
7+阅读 · 2019年5月5日
深度自进化聚类:Deep Self-Evolution Clustering
我爱读PAMI
15+阅读 · 2019年4月13日
LibRec 精选:推荐系统的常用数据集
LibRec智能推荐
17+阅读 · 2019年2月15日
Hierarchical Imitation - Reinforcement Learning
CreateAMind
19+阅读 · 2018年5月25日
【推荐】图像分类必读开创性论文汇总
机器学习研究会
14+阅读 · 2017年8月15日
VIP会员
Top
微信扫码咨询专知VIP会员