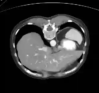
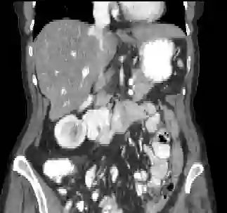
Recently, deep learning methods have achieved state-of-the-art performance in many medical image segmentation tasks. Many of these are based on convolutional neural networks (CNNs). For such methods, the encoder is the key part for global and local information extraction from input images; the extracted features are then passed to the decoder for predicting the segmentations. In contrast, several recent works show a superior performance with the use of transformers, which can better model long-range spatial dependencies and capture low-level details. However, transformer as sole encoder underperforms for some tasks where it cannot efficiently replace the convolution based encoder. In this paper, we propose a model with double encoders for 3D biomedical image segmentation. Our model is a U-shaped CNN augmented with an independent transformer encoder. We fuse the information from the convolutional encoder and the transformer, and pass it to the decoder to obtain the results. We evaluate our methods on three public datasets from three different challenges: BTCV, MoDA and Decathlon. Compared to the state-of-the-art models with and without transformers on each task, our proposed method obtains higher Dice scores across the board.


翻译:最近,深层学习方法在许多医学图像分割任务中取得了最先进的性能,其中许多是建立在进化神经网络(CNNs)基础上的。对于这种方法,编码器是从输入图像中提取全球和地方信息的关键部分;提取的特征随后传递到解码器,以预测分解。相比之下,最近的一些工程显示,利用变压器,使用变压器可以更好地模拟长距离空间依赖并捕捉低级细节,其性能优异。然而,变压器作为唯一编码器,在无法有效取代以进化为基础的编码器的一些任务中,其变压器处于不完善状态。在本文中,我们为3D生物医学图像分割提出了一个配有双重编码器的模型。我们的模型是U型CNN,配有独立的变压器编码器。我们将来自变压器和变压器的信息结合到解调器,以获得结果。我们从三种不同挑战中评估了我们三种公共数据集的方法:BTCV、MoDA和Decathlon。我们建议了一个模型,而每个变压了我们的变压器,而没有了一个州制。

0
下载
关闭预览

相关内容

100+篇《自监督学习(Self-Supervised Learning)》论文最新合集
专知会员服务
167+阅读 · 2020年3月18日
Stabilizing Transformers for Reinforcement Learning
专知会员服务
60+阅读 · 2019年10月17日
Keras François Chollet 《Deep Learning with Python 》, 386页pdf
专知会员服务
161+阅读 · 2019年10月12日
[综述]深度学习下的场景文本检测与识别
专知会员服务
78+阅读 · 2019年10月10日
机器学习入门的经验与建议
专知会员服务
94+阅读 · 2019年10月10日
【SIGGRAPH2019】TensorFlow 2.0深度学习计算机图形学应用
专知会员服务
41+阅读 · 2019年10月9日
VCIP 2022 Call for Demos
CCF多媒体专委会
1+阅读 · 2022年6月6日
VCIP 2022 Call for Special Session Proposals
CCF多媒体专委会
1+阅读 · 2022年4月1日
ACM MM 2022 Call for Papers
CCF多媒体专委会
5+阅读 · 2022年3月29日
AIART 2022 Call for Papers
CCF多媒体专委会
1+阅读 · 2022年2月13日
【ICIG2021】Latest News & Announcements of the Industry Talk1
中国图象图形学学会CSIG
0+阅读 · 2021年7月28日
Transferring Knowledge across Learning Processes
CreateAMind
29+阅读 · 2019年5月18日
Unsupervised Learning via Meta-Learning
CreateAMind
43+阅读 · 2019年1月3日
A Technical Overview of AI & ML in 2018 & Trends for 2019
待字闺中
18+阅读 · 2018年12月24日
【推荐】深度学习目标检测概览
机器学习研究会
10+阅读 · 2017年9月1日
国家自然科学基金
0+阅读 · 2013年12月31日
国家自然科学基金
0+阅读 · 2012年12月31日
国家自然科学基金
0+阅读 · 2012年12月31日
国家自然科学基金
0+阅读 · 2012年12月31日
国家自然科学基金
0+阅读 · 2012年12月31日
国家自然科学基金
0+阅读 · 2011年12月31日
国家自然科学基金
0+阅读 · 2011年12月31日
国家自然科学基金
0+阅读 · 2009年12月31日
国家自然科学基金
0+阅读 · 2009年12月31日
国家自然科学基金
14+阅读 · 2008年12月31日
Arxiv
0+阅读 · 2022年10月6日
Arxiv
0+阅读 · 2022年10月3日
Arxiv
11+阅读 · 2019年4月15日
Arxiv
21+阅读 · 2018年5月23日
VIP会员
相关资讯
VCIP 2022 Call for Demos
CCF多媒体专委会
1+阅读 · 2022年6月6日
VCIP 2022 Call for Special Session Proposals
CCF多媒体专委会
1+阅读 · 2022年4月1日
ACM MM 2022 Call for Papers
CCF多媒体专委会
5+阅读 · 2022年3月29日
AIART 2022 Call for Papers
CCF多媒体专委会
1+阅读 · 2022年2月13日
【ICIG2021】Latest News & Announcements of the Industry Talk1
中国图象图形学学会CSIG
0+阅读 · 2021年7月28日
Transferring Knowledge across Learning Processes
CreateAMind
29+阅读 · 2019年5月18日
Unsupervised Learning via Meta-Learning
CreateAMind
43+阅读 · 2019年1月3日
A Technical Overview of AI & ML in 2018 & Trends for 2019
待字闺中
18+阅读 · 2018年12月24日
【推荐】深度学习目标检测概览
机器学习研究会
10+阅读 · 2017年9月1日
相关基金
国家自然科学基金
0+阅读 · 2013年12月31日
国家自然科学基金
0+阅读 · 2012年12月31日
国家自然科学基金
0+阅读 · 2012年12月31日
国家自然科学基金
0+阅读 · 2012年12月31日
国家自然科学基金
0+阅读 · 2012年12月31日
国家自然科学基金
0+阅读 · 2011年12月31日
国家自然科学基金
0+阅读 · 2011年12月31日
国家自然科学基金
0+阅读 · 2009年12月31日
国家自然科学基金
0+阅读 · 2009年12月31日
国家自然科学基金
14+阅读 · 2008年12月31日
Top
微信扫码咨询专知VIP会员