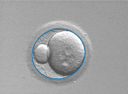
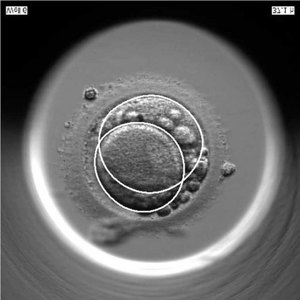
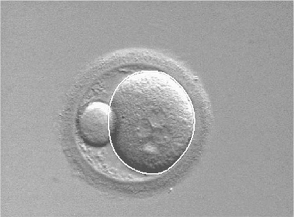
We present a novel method for identification of the boundary of embryonic cells (blastomeres) in Hoffman Modulation Contrast (HMC) microscopic images that are taken between day one to day three. Identification of boundaries of blastomeres is a challenging task, especially in the cases containing four or more cells. This is because these cells are bundled up tightly inside an embryo's membrane and any 2D image projection of such 3D embryo includes cell overlaps, occlusions, and projection ambiguities. Moreover, human embryos include fragmentation, which does not conform to any specific patterns or shape. Here we developed a model-based iterative approach, in which blastomeres are modeled as ellipses that conform to the local image features, such as edges and normals. In an iterative process, each image feature contributes only to one candidate and is removed upon being associated to a model candidate. We have tested the proposed algorithm on an image dataset comprising of 468 human embryos obtained from different sources. An overall Precision, Sensitivity and Overall Quality (OQ) of 92%, 88% and 83% are achieved.


翻译:我们在Hoffman Modulate Contrast (HMC) 的显微镜图象中提出了一种新的方法,用以确定胚胎细胞的界限(blastomeres),这些图象是在一天到三天之间拍摄的。 辨别爆炸粒子的界限是一项具有挑战性的任务, 特别是在含有四个或四个以上细胞的情况下。 这是因为这些细胞被紧紧地捆绑在胚胎的膜膜内, 任何这种3D胚胎的2D图像投影都包含细胞重叠、 隔离和投影模糊。 此外, 人类胚胎包括分裂, 不符合任何特定模式或形状。 我们在这里开发了一种基于模型的迭接合方法, 使爆炸粒子模拟为符合当地图像特征的椭圆形, 例如边缘和正常。 在迭接动过程中, 每个图像特征只对一名候选者有用, 并在与模型候选者联系起来时被删除。 我们测试了由不同来源的468个人类胚胎组成的图像数据集的算法。 总体精度、 感知性和总体质量( OQ) 达到92%、 88%和83%。

0
下载
关闭预览

相关内容

专知会员服务
61+阅读 · 2020年3月19日
【快讯】CVPR2020结果出炉,1470篇上榜, 你的paper中了吗?
[综述]深度学习下的场景文本检测与识别
专知会员服务
78+阅读 · 2019年10月10日
机器学习入门的经验与建议
专知会员服务
94+阅读 · 2019年10月10日
计算机 | 入门级EI会议ICVRIS 2019诚邀稿件
Call4Papers
10+阅读 · 2019年6月24日
Hierarchically Structured Meta-learning
CreateAMind
27+阅读 · 2019年5月22日
Transferring Knowledge across Learning Processes
CreateAMind
29+阅读 · 2019年5月18日
Unsupervised Learning via Meta-Learning
CreateAMind
43+阅读 · 2019年1月3日
A Technical Overview of AI & ML in 2018 & Trends for 2019
待字闺中
18+阅读 · 2018年12月24日
disentangled-representation-papers
CreateAMind
26+阅读 · 2018年9月12日
【论文】变分推断(Variational inference)的总结
机器学习研究会
39+阅读 · 2017年11月16日
Auto-Encoding GAN
CreateAMind
7+阅读 · 2017年8月4日
Arxiv
3+阅读 · 2018年2月24日
VIP会员
相关资讯
计算机 | 入门级EI会议ICVRIS 2019诚邀稿件
Call4Papers
10+阅读 · 2019年6月24日
Hierarchically Structured Meta-learning
CreateAMind
27+阅读 · 2019年5月22日
Transferring Knowledge across Learning Processes
CreateAMind
29+阅读 · 2019年5月18日
Unsupervised Learning via Meta-Learning
CreateAMind
43+阅读 · 2019年1月3日
A Technical Overview of AI & ML in 2018 & Trends for 2019
待字闺中
18+阅读 · 2018年12月24日
disentangled-representation-papers
CreateAMind
26+阅读 · 2018年9月12日
【论文】变分推断(Variational inference)的总结
机器学习研究会
39+阅读 · 2017年11月16日
Auto-Encoding GAN
CreateAMind
7+阅读 · 2017年8月4日
Top
微信扫码咨询专知VIP会员