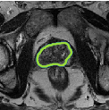
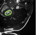
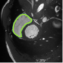
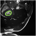
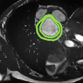
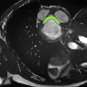
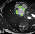
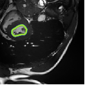
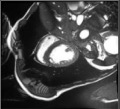
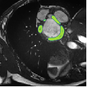
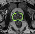
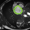
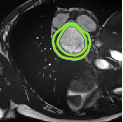
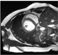
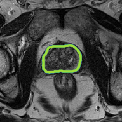
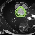
Despite their outstanding accuracy, semi-supervised segmentation methods based on deep neural networks can still yield predictions that are considered anatomically impossible by clinicians, for instance, containing holes or disconnected regions. To solve this problem, we present a Context-aware Virtual Adversarial Training (CaVAT) method for generating anatomically plausible segmentation. Unlike approaches focusing solely on accuracy, our method also considers complex topological constraints like connectivity which cannot be easily modeled in a differentiable loss function. We use adversarial training to generate examples violating the constraints, so the network can learn to avoid making such incorrect predictions on new examples, and employ the Reinforce algorithm to handle non-differentiable segmentation constraints. The proposed method offers a generic and efficient way to add any constraint on top of any segmentation network. Experiments on two clinically-relevant datasets show our method to produce segmentations that are both accurate and anatomically-plausible in terms of region connectivity.


翻译:尽管基于深神经网络的半监督分解方法非常精准,但基于深神经网络的半监督分解方法仍然能够产生临床医生认为无法解剖的预测,例如,含有孔或断开区域。为了解决这个问题,我们提出了一个在解剖中产生合理分解的环境觉觉觉虚拟反向培训(CaVAT)方法。与仅仅侧重于准确性的方法不同,我们的方法还考虑到复杂的地形限制,例如连接无法轻易地以不同损失功能的模式建模。我们使用对抗性培训来生成违反限制的实例,这样网络就可以学会避免在新例子上作出错误的预测,并使用“强化算法”处理非差别分解限制。拟议方法为在任何分解网络上添加任何限制提供了通用的高效方法。对两个临床相关数据集的实验表明我们产生既准确又具有解析性的区域连通性分解的方法。

0
下载
关闭预览

相关内容

专知会员服务
32+阅读 · 2021年6月12日
【Google】平滑对抗训练,Smooth Adversarial Training
专知会员服务
49+阅读 · 2020年7月4日
鲁棒机器学习相关文献集
专知
8+阅读 · 2019年8月18日
Hierarchically Structured Meta-learning
CreateAMind
27+阅读 · 2019年5月22日
Unsupervised Learning via Meta-Learning
CreateAMind
43+阅读 · 2019年1月3日
【SIGIR2018】五篇对抗训练文章
专知
12+阅读 · 2018年7月9日
STRCF for Visual Object Tracking
统计学习与视觉计算组
15+阅读 · 2018年5月29日
Hierarchical Disentangled Representations
CreateAMind
4+阅读 · 2018年4月15日
gan生成图像at 1024² 的 代码 论文
CreateAMind
4+阅读 · 2017年10月31日
Auto-Encoding GAN
CreateAMind
7+阅读 · 2017年8月4日
VIP会员
相关资讯
鲁棒机器学习相关文献集
专知
8+阅读 · 2019年8月18日
Hierarchically Structured Meta-learning
CreateAMind
27+阅读 · 2019年5月22日
Unsupervised Learning via Meta-Learning
CreateAMind
43+阅读 · 2019年1月3日
【SIGIR2018】五篇对抗训练文章
专知
12+阅读 · 2018年7月9日
STRCF for Visual Object Tracking
统计学习与视觉计算组
15+阅读 · 2018年5月29日
Hierarchical Disentangled Representations
CreateAMind
4+阅读 · 2018年4月15日
gan生成图像at 1024² 的 代码 论文
CreateAMind
4+阅读 · 2017年10月31日
Auto-Encoding GAN
CreateAMind
7+阅读 · 2017年8月4日
Top
微信扫码咨询专知VIP会员