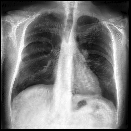
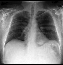
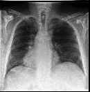
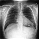
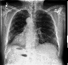
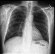
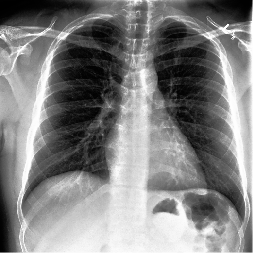
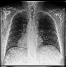
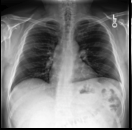
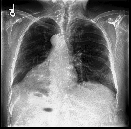
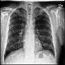
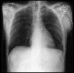
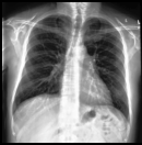
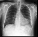
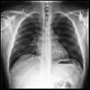
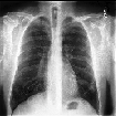
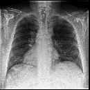
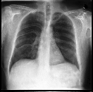
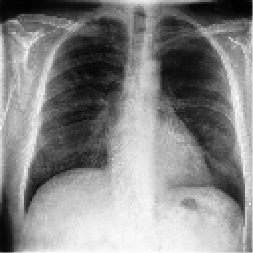
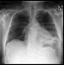
Disease-aware image editing by means of generative adversarial networks (GANs) constitutes a promising avenue for advancing the use of AI in the healthcare sector. Here, we present a proof of concept of this idea. While GAN-based techniques have been successful in generating and manipulating natural images, their application to the medical domain, however, is still in its infancy. Working with the CheXpert data set, we show that StyleGAN can be trained to generate realistic chest X-rays. Inspired by the Cyclic Reverse Generator (CRG) framework, we train an encoder that allows for faithfully inverting the generator on synthetic X-rays and provides organ-level reconstructions of real ones. Employing a guided manipulation of latent codes, we confer the medical condition of cardiomegaly (increased heart size) onto real X-rays from healthy patients. This work was presented in the Medical Imaging meets Neurips Workshop 2020, which was held as part of the 34th Conference on Neural Information Processing Systems (NeurIPS 2020) in Vancouver, Canada


翻译:通过基因对抗网络(GANs)对疾病感官图像进行编辑,通过基因对抗网络(GANs)是推动在保健部门使用AI的有希望的途径。这里,我们展示了这一理念的概念。GAN型技术成功地生成和操纵了自然图像,但其应用于医疗领域的应用仍处于初级阶段。与CheXpert数据集合作,我们显示StyGAN可以接受培训,以产生现实的胸腔X光片。在Cyclic逆向生成器(CRG)框架的启发下,我们培训了一种编码,使该编码能够忠实地在合成X光上翻转生成器,并提供对真实代码进行器官层面的重建。我们利用了对潜在代码的引导操纵,将心型(心脏尺寸增加)的健康状况授予健康病人的真正的X射线。这项工作在作为加拿大温哥华第34次神经信息处理系统会议(NeurIPS 2020)的一部分举行的医学成像会议2020年Neurips讲习班上作了介绍。

0
下载
关闭预览

相关内容

因果图,Causal Graphs,52页ppt
专知会员服务
253+阅读 · 2020年4月19日
计算机 | 入门级EI会议ICVRIS 2019诚邀稿件
Call4Papers
10+阅读 · 2019年6月24日
CCF C类 | DSAA 2019 诚邀稿件
Call4Papers
6+阅读 · 2019年5月13日
IEEE | DSC 2019诚邀稿件 (EI检索)
Call4Papers
10+阅读 · 2019年2月25日
【TED】什么让我们生病
英语演讲视频每日一推
7+阅读 · 2019年1月23日
Unsupervised Learning via Meta-Learning
CreateAMind
43+阅读 · 2019年1月3日
A Technical Overview of AI & ML in 2018 & Trends for 2019
待字闺中
18+阅读 · 2018年12月24日
条件GAN重大改进!cGANs with Projection Discriminator
CreateAMind
8+阅读 · 2018年2月7日
随波逐流:Similarity-Adaptive and Discrete Optimization
我爱读PAMI
5+阅读 · 2018年2月6日
gan生成图像at 1024² 的 代码 论文
CreateAMind
4+阅读 · 2017年10月31日
深度学习医学图像分析文献集
机器学习研究会
19+阅读 · 2017年10月13日
Arxiv
3+阅读 · 2021年6月9日
Arxiv
16+阅读 · 2021年1月27日
VIP会员
相关VIP内容
因果图,Causal Graphs,52页ppt
专知会员服务
253+阅读 · 2020年4月19日
相关资讯
计算机 | 入门级EI会议ICVRIS 2019诚邀稿件
Call4Papers
10+阅读 · 2019年6月24日
CCF C类 | DSAA 2019 诚邀稿件
Call4Papers
6+阅读 · 2019年5月13日
IEEE | DSC 2019诚邀稿件 (EI检索)
Call4Papers
10+阅读 · 2019年2月25日
【TED】什么让我们生病
英语演讲视频每日一推
7+阅读 · 2019年1月23日
Unsupervised Learning via Meta-Learning
CreateAMind
43+阅读 · 2019年1月3日
A Technical Overview of AI & ML in 2018 & Trends for 2019
待字闺中
18+阅读 · 2018年12月24日
条件GAN重大改进!cGANs with Projection Discriminator
CreateAMind
8+阅读 · 2018年2月7日
随波逐流:Similarity-Adaptive and Discrete Optimization
我爱读PAMI
5+阅读 · 2018年2月6日
gan生成图像at 1024² 的 代码 论文
CreateAMind
4+阅读 · 2017年10月31日
深度学习医学图像分析文献集
机器学习研究会
19+阅读 · 2017年10月13日
Top
微信扫码咨询专知VIP会员