学历越高,大脑退化越慢!这项历时7年的研究出结果了

2022 年 1 月 2 日 量子位
明敏 发自 凹非寺
量子位 报道 | 公众号 QbitAI

学历高低会影响大脑退化速度?

最近,苏黎世大学的一项研究表明,受教育程度高的老人大脑中的一些退化迹象明显更少。

而且面对不可避免的认知功能下降,这些老年人的大脑还能起到很好的补偿作用,从而让老人们保持在更高的智力水平上。

最近,这一研究在Reddit上火了,获赞300+。

网友们纷纷留言表示:

由此看来,老人去老年大学学习,确实是避免阿尔兹海默症的一个好途径。

并且该研究显示,受调查的这群高学历老人社交生活更为丰富、处理信息的速度也更快。

看来,不只是找工作,避免老年痴呆也需要学历助一臂之力啊。

学历越高的老人大脑退化更慢

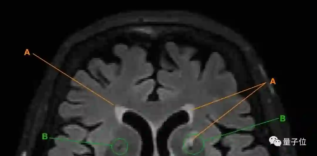
得出以上结论,研究人员主要是通过追踪老人大脑中脑白质高信号(WMH)腔隙的变化来实现的。

A为脑白质高信号;B为腔隙

以上两种现象都是脑小血管病(CSVD)的主要表现。

这种疾病在老年人群体中高发,会表现出情感障碍、认知功能下降等症状,

也就是说,当老人的大脑中出现脑白质高信号、腔隙变多变大等情况,就意味着老人的大脑可能在发生退化。

在此基础上,研究人员针对200多位智力水平正常的老人,展开了为期7年的跟踪调查。

他们定期使用核磁共振成像来扫描实验对象大脑,并对其心理健康密切关注。

其中,高中以下学历背景的老人有60位,高中或高职学历背景的老人有42位,大学及以上学历背景的老人有108位

总体来看,调查7年内脑白质高信号(WMH)显著增加,平均每年增长量为7.9%

单看年龄、性别、教育等方面因素,下表中I表示为线性关系函数的截距,S表示为线性关系函数的斜率。

其中,年龄与WMH呈正比例关系,随着年龄增大、WMH增多。

教育背景则与WMH呈反比例关系,即所受教育程度越高,WMH增多越不明显。

而且研究人员发现,不只是大脑中的变化,学历背景越高的老人社交活动更为丰富,心理健康水平下降也更不明显。

不过研究人员也提到,目前还不能证明受教育程度与大脑退化减弱之间存在因果关系

但有几点是可以推测的:

我们认为受到的教育越多,大脑中的神经网络也会相应增加。并且高学历背景人士的大脑,到了老年还会更好弥补其自身发生的损伤。

该研究通讯作者Lutz Jncke补充道:大脑一直活跃到老年,可能不易受到退化的影响。这还需要日后更长期的研究予以证实。

Lutz Jncke是苏黎世大学神经心理学方面的教授。

此前他已经在学术期刊上发表论文超400篇,论文被引用次数超4w。

One More Thing

在去年5月,《美国国家科学院院刊(PNAS)》上的一项研究,也揭示了大脑与受教育程度之间的关系。

挪威奥斯陆大学领导的国际研究团队从脑组织萎缩的角度展开研究,对超过2000人的脑部扫描。

结果发现,受教育程度对大脑延缓衰老并没有什么保护作用。随着时间推移,受教育程度较高的人脑组织损失的速度与其他人一样快。

简而言之, 在脑组织萎缩面前,几乎人人平等

不过该研究表示:受教育程度越高还是可以保护大脑避免痴呆症风险因素的影响。

论文地址:
https://www.sciencedirect.com/science/article/pii/S2213158221003284?via%3Dihub

参考链接:
[1]https://www.reddit.com/r/science/comments/rss9k4/academic_education_can_positively_affect_aging_of/

[2]https://www.pnas.org/content/118/18/e2101644118
[3]https://www.media.uzh.ch/en/Press-Releases/2021/Aging-of-the-Brain.html

本文系网易新闻•网易号特色内容激励计划签约账号【量子位】原创内容,未经账号授权,禁止随意转载。

「智能汽车」交流群招募中!

欢迎关注智能汽车、自动驾驶的小伙伴们加入社群,与行业大咖交流、切磋,不错过智能汽车行业发展&技术进展。

ps.加好友请务必备注您的姓名-公司-职位哦~


点这里👇关注我,记得标星哦~

一键三连「分享」、「点赞」和「在看」

科技前沿进展日日相见~


登录查看更多
0

相关内容

《2021-2022全球计算力指数评估报告》,46页pdf
专知会员服务
74+阅读 · 2022年3月25日
36氪研究院 | 2021年中国医疗AI行业研究报告,40页pdf
专知会员服务
84+阅读 · 2021年12月22日
【AAAI2021】记忆门控循环网络
专知会员服务
50+阅读 · 2020年12月28日
机器学习的可解释性
专知会员服务
178+阅读 · 2020年8月27日
【ICLR2020】图神经网络与图像处理,微分方程,27页ppt
专知会员服务
48+阅读 · 2020年6月6日
别忽视新冠轻症,它会损害你的记忆力
量子位
0+阅读 · 2022年1月21日
国家自然科学基金
0+阅读 · 2012年12月31日
国家自然科学基金
0+阅读 · 2012年12月31日
国家自然科学基金
0+阅读 · 2012年12月31日
国家自然科学基金
0+阅读 · 2012年12月31日
国家自然科学基金
0+阅读 · 2011年12月31日
国家自然科学基金
0+阅读 · 2011年12月31日
国家自然科学基金
0+阅读 · 2011年12月31日
国家自然科学基金
1+阅读 · 2009年12月31日
Arxiv
0+阅读 · 2022年4月20日
Interpretable CNNs for Object Classification
Arxiv
20+阅读 · 2020年3月12日
VIP会员
相关VIP内容
相关基金
国家自然科学基金
0+阅读 · 2012年12月31日
国家自然科学基金
0+阅读 · 2012年12月31日
国家自然科学基金
0+阅读 · 2012年12月31日
国家自然科学基金
0+阅读 · 2012年12月31日
国家自然科学基金
0+阅读 · 2011年12月31日
国家自然科学基金
0+阅读 · 2011年12月31日
国家自然科学基金
0+阅读 · 2011年12月31日
国家自然科学基金
1+阅读 · 2009年12月31日
Top
微信扫码咨询专知VIP会员