DOTA 打多了,大脑真的会萎缩

2017 年 8 月 27 日 PingWest品玩 DeepTech深科技

本文授权转载自:DeepTech深科技(mit-tr)

作者:陈翔宇


很多人应该都是听过打游戏可以益智健脑,一些 DOTA 玩家会宣称打游戏可以提高计算能力和反应神经来为打通宵的自己找心理安慰。

学界也有论文支持打游戏可以提升推理能力的假设,比如硕士论文《电脑益智游戏与国小学童推理思考过程之研究》中就发现益智游戏可以提升小学生的解题能力。

但事实是否如此呢?是否所有游戏都具备这种功能呢?

一项由加拿大蒙特利尔大学(University of Montreal)心理学副教授 Greg West 第一作者发表于8月8日《分子精神病学》的研究全面的否定了这种说法。

West 发现,与正常人相比,长期玩动作类游戏会让大脑海马体灰质的质量明显减少—即海马体萎缩,后果十分严重,这会提高抑郁症、精神分裂、创伤后应激障碍(PTSD)、以及阿兹海默症等脑疾病的风险。

“玩电脑游戏确实对部分认知系统有一定益处,比如大脑中与短期记忆和视觉注意力相关的那部分。但是行为证据显示,这种益处很有可能是以影响海马体为代价的。”

研究人员分别对长期动作类游戏玩家和正常人的大脑进行了扫描,并且对研究对象进行了长期的研究,以确认因果关系。最终,他们可以确认,动作游戏玩家群体中海马体萎缩的确是玩游戏导致的。

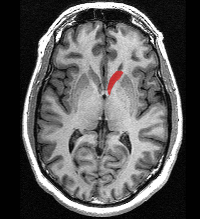
图 | 海马体

人脑中的海马体(Hippocampus)主要负责定向功能(又称“空间记忆”)和长期记忆(又称“情节记忆”)。

空间记忆十分强大的人,比如大城市里的出租车司机的海马体通常会比较发达。之前的一项伦敦出租车司机研究证明了这一点。而发达的海马体含有更多灰质,通常意味着一个更健康的大脑。

不过游戏对大脑的影响不是直接作用于海马体产生的。而是与大脑中另一个重要区域——基底核(Striatum)中的尾状核(Caudate nucleus)有关。

尾状核(Caudate nucleus)负责身体中两个非常重要的功能:“自动导航”和“奖励”功能,这两个功能指导吃喝拉撒睡等维持生命的行为,也可以帮助形成各种惯性行为,比如骑自行车,而这类行为或习惯都是下意识的。而海马体影响的是空间记忆,需要很强的的主观能动性。


图 | 基底核中的尾状核

研究人员们发现,游戏对尾状核的刺激要远大于海马体:85% 的玩家都依靠着尾状核来引导他们进行游戏。然而,过度刺激尾状核往往会导致对海马体的刺激不足,因此损失细胞,直至萎缩。

对于“打游戏有益于大脑”的说法,研究人员警示,“如果动作类游戏可以导致海马体灰质的减少,那么就应该谨慎向儿童、青年人、以及中老年人宣传其对视觉短暂记忆和视觉注意力的益处。这些能力的提高是有代价的。”

更重要的是,患有帕金森综合征和痴呆症、阿兹海默症、精神分裂症、抑郁症、以及创伤后应激障碍等具有海马体萎缩情况的患者更不应该以游戏“治病”。

但是,研究人员们并没有一棍子打死电脑游戏。他们在实验过程中发现,还是有办法用另一种类型的电脑游戏逆转甚至增加海马体灰质的。

研究人员们一共挑选了 51 名男性和 46 名女性进行了长期游戏的实验。这些实验人员都需要玩满一共 90 个小时的《使命召唤》,《杀戮地带》,《无主之地 2》等动作类游戏,或者 90 个小时《超级玛丽》系列中的 3D 游戏(非动作类游戏)。

首先,研究人员需要辨别出受试者中属于“位置学习”(注重使用海马体)和“反应学习”(注重使用奖励系统)的人,然后选择这两种人群最常用的“4 on 8 Virtual Maze”(四通八达虚拟迷宫)。

在这个迷宫里,玩家需要从中心沿着4条完全一致的通道往外走,边走边收集任务目标。之后,他们需要再走一次迷宫,只不过这次一共有8条通道了。

在第二次走迷宫中,需要一定策略来避免重复第一次已经走过的通道。但是这两类人群分别有不同的策略。

位置学习人群会以背景中的山,树,以及岩石等地标来判断自己的位置。而反应学习人群则会忽略地标,而是依靠牢记从始发地左拐右拐的顺序来记住自己的位置。将两种人进行分类是为了进一步细化结果。

图 | 只能通过地标,地貌,和后期打造的指北针进行导航的游戏:《Savage Lands》(野蛮之地)

在受试者玩完 90 个小时的动作类或 3D 游戏后,研究人员们发现,在相同的时间下,这两种游戏造成了两种截然不同的结果。

在反应学习人群中,90 个小时的动作游戏造成了可见的海马体萎缩。而 90 个小时的 3D 游戏在所有实验人员中都实现了海马体灰质的增加。

对此结果,研究人员们表示:“由于结果显示了在进行游戏时,使用空间策略与海马体灰质的增加有关联,反应学习人群很有可能通过这种方式抵消动作类游戏对海马体的负面影响。”

简单来说,游戏开发商可以通过改变游戏的设计来避免对玩家大脑的影响。

图 | 连指北针都没有,只能完全依靠地标,地貌,以及雪中短暂存留的脚印实现导航的游戏:《The Long Dark》(漫长黑夜)

对于这一点,大型沙盒类游戏,不论是否属于动作类,都有天然的优势(小编深有体会)。

在海外大型游戏平台 Steam(蒸汽动力)上,有许多新兴的生存冒险类动作游戏都选择了抛弃 GPS,地图,指标,以及路径提示,比如《Savage Lands》(野蛮之地)和《The Long Dark》(漫长黑夜)。

在这些游戏里玩家只能依靠对地标和地貌的记忆,最多有个基本的指南针,来进行导航。游戏开发人员这么做是为了呈现最真实化的游戏体验。然而,之前没有人预料得到,这么做竟然能够真正的“益智”。

登录查看更多
0

相关内容

AI创新者:破解项目绩效的密码
专知会员服务
35+阅读 · 2020年6月21日
《强化学习》简介小册,24页pdf
专知会员服务
280+阅读 · 2020年4月19日
【强化学习】深度强化学习初学者指南
专知会员服务
184+阅读 · 2019年12月14日
Nature 一周论文导读 | 2019 年 2 月 28 日
科研圈
13+阅读 · 2019年3月10日
盘点2017年度AI领域大事件
大数据文摘
5+阅读 · 2017年12月9日
人工神经网络是否模拟了人类大脑?
数说工作室
10+阅读 · 2017年7月19日
谈谈王者荣耀
小道消息
4+阅读 · 2017年7月6日
Deep Reinforcement Learning: An Overview
Arxiv
17+阅读 · 2018年11月26日
Arxiv
3+阅读 · 2018年10月8日
Arxiv
11+阅读 · 2018年7月31日
Arxiv
4+阅读 · 2018年6月1日
VIP会员
相关资讯
Nature 一周论文导读 | 2019 年 2 月 28 日
科研圈
13+阅读 · 2019年3月10日
盘点2017年度AI领域大事件
大数据文摘
5+阅读 · 2017年12月9日
人工神经网络是否模拟了人类大脑?
数说工作室
10+阅读 · 2017年7月19日
谈谈王者荣耀
小道消息
4+阅读 · 2017年7月6日
Top
微信扫码咨询专知VIP会员