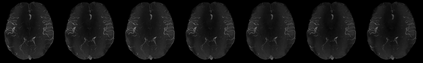
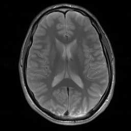
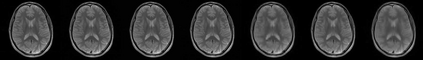
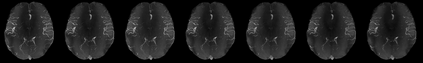
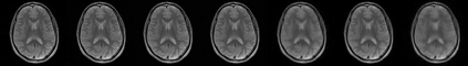
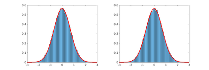
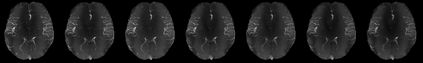
Magnetic Resonance Imaging (MRI) has excellent soft tissue contrast but is hindered by an inherently slow data acquisition process. Compressed sensing, which reconstructs sparse signals from incoherently sampled data, has been widely applied to accelerate MRI acquisitions. Compressed sensing MRI requires one or more model parameters to be tuned, which is usually done by hand, giving sub-optimal tuning in general. To address this issue, we build on previous work by the authors on the single-coil Variable Density Approximate Message Passing (VDAMP) algorithm, extending the framework to multiple receiver coils to propose the Parallel VDAMP (P-VDAMP) algorithm. For Bernoulli random variable density sampling, P-VDAMP obeys a "state evolution", where the intermediate per-iteration image estimate is distributed according to the ground truth corrupted by a zero-mean Gaussian vector with approximately known covariance. To our knowledge, P-VDAMP is the first algorithm for multi-coil MRI data that obeys a state evolution with accurately tracked parameters. We leverage state evolution to automatically tune sparse parameters on-the-fly with Stein's Unbiased Risk Estimate (SURE). P-VDAMP is evaluated on brain, knee and angiogram datasets and compared with four variants of the Fast Iterative Shrinkage-Thresholding algorithm (FISTA), including two tuning-free variants from the literature. The proposed method is found to have a similar reconstruction quality and time to convergence as FISTA with an optimally tuned sparse weighting and offers substantial robustness and reconstruction quality improvements over competing tuning-free methods.


翻译:磁共振成像( MRI) 具有极好的软组织对比, 但却受到一个内在缓慢的数据采集过程的阻碍。 压缩的感测, 重建了来自不连贯抽样数据的微弱信号, 被广泛用于加速MRI的获取。 压缩的感测磁共振需要一种或多种模型参数来调整, 通常通过手动进行, 并进行一般的亚最佳调试。 为了解决这个问题, 我们以作者以前关于单层流体自由变异调调频传递信息( VDAMP) 算法( VDAMP) 的计算法为基础, 将框架扩展至多个接收器螺旋, 以提议平行的 VDAMP (P- VDAMMP) 算法。 对于Bernoulli 随机随机随机随机的密度取样, P- VDAM 执行一个“ 状态变异性”, 中间值图像估测算法被零度高度的高度矢量变异性。 据我们所知, P- VDAM 是在多层流流数据中找到的第一个算算法, 符合州变异性变异性变异性数据, 和大脑变异性变异性变异性变数, 我们利用了一种动态变压的变压法, 将风险变压的变压数据 向向向 。

0
下载
关闭预览

相关内容

压缩感知是近年来极为热门的研究前沿,在若干应用领域中都引起瞩目。 compressive sensing(CS) 又称 compressived sensing ,compressived sample,大意是在采集信号的时候(模拟到数字),同时完成对信号压缩之意。 与稀疏表示不同,压缩感知关注的是如何利用信号本身所具有的稀疏性,从部分观测样本中恢复原信号。
专知会员服务
51+阅读 · 2020年12月14日
【干货书】机器学习速查手册,135页pdf
专知会员服务
127+阅读 · 2020年11月20日
专知会员服务
54+阅读 · 2020年9月7日
Fariz Darari简明《博弈论Game Theory》介绍,35页ppt
专知会员服务
112+阅读 · 2020年5月15日
强化学习最新教程,17页pdf
专知会员服务
182+阅读 · 2019年10月11日
ACM MM 2022 Call for Papers
CCF多媒体专委会
5+阅读 · 2022年3月29日
IEEE TII Call For Papers
CCF多媒体专委会
3+阅读 · 2022年3月24日
【ICIG2021】Check out the hot new trailer of ICIG2021 Symposium9
中国图象图形学学会CSIG
0+阅读 · 2021年12月17日
【ICIG2021】Check out the hot new trailer of ICIG2021 Symposium6
中国图象图形学学会CSIG
2+阅读 · 2021年11月12日
【ICIG2021】Check out the hot new trailer of ICIG2021 Symposium4
中国图象图形学学会CSIG
0+阅读 · 2021年11月10日
【ICIG2021】Check out the hot new trailer of ICIG2021 Symposium2
中国图象图形学学会CSIG
0+阅读 · 2021年11月8日
【ICIG2021】Check out the hot new trailer of ICIG2021 Symposium1
中国图象图形学学会CSIG
0+阅读 · 2021年11月3日
Hierarchically Structured Meta-learning
CreateAMind
27+阅读 · 2019年5月22日
Unsupervised Learning via Meta-Learning
CreateAMind
43+阅读 · 2019年1月3日
A Technical Overview of AI & ML in 2018 & Trends for 2019
待字闺中
18+阅读 · 2018年12月24日
国家自然科学基金
0+阅读 · 2014年12月31日
国家自然科学基金
0+阅读 · 2012年12月31日
国家自然科学基金
0+阅读 · 2009年12月31日
国家自然科学基金
0+阅读 · 2008年12月31日
Arxiv
0+阅读 · 2022年6月14日
VIP会员
相关VIP内容
专知会员服务
51+阅读 · 2020年12月14日
【干货书】机器学习速查手册,135页pdf
专知会员服务
127+阅读 · 2020年11月20日
专知会员服务
54+阅读 · 2020年9月7日
Fariz Darari简明《博弈论Game Theory》介绍,35页ppt
专知会员服务
112+阅读 · 2020年5月15日
强化学习最新教程,17页pdf
专知会员服务
182+阅读 · 2019年10月11日
相关资讯
ACM MM 2022 Call for Papers
CCF多媒体专委会
5+阅读 · 2022年3月29日
IEEE TII Call For Papers
CCF多媒体专委会
3+阅读 · 2022年3月24日
【ICIG2021】Check out the hot new trailer of ICIG2021 Symposium9
中国图象图形学学会CSIG
0+阅读 · 2021年12月17日
【ICIG2021】Check out the hot new trailer of ICIG2021 Symposium6
中国图象图形学学会CSIG
2+阅读 · 2021年11月12日
【ICIG2021】Check out the hot new trailer of ICIG2021 Symposium4
中国图象图形学学会CSIG
0+阅读 · 2021年11月10日
【ICIG2021】Check out the hot new trailer of ICIG2021 Symposium2
中国图象图形学学会CSIG
0+阅读 · 2021年11月8日
【ICIG2021】Check out the hot new trailer of ICIG2021 Symposium1
中国图象图形学学会CSIG
0+阅读 · 2021年11月3日
Hierarchically Structured Meta-learning
CreateAMind
27+阅读 · 2019年5月22日
Unsupervised Learning via Meta-Learning
CreateAMind
43+阅读 · 2019年1月3日
A Technical Overview of AI & ML in 2018 & Trends for 2019
待字闺中
18+阅读 · 2018年12月24日
相关基金
国家自然科学基金
0+阅读 · 2014年12月31日
国家自然科学基金
0+阅读 · 2012年12月31日
国家自然科学基金
0+阅读 · 2009年12月31日
国家自然科学基金
0+阅读 · 2008年12月31日
Top
微信扫码咨询专知VIP会员