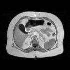
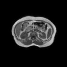
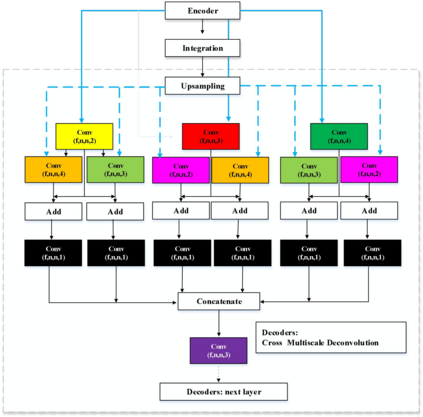
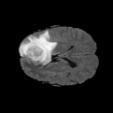
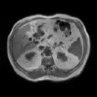
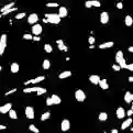
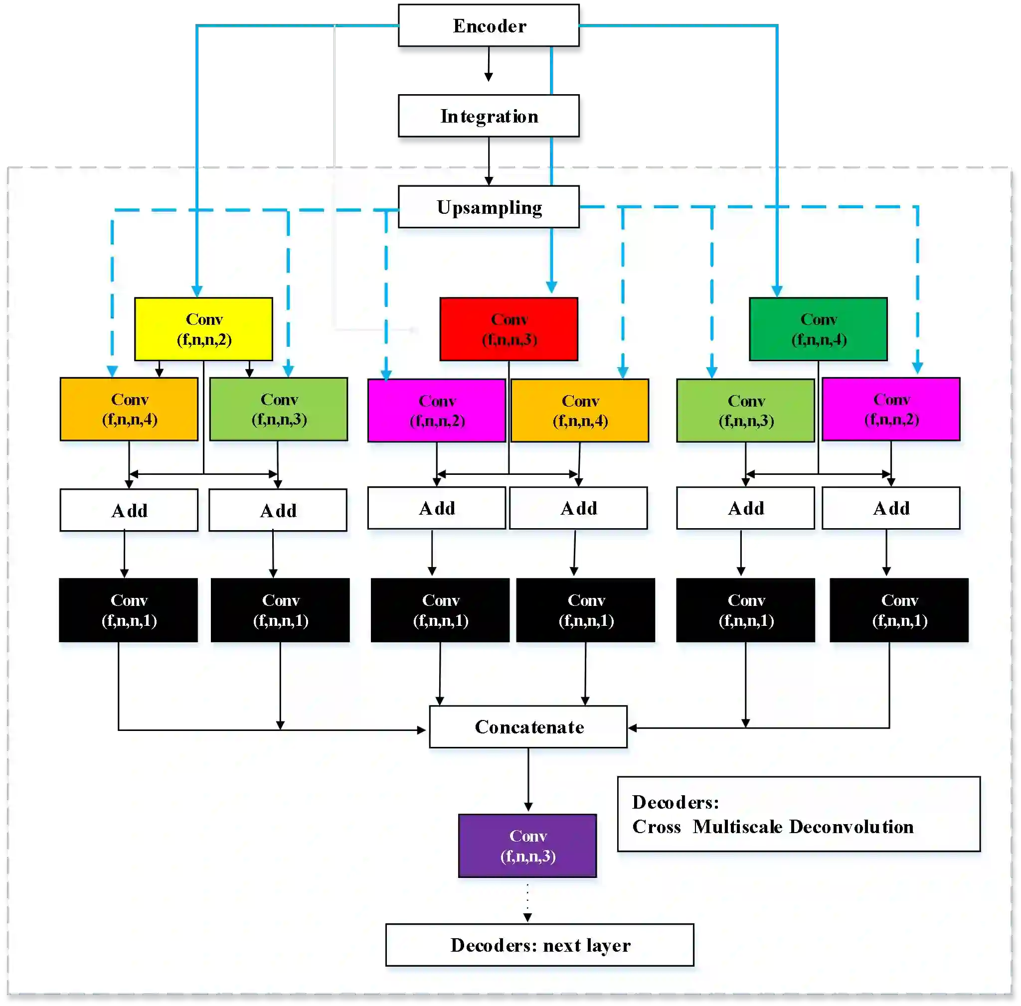
To better retain the deep features of an image and solve the sparsity problem of the end-to-end segmentation model, we propose a new deep convolutional network model for medical image pixel segmentation, called MC-Net. The core of this network model consists of four parts, namely, an encoder network, a multiple max-pooling integration module, a cross multiscale deconvolution decoder network and a pixel-level classification layer. In the network structure of the encoder, we use multiscale convolution instead of the traditional single-channel convolution. The multiple max-pooling integration module first integrates the output features of each submodule of the encoder network and reduces the number of parameters by convolution using a kernel size of 1. At the same time, each max-pooling layer (the pooling size of each layer is different) is spliced after each convolution to achieve the translation invariance of the feature maps of each submodule. We use the output feature maps from the multiple max-pooling integration module as the input of the decoder network; the multiscale convolution of each submodule in the decoder network is cross-fused with the feature maps generated by the corresponding multiscale convolution in the encoder network. Using the above feature map processing methods solves the sparsity problem after the max-pooling layer-generating matrix and enhances the robustness of the classification. We compare our proposed model with the well-known Fully Convolutional Networks for Semantic Segmentation (FCNs), DecovNet, PSPNet, U-net, SgeNet and other state-of-the-art segmentation networks such as HyperDenseNet, MS-Dual, Espnetv2, Denseaspp using one binary Kaggle 2018 data science bowl dataset and two multiclass dataset and obtain encouraging experimental results.


翻译:为了更好地保留图像的深度特性并解决端到端分割模型的广度问题,我们建议为医学图像像素分割模式(称为 MC-Net ) 建立一个新的深相变异网络模型模式。 网络模型的核心由四个部分组成, 即: 编码器网络、 多个最大集合集成模块、 跨多级分解解解解调网络 和像素级分类层 。 在编码器的网络结构中, 我们使用多级网络变换, 而不是传统的单级循环。 多级最大数据融合模块首先整合了编码网络每个子模块的输出功能, 并使用1 个内层大小的内脏变换码网络, 同时, 每个最大集合层( 每个层的集合体积大小不同) 在每次变相后, 我们使用多级混合集成集成模块的输出特征图, 以作为电解解解码网络的每个子流流流流流化网络的输出功能, 并且使用多级的内层变变的内存数据 。

1
下载
关闭预览

相关内容

Integration:Integration, the VLSI Journal。 Explanation:集成,VLSI杂志。 Publisher:Elsevier。 SIT:http://dblp.uni-trier.de/db/journals/integration/
Stabilizing Transformers for Reinforcement Learning
专知会员服务
60+阅读 · 2019年10月17日
Transferring Knowledge across Learning Processes
CreateAMind
29+阅读 · 2019年5月18日
disentangled-representation-papers
CreateAMind
26+阅读 · 2018年9月12日
《pyramid Attention Network for Semantic Segmentation》
统计学习与视觉计算组
44+阅读 · 2018年8月30日
Hierarchical Imitation - Reinforcement Learning
CreateAMind
19+阅读 · 2018年5月25日
【CNN】一文读懂卷积神经网络CNN
产业智能官
18+阅读 · 2018年1月2日
ResNet, AlexNet, VGG, Inception:各种卷积网络架构的理解
全球人工智能
20+阅读 · 2017年12月17日
【推荐】ResNet, AlexNet, VGG, Inception:各种卷积网络架构的理解
机器学习研究会
20+阅读 · 2017年12月17日
可解释的CNN
CreateAMind
17+阅读 · 2017年10月5日
【推荐】全卷积语义分割综述
机器学习研究会
19+阅读 · 2017年8月31日
Arxiv
7+阅读 · 2018年12月10日
VIP会员
相关VIP内容
Stabilizing Transformers for Reinforcement Learning
专知会员服务
60+阅读 · 2019年10月17日
相关资讯
Transferring Knowledge across Learning Processes
CreateAMind
29+阅读 · 2019年5月18日
disentangled-representation-papers
CreateAMind
26+阅读 · 2018年9月12日
《pyramid Attention Network for Semantic Segmentation》
统计学习与视觉计算组
44+阅读 · 2018年8月30日
Hierarchical Imitation - Reinforcement Learning
CreateAMind
19+阅读 · 2018年5月25日
【CNN】一文读懂卷积神经网络CNN
产业智能官
18+阅读 · 2018年1月2日
ResNet, AlexNet, VGG, Inception:各种卷积网络架构的理解
全球人工智能
20+阅读 · 2017年12月17日
【推荐】ResNet, AlexNet, VGG, Inception:各种卷积网络架构的理解
机器学习研究会
20+阅读 · 2017年12月17日
可解释的CNN
CreateAMind
17+阅读 · 2017年10月5日
【推荐】全卷积语义分割综述
机器学习研究会
19+阅读 · 2017年8月31日
Top
微信扫码咨询专知VIP会员