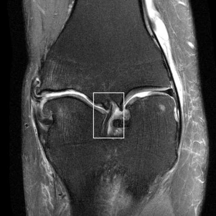
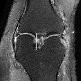
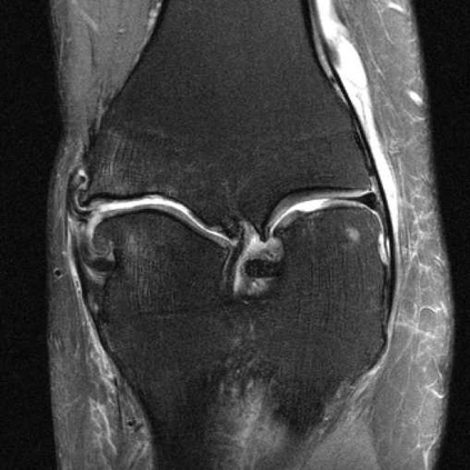
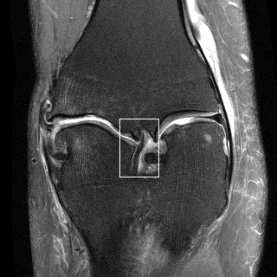
Deep Learning (DL) methods have shown promising results for solving ill-posed inverse problems such as MR image reconstruction from undersampled $k$-space data. However, these approaches currently have no guarantees for reconstruction quality and the reliability of such algorithms is only poorly understood. Adversarial attacks offer a valuable tool to understand possible failure modes and worst case performance of DL-based reconstruction algorithms. In this paper we describe adversarial attacks on multi-coil $k$-space measurements and evaluate them on the recently proposed E2E-VarNet and a simpler UNet-based model. In contrast to prior work, the attacks are targeted to specifically alter diagnostically relevant regions. Using two realistic attack models (adversarial $k$-space noise and adversarial rotations) we are able to show that current state-of-the-art DL-based reconstruction algorithms are indeed sensitive to such perturbations to a degree where relevant diagnostic information may be lost. Surprisingly, in our experiments the UNet and the more sophisticated E2E-VarNet were similarly sensitive to such attacks. Our findings add further to the evidence that caution must be exercised as DL-based methods move closer to clinical practice.


翻译:深度学习(DL)方法在解决错误的反向问题(例如用未充分抽样的美元空间数据进行MR图像重建)方面显示了有希望的结果。然而,这些方法目前没有重建质量的保证,这种算法的可靠性也只是不太为人所知。反向攻击为了解基于DL的重建算法的可能失败模式和最差的成绩提供了宝贵的工具。在本文中,我们描述了对多油美元空间测量的对抗性攻击,并对最近提议的E2E-VarNet和一个更简单的UNet模型进行了评价。与以前的工作不同,这些攻击的目标是具体改变诊断相关的区域。我们使用两种现实的攻击模型(对抗的美元空间噪音和对抗性旋转)能够表明,目前基于DL的重建算法对于这种扰动确实十分敏感,以致可能丢失相关的诊断信息。令人惊讶的是,在我们的实验中,UNet和更为复杂的E2E-VarNet对此类攻击同样敏感。我们的调查结果进一步表明,必须更接近以DL为基础的临床方法。

0
下载
关闭预览

相关内容

磁流变(Magnetorheological,简称MR)材料是一种流变性能可由磁场控制的新型智能材料。由于其响应快(ms量级)、可逆性好(撤去磁场后,又恢复初始状态)、以及通过调节磁场大小来控制材料的力学性能连续变化,因而近年来在汽车、建筑、振动控制等领域得到广泛应用。
专知会员服务
45+阅读 · 2020年10月31日
[综述]深度学习下的场景文本检测与识别
专知会员服务
78+阅读 · 2019年10月10日
机器学习入门的经验与建议
专知会员服务
94+阅读 · 2019年10月10日
【SIGGRAPH2019】TensorFlow 2.0深度学习计算机图形学应用
专知会员服务
41+阅读 · 2019年10月9日
ACM MM 2022 Call for Papers
CCF多媒体专委会
5+阅读 · 2022年3月29日
【ICIG2021】Check out the hot new trailer of ICIG2021 Symposium9
中国图象图形学学会CSIG
0+阅读 · 2021年12月17日
【ICIG2021】Check out the hot new trailer of ICIG2021 Symposium4
中国图象图形学学会CSIG
0+阅读 · 2021年11月10日
【ICIG2021】Check out the hot new trailer of ICIG2021 Symposium3
中国图象图形学学会CSIG
0+阅读 · 2021年11月9日
【ICIG2021】Check out the hot new trailer of ICIG2021 Symposium1
中国图象图形学学会CSIG
0+阅读 · 2021年11月3日
Hierarchically Structured Meta-learning
CreateAMind
27+阅读 · 2019年5月22日
Transferring Knowledge across Learning Processes
CreateAMind
29+阅读 · 2019年5月18日
Unsupervised Learning via Meta-Learning
CreateAMind
43+阅读 · 2019年1月3日
A Technical Overview of AI & ML in 2018 & Trends for 2019
待字闺中
18+阅读 · 2018年12月24日
【SIGIR2018】五篇对抗训练文章
专知
12+阅读 · 2018年7月9日
国家自然科学基金
0+阅读 · 2016年12月31日
国家自然科学基金
0+阅读 · 2014年12月31日
国家自然科学基金
1+阅读 · 2013年12月31日
国家自然科学基金
0+阅读 · 2013年12月31日
国家自然科学基金
0+阅读 · 2013年12月31日
国家自然科学基金
0+阅读 · 2009年12月31日
Arxiv
38+阅读 · 2020年3月10日
Feature Denoising for Improving Adversarial Robustness
Arxiv
15+阅读 · 2018年12月9日
VIP会员
相关资讯
ACM MM 2022 Call for Papers
CCF多媒体专委会
5+阅读 · 2022年3月29日
【ICIG2021】Check out the hot new trailer of ICIG2021 Symposium9
中国图象图形学学会CSIG
0+阅读 · 2021年12月17日
【ICIG2021】Check out the hot new trailer of ICIG2021 Symposium4
中国图象图形学学会CSIG
0+阅读 · 2021年11月10日
【ICIG2021】Check out the hot new trailer of ICIG2021 Symposium3
中国图象图形学学会CSIG
0+阅读 · 2021年11月9日
【ICIG2021】Check out the hot new trailer of ICIG2021 Symposium1
中国图象图形学学会CSIG
0+阅读 · 2021年11月3日
Hierarchically Structured Meta-learning
CreateAMind
27+阅读 · 2019年5月22日
Transferring Knowledge across Learning Processes
CreateAMind
29+阅读 · 2019年5月18日
Unsupervised Learning via Meta-Learning
CreateAMind
43+阅读 · 2019年1月3日
A Technical Overview of AI & ML in 2018 & Trends for 2019
待字闺中
18+阅读 · 2018年12月24日
【SIGIR2018】五篇对抗训练文章
专知
12+阅读 · 2018年7月9日
相关基金
国家自然科学基金
0+阅读 · 2016年12月31日
国家自然科学基金
0+阅读 · 2014年12月31日
国家自然科学基金
1+阅读 · 2013年12月31日
国家自然科学基金
0+阅读 · 2013年12月31日
国家自然科学基金
0+阅读 · 2013年12月31日
国家自然科学基金
0+阅读 · 2009年12月31日
Top
微信扫码咨询专知VIP会员