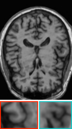
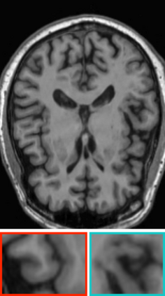
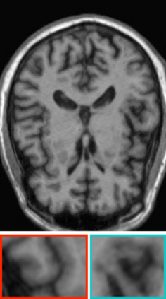
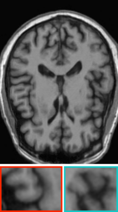
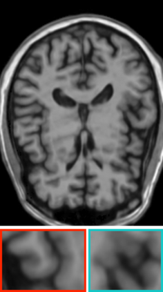
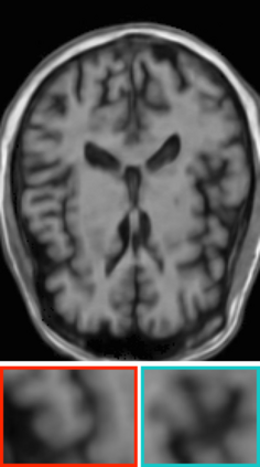
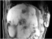
Deep neural networks for medical image reconstruction are traditionally trained using high-quality ground-truth images as training targets. Recent work onNoise2Noise (N2N) has shown the potential of using multiple noisy measurements of the same object as an alternative to having a ground truth. However, existing N2N-based methods cannot exploit information from various motion states, limiting their ability to learn on moving objects. This paper addresses this issue by proposing a novel motion-compensated deep image reconstruction (MoDIR) method that can use information from several unregistered and noisy measurements for training. MoDIR deals with object motion by including a deep registration module jointly trained with the deep reconstruction network without any ground-truth supervision. We validate MoDIR on both simulated and experimentally collected magnetic resonance imaging (MRI) data and show that it significantly improves imaging quality.


翻译:用于医学图像重建的深神经网络传统上是用高质量的地面真实图像作为培训目标来培训的。最近关于噪音2噪声(N2N)的工作表明,有可能使用同一物体的多重噪音测量来替代地面真相;然而,现有的N2N方法不能利用来自各种运动状态的信息,限制了它们了解移动物体的能力。本文件通过提出一个新的运动补偿深度图像重建(MoDIR)方法来解决这一问题,该方法可以使用来自若干未登记和吵闹的测量数据的信息进行培训。MDIR处理物体运动问题的方式是,在没有地面真相监督的情况下,与深层重建网络共同培训一个深层登记模块。我们在模拟和实验收集的磁共振成像(MRI)数据上验证了MDIR,并表明它大大提高了成像质量。

0
下载
关闭预览

相关内容

【Google】平滑对抗训练,Smooth Adversarial Training
专知会员服务
49+阅读 · 2020年7月4日
【泡泡汇总】CVPR2019 SLAM Paperlist
泡泡机器人SLAM
14+阅读 · 2019年6月12日
Hierarchically Structured Meta-learning
CreateAMind
27+阅读 · 2019年5月22日
Transferring Knowledge across Learning Processes
CreateAMind
29+阅读 · 2019年5月18日
深度自进化聚类:Deep Self-Evolution Clustering
我爱读PAMI
15+阅读 · 2019年4月13日
使用《Deep Image Prior》来做图像复原
AI研习社
7+阅读 · 2019年3月2日
逆强化学习-学习人先验的动机
CreateAMind
16+阅读 · 2019年1月18日
Unsupervised Learning via Meta-Learning
CreateAMind
43+阅读 · 2019年1月3日
深度学习医学图像分析文献集
机器学习研究会
19+阅读 · 2017年10月13日
可解释的CNN
CreateAMind
17+阅读 · 2017年10月5日
Arxiv
0+阅读 · 2021年9月13日
Arxiv
0+阅读 · 2021年9月9日
Arxiv
5+阅读 · 2018年1月17日
VIP会员
相关VIP内容
【Google】平滑对抗训练,Smooth Adversarial Training
专知会员服务
49+阅读 · 2020年7月4日
相关资讯
【泡泡汇总】CVPR2019 SLAM Paperlist
泡泡机器人SLAM
14+阅读 · 2019年6月12日
Hierarchically Structured Meta-learning
CreateAMind
27+阅读 · 2019年5月22日
Transferring Knowledge across Learning Processes
CreateAMind
29+阅读 · 2019年5月18日
深度自进化聚类:Deep Self-Evolution Clustering
我爱读PAMI
15+阅读 · 2019年4月13日
使用《Deep Image Prior》来做图像复原
AI研习社
7+阅读 · 2019年3月2日
逆强化学习-学习人先验的动机
CreateAMind
16+阅读 · 2019年1月18日
Unsupervised Learning via Meta-Learning
CreateAMind
43+阅读 · 2019年1月3日
深度学习医学图像分析文献集
机器学习研究会
19+阅读 · 2017年10月13日
可解释的CNN
CreateAMind
17+阅读 · 2017年10月5日
Top
微信扫码咨询专知VIP会员